Learning

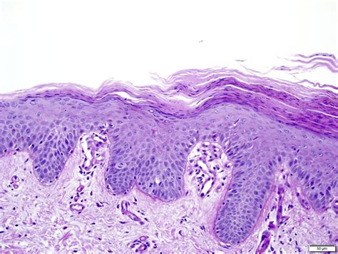
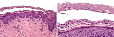
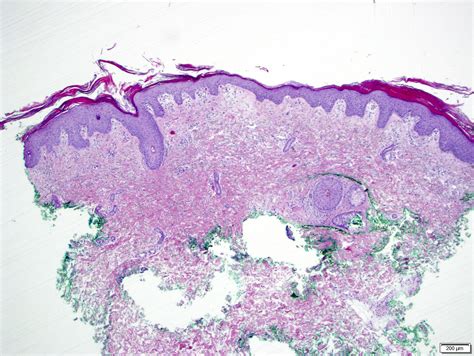
Pityriasis Rubra Pilaris Face

Pityriasis Rubra Pilaris Face
Pityriasis Rubra Pilaris Face

Pityriasis Rubra Pilaris (PRP) is a rare, chronic skin condition that can significantly impact the quality of life for those affected. This condition is characterized by the development of small, red, scaly patches on the skin, often accompanied by itching and discomfort. One of the most challenging aspects of PRP is its manifestation on the face, known as Pityriasis Rubra Pilaris Face. This form of the condition can be particularly distressing due to its visibility and the potential for social stigma. Understanding the causes, symptoms, and treatment options for PRP, especially when it affects the face, is crucial for effective management and improved patient outcomes.

Understanding Pityriasis Rubra Pilaris

Pityriasis Rubra Pilaris is a skin disorder that affects both children and adults, although it is more commonly diagnosed in adults. The condition is characterized by the development of small, red, scaly patches that can spread across the body. These patches often start on the back of the hands and feet and can eventually cover large areas of the skin. The exact cause of PRP is not fully understood, but it is believed to be related to a dysfunction in the skin's keratinization process, which is the process by which skin cells mature and shed.

There are several types of PRP, each with its own set of symptoms and prognosis. The most common types include:

  • Type I: Classic adult type, which is the most common and typically has a good prognosis.
  • Type II: Atypical adult type, which can be more severe and may require more aggressive treatment.
  • Type III: Classic juvenile type, which affects children and often resolves on its own.
  • Type IV: Circumscribed juvenile type, which is limited to specific areas of the body.
  • Type V: Atypical juvenile type, which can be more severe and may require long-term treatment.
  • Type VI: Atypical adult type, which is often associated with HIV infection.

Symptoms of Pityriasis Rubra Pilaris Face

When PRP affects the face, it can present with a variety of symptoms that can be particularly challenging to manage. Some of the most common symptoms of Pityriasis Rubra Pilaris Face include:

  • Red, scaly patches on the face, often starting around the eyes and mouth.
  • Itching and discomfort, which can be severe in some cases.
  • Thickening of the skin, particularly on the palms and soles.
  • Hair loss in the affected areas.
  • Nail changes, including thickening and discoloration.

These symptoms can vary in severity and may worsen over time if left untreated. It is important to seek medical attention if you suspect you have PRP, as early intervention can help manage symptoms and prevent complications.

Diagnosing Pityriasis Rubra Pilaris Face

Diagnosing Pityriasis Rubra Pilaris Face involves a thorough medical evaluation and may include several diagnostic tests. Your healthcare provider will likely perform a physical examination to assess the extent and severity of the skin lesions. They may also order additional tests to rule out other potential causes of the symptoms. Some of the diagnostic tests that may be used include:

  • Skin biopsy: A small sample of the affected skin is taken and examined under a microscope to confirm the diagnosis.
  • Blood tests: To rule out other conditions that may cause similar symptoms, such as autoimmune disorders or infections.
  • Imaging tests: In some cases, imaging tests such as X-rays or CT scans may be ordered to assess the extent of the condition.

It is important to work closely with your healthcare provider to ensure an accurate diagnosis and appropriate treatment plan.

Treatment Options for Pityriasis Rubra Pilaris Face

There is no cure for PRP, but several treatment options are available to manage symptoms and improve quality of life. The choice of treatment will depend on the severity of the condition, the type of PRP, and the individual's overall health. Some of the most common treatment options for Pityriasis Rubra Pilaris Face include:

Topical Treatments

Topical treatments are often the first line of defense against PRP. These treatments are applied directly to the affected areas of the skin and can help reduce inflammation, itching, and scaling. Some of the most commonly used topical treatments include:

  • Corticosteroids: These are anti-inflammatory medications that can help reduce redness and itching.
  • Vitamin D analogs: These medications can help regulate skin cell growth and reduce scaling.
  • Retinoids: These are vitamin A derivatives that can help improve skin texture and reduce scaling.

Systemic Treatments

In more severe cases of PRP, systemic treatments may be necessary. These treatments are taken orally or by injection and can help manage symptoms throughout the body. Some of the most commonly used systemic treatments include:

  • Methotrexate: This is an immunosuppressive medication that can help reduce inflammation and slow the progression of the condition.
  • Acitretin: This is a retinoid that can help improve skin texture and reduce scaling.
  • Biologics: These are a newer class of medications that target specific immune system pathways and can help manage symptoms in more severe cases.

Phototherapy

Phototherapy involves the use of ultraviolet light to treat skin conditions. This treatment can help reduce inflammation, itching, and scaling in people with PRP. There are several types of phototherapy, including:

  • Narrowband UVB: This type of phototherapy uses a specific wavelength of ultraviolet light to treat the skin.
  • PUVA: This type of phototherapy combines ultraviolet light with a medication called psoralen to enhance its effectiveness.

Phototherapy is typically administered in a clinical setting and may require multiple sessions to achieve the desired results.

📝 Note: It is important to follow your healthcare provider's instructions carefully when using any treatment for PRP. Some treatments may have side effects, and it is important to monitor your symptoms closely and report any changes to your healthcare provider.

Living with Pityriasis Rubra Pilaris Face

Living with Pityriasis Rubra Pilaris Face can be challenging, but there are several strategies that can help manage symptoms and improve quality of life. Some tips for living with PRP include:

  • Maintaining a healthy lifestyle: Eating a balanced diet, getting regular exercise, and avoiding stress can help improve overall health and reduce the severity of symptoms.
  • Avoiding triggers: Identifying and avoiding triggers that can worsen symptoms, such as certain foods, medications, or environmental factors, can help manage the condition.
  • Using moisturizers: Regular use of moisturizers can help keep the skin hydrated and reduce itching and scaling.
  • Wearing protective clothing: Wearing protective clothing, such as long-sleeved shirts and pants, can help protect the skin from sun exposure and reduce the risk of flare-ups.
  • Seeking support: Joining a support group or talking to a therapist can provide emotional support and help manage the psychological impact of living with PRP.

It is important to work closely with your healthcare provider to develop a comprehensive treatment plan that addresses your individual needs and concerns.

Research and Future Directions

Research into the causes and treatment of PRP is ongoing, and there is hope that new therapies will be developed in the future. Some of the areas of research that show promise include:

  • Genetic studies: Researchers are studying the genetic factors that may contribute to the development of PRP, with the goal of identifying new targets for treatment.
  • Immune system modulation: New therapies that target specific immune system pathways are being developed, with the goal of reducing inflammation and improving symptoms.
  • Stem cell therapy: Researchers are exploring the use of stem cell therapy to regenerate damaged skin and improve symptoms in people with PRP.

While there is still much to learn about PRP, ongoing research offers hope for improved treatment options and better outcomes for people living with this condition.

Pityriasis Rubra Pilaris is a complex and challenging condition, but with the right treatment and support, it is possible to manage symptoms and improve quality of life. If you or someone you know is living with Pityriasis Rubra Pilaris Face, it is important to seek medical attention and work closely with your healthcare provider to develop a comprehensive treatment plan. With ongoing research and new therapies on the horizon, there is hope for improved outcomes and a better understanding of this condition.

Related Terms:

  • pityriasis rubra pilaris nhs
  • pityriasis rubra pilaris guidelines
  • pityriasis rubra pilaris dermnet nz
  • what causes pityriasis rubra pilaris
  • prp skin disease pictures
  • pityriasis rubra pilaris symptoms
Facebook Twitter WhatsApp
Related Posts
Don't Miss