Learning

Pneumothorax Ex Vacuo

Pneumothorax Ex Vacuo
Pneumothorax Ex Vacuo

Pneumothorax ex vacuo is a rare but significant medical condition that can have profound implications for patients and healthcare providers alike. This condition occurs when air accumulates in the pleural space, the area between the lungs and the chest wall, leading to a partial or complete collapse of the lung. Understanding the causes, symptoms, diagnosis, and treatment of pneumothorax ex vacuo is crucial for effective management and patient care.

Understanding Pneumothorax Ex Vacuo

Pneumothorax ex vacuo is a specific type of pneumothorax, which is a general term for the presence of air in the pleural space. Unlike other types of pneumothorax, such as spontaneous or traumatic pneumothorax, pneumothorax ex vacuo is characterized by the absence of a direct cause, such as a lung injury or underlying lung disease. Instead, it occurs due to a reduction in the volume of the lung tissue, creating a vacuum that draws air into the pleural space.

This condition can be further classified into two main types:

  • Primary pneumothorax ex vacuo: This occurs in individuals without any underlying lung disease.
  • Secondary pneumothorax ex vacuo: This occurs in individuals with underlying lung conditions, such as chronic obstructive pulmonary disease (COPD) or cystic fibrosis.

Causes of Pneumothorax Ex Vacuo

The exact cause of pneumothorax ex vacuo is not always clear, but several factors can contribute to its development. These include:

  • Reduction in lung volume: This can occur due to conditions that cause the lung tissue to shrink or collapse, such as emphysema or pulmonary fibrosis.
  • Changes in atmospheric pressure: Rapid changes in atmospheric pressure, such as those experienced during scuba diving or high-altitude travel, can cause air to be drawn into the pleural space.
  • Mechanical ventilation: In some cases, mechanical ventilation can lead to pneumothorax ex vacuo, particularly in patients with underlying lung disease.

Symptoms of Pneumothorax Ex Vacuo

The symptoms of pneumothorax ex vacuo can vary depending on the size of the pneumothorax and the underlying health of the individual. Common symptoms include:

  • Shortness of breath
  • Chest pain, which may be sharp or dull
  • Rapid heartbeat
  • Cyanosis (bluish discoloration of the skin due to lack of oxygen)
  • Fatigue
  • Cough

In some cases, pneumothorax ex vacuo may be asymptomatic, particularly if the pneumothorax is small. However, even small pneumothoraces can be dangerous if they occur in individuals with underlying lung disease.

Diagnosis of Pneumothorax Ex Vacuo

Diagnosing pneumothorax ex vacuo typically involves a combination of physical examination, medical history, and imaging studies. The diagnostic process may include:

  • Physical examination: The healthcare provider will listen to the lungs with a stethoscope and may detect decreased breath sounds on the affected side.
  • Medical history: The healthcare provider will ask about any underlying lung conditions, recent injuries, or changes in atmospheric pressure that may have contributed to the development of pneumothorax ex vacuo.
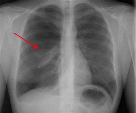
  • Imaging studies: Chest X-rays are the most common imaging study used to diagnose pneumothorax ex vacuo. In some cases, a CT scan may be ordered to provide more detailed images of the lungs and pleural space.

In some cases, additional tests may be ordered to rule out other potential causes of the symptoms, such as a pulmonary function test or arterial blood gas analysis.

Treatment of Pneumothorax Ex Vacuo

The treatment of pneumothorax ex vacuo depends on the size of the pneumothorax, the underlying health of the individual, and the presence of symptoms. Treatment options may include:

  • Observation: Small pneumothoraces that are not causing symptoms may be managed with observation alone. The healthcare provider will monitor the pneumothorax with repeat chest X-rays to ensure that it is resolving on its own.
  • Needle aspiration: This involves inserting a needle into the pleural space to remove the air. This procedure is typically performed under local anesthesia and can be done in an outpatient setting.
  • Chest tube placement: For larger pneumothoraces or those that are causing significant symptoms, a chest tube may be placed to continuously drain the air from the pleural space. The chest tube is typically left in place until the pneumothorax has resolved.
  • Surgery: In some cases, surgery may be required to repair the lung and prevent future episodes of pneumothorax ex vacuo. This may involve a procedure called a thoracoscopy, in which a small camera and surgical instruments are inserted into the chest through small incisions.

In addition to these treatments, supportive care may be provided to manage symptoms and prevent complications. This may include oxygen therapy, pain management, and respiratory therapy.

📝 Note: The choice of treatment will depend on the individual's specific circumstances and should be determined in consultation with a healthcare provider.

Risk Factors for Pneumothorax Ex Vacuo

Several factors can increase the risk of developing pneumothorax ex vacuo. These include:

  • Underlying lung disease: Conditions such as COPD, cystic fibrosis, and pulmonary fibrosis can increase the risk of pneumothorax ex vacuo.
  • Smoking: Smoking can damage the lung tissue and increase the risk of pneumothorax ex vacuo.
  • Tall stature: Individuals who are tall may have a higher risk of pneumothorax ex vacuo due to the increased length of the pleural space.
  • Family history: A family history of pneumothorax ex vacuo or other lung conditions can increase the risk of developing the condition.
  • Mechanical ventilation: Patients who require mechanical ventilation, particularly those with underlying lung disease, may have a higher risk of pneumothorax ex vacuo.

Prevention of Pneumothorax Ex Vacuo

While it may not be possible to prevent all cases of pneumothorax ex vacuo, there are several steps that can be taken to reduce the risk. These include:

  • Avoiding smoking: Quitting smoking can reduce the risk of lung damage and pneumothorax ex vacuo.
  • Managing underlying lung conditions: Effective management of conditions such as COPD and cystic fibrosis can reduce the risk of pneumothorax ex vacuo.
  • Avoiding rapid changes in atmospheric pressure: Individuals at risk of pneumothorax ex vacuo should avoid activities that involve rapid changes in atmospheric pressure, such as scuba diving or high-altitude travel.
  • Regular medical check-ups: Regular medical check-ups can help detect underlying lung conditions early and reduce the risk of pneumothorax ex vacuo.

Complications of Pneumothorax Ex Vacuo

Pneumothorax ex vacuo can lead to several complications, particularly if it is not treated promptly. These may include:

  • Respiratory failure: In severe cases, pneumothorax ex vacuo can lead to respiratory failure, which can be life-threatening.
  • Tension pneumothorax: This occurs when air continues to accumulate in the pleural space, leading to increased pressure and compression of the lung and other structures in the chest. This is a medical emergency that requires immediate treatment.
  • Recurrent pneumothorax: Individuals who have had a pneumothorax ex vacuo are at increased risk of developing recurrent pneumothoraces.
  • Infection: In some cases, pneumothorax ex vacuo can lead to infection of the pleural space, a condition known as empyema.

Living with Pneumothorax Ex Vacuo

Living with pneumothorax ex vacuo can be challenging, but with proper management and support, individuals can lead fulfilling lives. It is important to work closely with healthcare providers to manage symptoms, prevent complications, and maintain overall health. This may involve:

  • Regular follow-up appointments: Regular follow-up appointments with healthcare providers can help monitor the condition and adjust treatment as needed.
  • Lifestyle modifications: Lifestyle modifications, such as avoiding smoking and managing underlying lung conditions, can help reduce the risk of complications.
  • Support groups: Joining support groups for individuals with pneumothorax ex vacuo or other lung conditions can provide emotional support and practical advice.
  • Education: Educating oneself about pneumothorax ex vacuo and its management can help individuals take an active role in their care and make informed decisions about their health.

In some cases, individuals with pneumothorax ex vacuo may need to make adjustments to their daily activities to accommodate their condition. This may include avoiding activities that involve rapid changes in atmospheric pressure or that require strenuous physical exertion.

It is also important to be aware of the signs and symptoms of complications, such as tension pneumothorax, and to seek medical attention promptly if these occur.

Pneumothorax ex vacuo is a complex condition that requires careful management and support. By understanding the causes, symptoms, diagnosis, and treatment of pneumothorax ex vacuo, individuals and healthcare providers can work together to manage the condition effectively and improve quality of life.

Pneumothorax ex vacuo is a rare but significant medical condition that can have profound implications for patients and healthcare providers alike. Understanding the causes, symptoms, diagnosis, and treatment of pneumothorax ex vacuo is crucial for effective management and patient care. By working closely with healthcare providers and taking an active role in their care, individuals with pneumothorax ex vacuo can lead fulfilling lives and manage their condition effectively.

Related Terms:

  • ex vacuo hydropneumothorax
  • ex vacuo pleural effusion
  • pneumothorax ex vacuo treatment
  • post thoracentesis pneumothorax
  • ex vacuo pneumothorax after thoracentesis
  • ex vacuo pneumothorax trapped lung
Facebook Twitter WhatsApp
Related Posts
Don't Miss