Learning

Posterior Cul De Sac

Posterior Cul De Sac
Posterior Cul De Sac

Exploring the intricacies of the Posterior Cul De Sac reveals a fascinating aspect of human anatomy that often goes unnoticed. This small, blind-ended pouch located in the rectum plays a crucial role in maintaining bowel health and preventing infections. Understanding its function and significance can provide valuable insights into digestive health and overall well-being.

Anatomy of the Posterior Cul De Sac

The Posterior Cul De Sac is a small, pouch-like structure found at the end of the rectum. It is part of the larger cul-de-sac system, which includes the anterior and lateral cul-de-sacs. The posterior cul-de-sac is particularly important because it is the lowest point in the pelvic cavity, making it a critical area for the accumulation of fluids and waste materials.

Anatomically, the Posterior Cul De Sac is situated between the rectum and the anal canal. It is lined with mucous membranes that secrete mucus, which helps to lubricate the rectum and facilitate the passage of stool. This mucus also plays a role in protecting the rectal lining from irritation and infection.

Function of the Posterior Cul De Sac

The primary function of the Posterior Cul De Sac is to act as a reservoir for fecal matter before it is expelled from the body. This reservoir function is essential for maintaining regular bowel movements and preventing constipation. Additionally, the Posterior Cul De Sac helps to trap and eliminate harmful bacteria and other pathogens, reducing the risk of infections in the digestive tract.

Another important function of the Posterior Cul De Sac is its role in the absorption of water and electrolytes. The mucous membranes lining the Posterior Cul De Sac are highly permeable, allowing for the absorption of water and electrolytes from fecal matter. This process helps to maintain the body's fluid and electrolyte balance, which is crucial for overall health.

Clinical Significance of the Posterior Cul De Sac

The Posterior Cul De Sac can be affected by various medical conditions, including infections, inflammation, and tumors. Understanding the clinical significance of this structure is essential for diagnosing and treating these conditions effectively.

One of the most common conditions affecting the Posterior Cul De Sac is diverticulitis. Diverticulitis occurs when small, bulging pouches (diverticula) in the colon become inflamed or infected. These pouches can form in the Posterior Cul De Sac, leading to symptoms such as abdominal pain, fever, and changes in bowel habits. Treatment for diverticulitis typically involves antibiotics and, in severe cases, surgery.

Another condition that can affect the Posterior Cul De Sac is rectal prolapse. Rectal prolapse occurs when the rectum protrudes through the anus, often due to weakened pelvic floor muscles. This condition can cause discomfort, pain, and difficulty with bowel movements. Treatment for rectal prolapse may include lifestyle changes, physical therapy, or surgery.

Tumors and cancers can also develop in the Posterior Cul De Sac. These growths can be benign or malignant and may require surgical removal. Early detection and treatment of tumors in the Posterior Cul De Sac are crucial for improving outcomes and reducing the risk of complications.

Diagnostic Techniques for the Posterior Cul De Sac

Diagnosing conditions affecting the Posterior Cul De Sac often involves a combination of medical history, physical examination, and diagnostic tests. Some of the most common diagnostic techniques include:

  • Digital Rectal Exam (DRE): A DRE involves the insertion of a gloved, lubricated finger into the rectum to feel for any abnormalities, such as tumors or inflammation.
  • Colonoscopy: A colonoscopy is a procedure in which a flexible tube with a camera is inserted into the rectum to visualize the entire colon and rectum. This test can help identify polyps, tumors, and other abnormalities in the Posterior Cul De Sac.
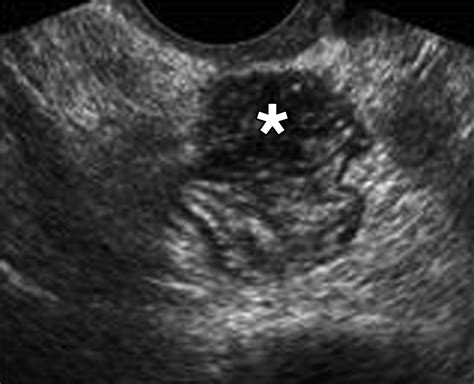
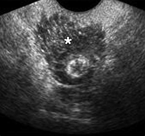
  • CT Scan: A CT scan uses X-rays to create detailed images of the body's internal structures. This test can help identify inflammation, tumors, and other abnormalities in the Posterior Cul De Sac.
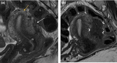
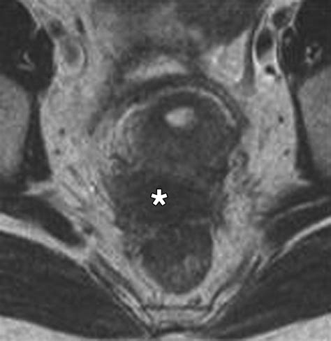
  • MRI: An MRI uses magnetic fields and radio waves to create detailed images of the body's internal structures. This test can provide valuable information about the Posterior Cul De Sac and surrounding tissues.

In some cases, additional tests such as biopsies or stool tests may be necessary to confirm a diagnosis and determine the best course of treatment.

Treatment Options for Conditions Affecting the Posterior Cul De Sac

Treatment for conditions affecting the Posterior Cul De Sac depends on the underlying cause and severity of symptoms. Some of the most common treatment options include:

  • Medications: Antibiotics, anti-inflammatory drugs, and pain relievers may be prescribed to treat infections, inflammation, and pain associated with conditions affecting the Posterior Cul De Sac.
  • Lifestyle Changes: Dietary modifications, increased fluid intake, and regular exercise can help improve bowel function and reduce the risk of complications.
  • Physical Therapy: Pelvic floor exercises and other forms of physical therapy can help strengthen the muscles supporting the rectum and improve bowel function.
  • Surgery: In severe cases, surgery may be necessary to remove tumors, repair prolapse, or correct other abnormalities in the Posterior Cul De Sac.

It is important to work closely with a healthcare provider to develop an individualized treatment plan that addresses the specific needs and concerns of each patient.

Preventive Measures for Maintaining Posterior Cul De Sac Health

Maintaining the health of the Posterior Cul De Sac involves a combination of lifestyle choices, dietary habits, and regular medical check-ups. Some preventive measures that can help maintain the health of the Posterior Cul De Sac include:

  • High-Fiber Diet: Consuming a diet rich in fiber can help promote regular bowel movements and reduce the risk of constipation and other digestive issues.
  • Hydration: Drinking plenty of water can help keep the stool soft and easy to pass, reducing the risk of straining and injury to the Posterior Cul De Sac.
  • Regular Exercise: Engaging in regular physical activity can help improve bowel function and reduce the risk of digestive problems.
  • Avoiding Straining: Avoiding prolonged straining during bowel movements can help prevent injury to the Posterior Cul De Sac and reduce the risk of complications.
  • Regular Check-ups: Regular medical check-ups and screenings can help detect and treat conditions affecting the Posterior Cul De Sac early, improving outcomes and reducing the risk of complications.

By incorporating these preventive measures into daily life, individuals can help maintain the health of the Posterior Cul De Sac and reduce the risk of digestive problems.

Common Misconceptions About the Posterior Cul De Sac

There are several misconceptions about the Posterior Cul De Sac that can lead to confusion and misinformation. Some of the most common misconceptions include:

  • Misconception 1: The Posterior Cul De Sac is a rare structure. In reality, the Posterior Cul De Sac is a common anatomical feature found in most individuals.
  • Misconception 2: The Posterior Cul De Sac is only important in cases of disease. While the Posterior Cul De Sac can be affected by various medical conditions, it plays a crucial role in maintaining digestive health even in the absence of disease.
  • Misconception 3: The Posterior Cul De Sac is difficult to diagnose. With the right diagnostic techniques, conditions affecting the Posterior Cul De Sac can be accurately diagnosed and treated.

Understanding the truth about the Posterior Cul De Sac can help individuals make informed decisions about their health and well-being.

Research and Future Directions

Research on the Posterior Cul De Sac continues to evolve, with new findings and advancements in diagnostic and treatment options. Some areas of ongoing research include:

  • Advanced Imaging Techniques: New imaging technologies, such as high-resolution MRI and CT scans, are being developed to provide more detailed and accurate images of the Posterior Cul De Sac and surrounding tissues.
  • Minimally Invasive Procedures: Advances in minimally invasive surgical techniques, such as laparoscopic and robotic surgery, are making it possible to treat conditions affecting the Posterior Cul De Sac with less pain, shorter recovery times, and fewer complications.
  • Biomarkers and Genetic Testing: Researchers are exploring the use of biomarkers and genetic testing to identify individuals at risk for conditions affecting the Posterior Cul De Sac and develop targeted treatments.

As research continues, our understanding of the Posterior Cul De Sac and its role in digestive health is likely to grow, leading to improved diagnostic and treatment options.

📝 Note: Always consult with a healthcare provider for personalized advice and treatment options related to the Posterior Cul De Sac and digestive health.

In conclusion, the Posterior Cul De Sac is a vital anatomical structure that plays a crucial role in maintaining digestive health. Understanding its function, clinical significance, and preventive measures can help individuals take proactive steps to maintain their overall well-being. By staying informed and working closely with healthcare providers, individuals can ensure the health of the Posterior Cul De Sac and reduce the risk of digestive problems. Regular check-ups, a healthy lifestyle, and timely interventions are key to maintaining optimal digestive health and preventing complications associated with the Posterior Cul De Sac.

Related Terms:

  • posterior cul de sac ultrasound
  • posterior cul de sac biopsy
  • anterior cul de sac
  • posterior cul de sac endometriosis
  • posterior cul de sac fluid
  • posterior cul de sac radiology
Facebook Twitter WhatsApp
Related Posts
Don't Miss