Learning

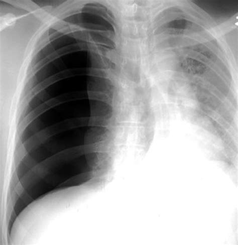
Pneumothorax In X Ray

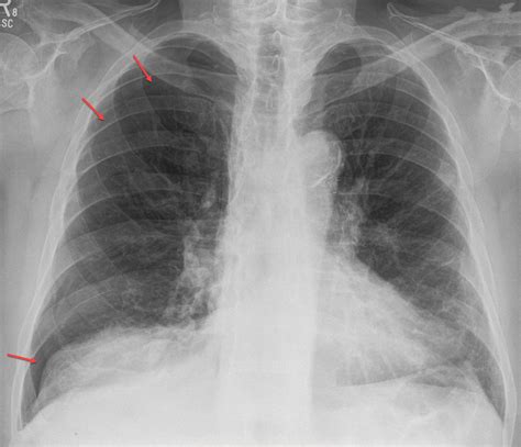
Pneumothorax In X Ray
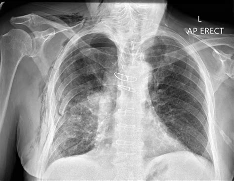
Pneumothorax In X Ray

Pneumothorax is a medical condition characterized by the presence of air or gas in the pleural cavity, the space between the lungs and the chest wall. This condition can be life-threatening if not promptly diagnosed and treated. One of the most crucial diagnostic tools for identifying pneumothorax is the chest X-ray. Understanding how to interpret a pneumothorax in X-ray is essential for healthcare professionals to provide timely and effective care.

Understanding Pneumothorax

Pneumothorax occurs when air leaks into the pleural space, causing the lung to collapse partially or completely. This can happen due to various reasons, including:

  • Trauma to the chest
  • Lung diseases such as emphysema or cystic fibrosis
  • Medical procedures like mechanical ventilation or lung biopsy
  • Spontaneous pneumothorax, which can occur without any apparent cause

Symptoms of pneumothorax can range from mild to severe and may include:

  • Shortness of breath
  • Chest pain
  • Rapid heartbeat
  • Fatigue
  • Cyanosis (bluish discoloration of the skin)

Diagnosing Pneumothorax with Chest X-Ray

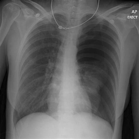
Chest X-rays are the primary imaging modality used to diagnose pneumothorax. They provide a clear view of the lungs and pleural space, allowing radiologists to identify the presence of air. The key features to look for in a pneumothorax in X-ray include:

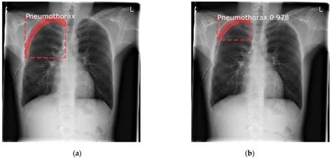
  • The absence of lung markings beyond the visible edge of the collapsed lung
  • A visible line representing the edge of the collapsed lung
  • Hyperlucency (increased brightness) in the affected area
  • Deviation of the mediastinum (the central compartment of the thorax) towards the unaffected side

There are different types of pneumothorax, each with its own characteristics on an X-ray:

Simple Pneumothorax

A simple pneumothorax is the most common type and occurs when air enters the pleural space without any underlying lung disease. On an X-ray, it appears as a thin line separating the lung from the chest wall, with no visible lung markings beyond this line.

Tension Pneumothorax

A tension pneumothorax is a medical emergency where air continues to accumulate in the pleural space, leading to increased pressure and potential collapse of the lung and mediastinal shift. On an X-ray, it shows a large area of hyperlucency with a deviated mediastinum and flattened diaphragm on the affected side.

Secondary Pneumothorax

Secondary pneumothorax occurs in patients with underlying lung disease, such as COPD or cystic fibrosis. On an X-ray, it may show additional findings related to the underlying condition, such as bullae (air-filled spaces) or emphysematous changes.

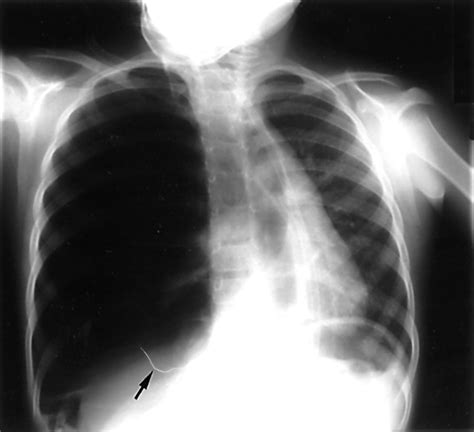
Traumatic Pneumothorax

Traumatic pneumothorax results from chest trauma, such as a rib fracture or penetrating injury. On an X-ray, it may be associated with other injuries, such as rib fractures or hemothorax (blood in the pleural space).

Interpreting Pneumothorax in X-Ray

Interpreting a pneumothorax in X-ray requires a systematic approach. Here are the steps to follow:

  1. Assess the Overall Quality: Ensure the X-ray is of good quality, with clear visualization of the lungs and pleural spaces.
  2. Identify the Visible Edge: Look for the visible edge of the collapsed lung, which appears as a thin, sharp line.
  3. Check for Lung Markings: Note the absence of lung markings beyond the visible edge.
  4. Evaluate Hyperlucency: Assess the area of increased brightness, which indicates the presence of air in the pleural space.
  5. Examine the Mediastinum: Check for any deviation of the mediastinum towards the unaffected side, which may indicate a tension pneumothorax.
  6. Look for Associated Findings: Identify any additional findings, such as rib fractures, bullae, or hemothorax, which may provide clues about the underlying cause.

📝 Note: Always compare the affected side with the unaffected side to better identify abnormalities.

Management of Pneumothorax

The management of pneumothorax depends on its type and severity. Treatment options include:

  • Observation: Small, asymptomatic pneumothoraces may be managed with observation alone, with repeat X-rays to monitor for resolution.
  • Needle Aspiration: For larger pneumothoraces, needle aspiration may be performed to remove the air from the pleural space.
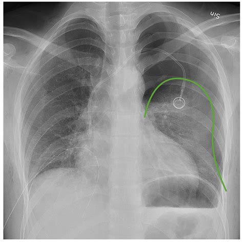
  • Chest Tube Insertion: In cases of tension pneumothorax or persistent pneumothorax, a chest tube may be inserted to continuously drain the air and allow the lung to re-expand.
  • Surgical Intervention: In some cases, surgical intervention may be required to repair the underlying lung injury or to perform a pleurodesis (a procedure to prevent recurrence).

Preventing Recurrence

Recurrence of pneumothorax is a significant concern, especially in patients with underlying lung disease. Preventive measures include:

  • Avoiding Smoking: Smoking cessation is crucial, as it can exacerbate underlying lung conditions and increase the risk of recurrence.
  • Avoiding High-Altitude Activities: Patients with a history of pneumothorax should avoid activities that involve high altitudes, such as scuba diving or mountain climbing.
  • Regular Follow-Up: Regular follow-up with a healthcare provider is essential to monitor for any signs of recurrence and to manage underlying lung conditions.

In some cases, preventive surgical procedures such as pleurodesis or pleurectomy may be recommended to reduce the risk of recurrence.

Conclusion

Pneumothorax is a serious medical condition that requires prompt diagnosis and treatment. Chest X-rays play a crucial role in identifying pneumothorax in X-ray, allowing healthcare professionals to provide timely and effective care. Understanding the different types of pneumothorax and their characteristic features on X-ray is essential for accurate diagnosis and management. By following a systematic approach to interpreting X-rays and implementing appropriate treatment and preventive measures, healthcare professionals can significantly improve patient outcomes and reduce the risk of recurrence.

Related Terms:

  • pneumothorax x ray symptoms
  • pneumothorax x ray vs normal
  • chest x ray showing pneumothorax
  • pneumothorax x ray signs
  • right sided pneumothorax x ray
  • pneumothorax x ray interpretation
Facebook Twitter WhatsApp
Related Posts
Don't Miss