Learning

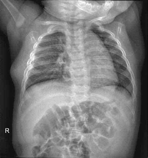
Pneumothorax In Infants

Pneumothorax In Infants
Pneumothorax In Infants

Pneumothorax in infants is a serious medical condition that requires immediate attention. It occurs when air leaks into the space between the lung and the chest wall, causing the lung to collapse. This condition can be life-threatening if not treated promptly. Understanding the causes, symptoms, diagnosis, and treatment options for pneumothorax in infants is crucial for parents and healthcare providers alike.

Understanding Pneumothorax in Infants

Pneumothorax in infants can be classified into two main types: spontaneous and traumatic. Spontaneous pneumothorax occurs without any apparent cause, while traumatic pneumothorax results from an injury or medical procedure. Infants are particularly vulnerable to this condition due to their underdeveloped lungs and chest walls.

Causes of Pneumothorax in Infants

Several factors can contribute to the development of pneumothorax in infants. Some of the most common causes include:

  • Respiratory Distress Syndrome (RDS): This condition is common in premature infants and can lead to the rupture of tiny air sacs in the lungs, causing air to leak into the pleural space.
  • Meconium Aspiration Syndrome (MAS): When an infant inhales meconium (the first stool passed by a newborn) into the lungs, it can cause inflammation and rupture of the lung tissue.
  • Trauma: Injuries to the chest, such as those from a fall or a car accident, can result in pneumothorax.
  • Medical Procedures: Certain medical procedures, such as the insertion of a chest tube or mechanical ventilation, can inadvertently cause a pneumothorax.

Symptoms of Pneumothorax in Infants

Recognizing the symptoms of pneumothorax in infants is essential for early intervention. Symptoms can vary depending on the severity of the condition but may include:

  • Rapid breathing or shortness of breath
  • Cyanosis (blue discoloration of the skin due to lack of oxygen)
  • Retractions (pulling in of the chest wall during breathing)
  • Grunting or wheezing sounds during breathing
  • Lethargy or decreased activity
  • Irritability or fussiness

In severe cases, an infant may experience a sudden onset of respiratory distress, which can be life-threatening. If you suspect your infant has pneumothorax, seek immediate medical attention.

Diagnosis of Pneumothorax in Infants

Diagnosing pneumothorax in infants involves a combination of physical examination and diagnostic tests. The healthcare provider will typically perform the following steps:

  • Physical Examination: The doctor will listen to the infant's lungs with a stethoscope to detect any abnormal sounds, such as decreased breath sounds on the affected side.
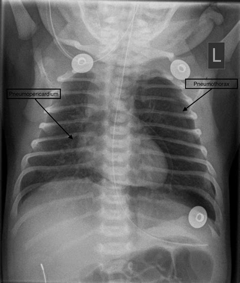
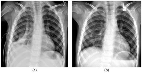
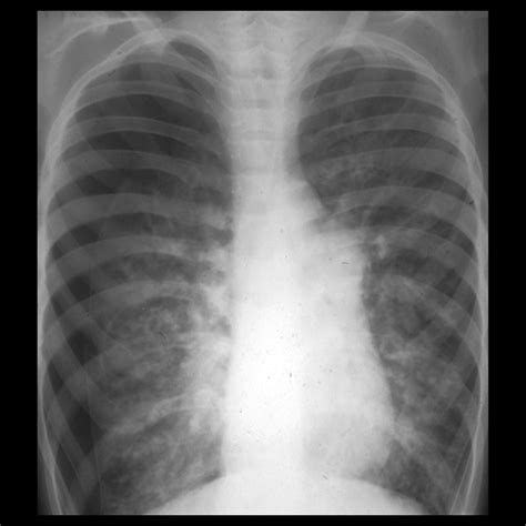
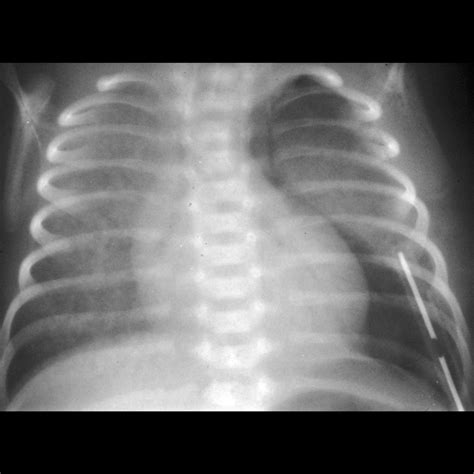
  • Chest X-ray: This is the primary diagnostic tool for pneumothorax. A chest X-ray can show the presence of air in the pleural space and the extent of the lung collapse.
  • Ultrasound: In some cases, an ultrasound may be used to confirm the diagnosis, especially if the infant is too unstable for a chest X-ray.
  • CT Scan: Although less common in infants, a CT scan may be ordered if the diagnosis is unclear or if there are complications.

Early and accurate diagnosis is crucial for effective treatment and management of pneumothorax in infants.

Treatment Options for Pneumothorax in Infants

The treatment of pneumothorax in infants depends on the severity of the condition and the underlying cause. Treatment options may include:

  • Observation: In mild cases, the healthcare provider may choose to monitor the infant closely without immediate intervention. The pneumothorax may resolve on its own as the air is gradually reabsorbed.
  • Oxygen Therapy: Administering oxygen can help speed up the reabsorption of air in the pleural space, promoting lung re-expansion.
  • Needle Aspiration: In more severe cases, a needle may be inserted into the pleural space to remove the air, allowing the lung to re-expand.
  • Chest Tube Insertion: For large or persistent pneumothoraces, a chest tube may be inserted to continuously drain the air from the pleural space.
  • Surgical Intervention: In rare cases, surgery may be required to repair the lung tissue and prevent recurrence.

It is important to note that the choice of treatment will depend on the individual needs of the infant and the recommendations of the healthcare provider.

๐Ÿ“ Note: Always follow the advice of your healthcare provider regarding the treatment of pneumothorax in infants. Early intervention is key to a successful outcome.

Prevention of Pneumothorax in Infants

While not all cases of pneumothorax in infants can be prevented, there are steps that can be taken to reduce the risk. These include:

  • Avoiding Trauma: Protecting infants from injuries that could cause chest trauma is essential. Use appropriate safety measures, such as car seats and baby gates.
  • Prompt Medical Care: Seeking immediate medical attention for respiratory distress or other symptoms can help prevent complications.
  • Avoiding Smoking: Exposure to secondhand smoke can increase the risk of respiratory problems in infants. Ensure a smoke-free environment for your baby.
  • Regular Check-ups: Regular medical check-ups can help detect any underlying conditions that may increase the risk of pneumothorax.

Long-Term Management and Follow-Up

After the initial treatment, long-term management and follow-up are crucial for ensuring the infant's recovery and preventing recurrence. This may include:

  • Regular Follow-Up Visits: Schedule regular follow-up appointments with the healthcare provider to monitor the infant's progress.
  • Pulmonary Function Tests: These tests can help assess the infant's lung function and detect any residual issues.
  • Oxygen Therapy: In some cases, ongoing oxygen therapy may be necessary to support lung function.
  • Physical Therapy: Physical therapy can help improve the infant's breathing and overall physical development.

It is important to work closely with the healthcare provider to develop a personalized management plan for the infant.

๐Ÿ“ Note: Long-term management may vary depending on the severity of the pneumothorax and the infant's overall health. Always consult with your healthcare provider for personalized advice.

Support and Resources for Parents

Caring for an infant with pneumothorax can be challenging and emotionally taxing. It is essential for parents to seek support and resources to help them cope. Some useful resources include:

  • Support Groups: Joining support groups for parents of infants with respiratory conditions can provide emotional support and practical advice.
  • Educational Materials: Reading books and articles about pneumothorax and infant respiratory health can help parents better understand the condition and its management.
  • Healthcare Providers: Regular communication with healthcare providers can provide reassurance and guidance throughout the treatment and recovery process.

Parents should not hesitate to reach out for help and support during this challenging time.

Pneumothorax in infants is a serious condition that requires prompt medical attention. Understanding the causes, symptoms, diagnosis, and treatment options is essential for ensuring the best possible outcome. By working closely with healthcare providers and seeking support, parents can help their infants recover and thrive.

Related Terms:

  • pneumothorax at birth causes
  • spontaneous pneumothorax young males
  • collapsed lung in newborn babies
  • signs of pneumothorax in neonate
  • pneumothorax in children symptoms
  • pneumothorax in a newborn baby
Facebook Twitter WhatsApp
Related Posts
Don't Miss