Learning

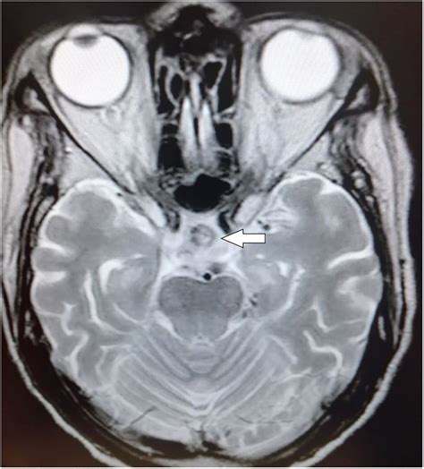
Pituitary Gland Mri

Pituitary Gland Mri
Pituitary Gland Mri

Understanding the intricacies of the pituitary gland and its role in the human body is crucial for diagnosing and treating various endocrine disorders. One of the most effective diagnostic tools for evaluating the pituitary gland is the Pituitary Gland MRI. This imaging technique provides detailed images of the pituitary gland, helping healthcare professionals to identify abnormalities, tumors, and other conditions that may affect this vital organ.

What is the Pituitary Gland?

The pituitary gland, often referred to as the “master gland,” is a small, pea-sized gland located at the base of the brain. It plays a pivotal role in regulating various physiological processes by secreting hormones that control growth, metabolism, and reproduction. The pituitary gland is divided into two main parts: the anterior pituitary and the posterior pituitary. Each part produces different hormones that are essential for maintaining overall health and well-being.

Importance of the Pituitary Gland

The pituitary gland is crucial for several reasons:

  • Hormone Regulation: It produces and releases hormones that regulate other endocrine glands, such as the thyroid, adrenal glands, and gonads.
  • Growth and Development: The pituitary gland secretes growth hormone, which is essential for growth and development, particularly in children.
  • Metabolism: It helps regulate metabolism by controlling the production of thyroid hormones.
  • Reproduction: The pituitary gland produces hormones that regulate the menstrual cycle and fertility in women and testosterone production in men.

What is a Pituitary Gland MRI?

A Pituitary Gland MRI is a non-invasive imaging technique that uses magnetic fields and radio waves to produce detailed images of the pituitary gland and surrounding structures. This imaging modality is particularly useful for detecting abnormalities, tumors, and other conditions that may affect the pituitary gland. The MRI provides high-resolution images that allow healthcare professionals to make accurate diagnoses and develop appropriate treatment plans.

Indications for a Pituitary Gland MRI

A Pituitary Gland MRI may be recommended for various reasons, including:

  • Symptoms of Pituitary Disorders: Patients experiencing symptoms such as headaches, vision problems, fatigue, and changes in menstrual cycles may undergo a Pituitary Gland MRI to identify the underlying cause.
  • Hormonal Imbalances: Individuals with hormonal imbalances, such as those related to growth, thyroid function, or reproductive health, may require a Pituitary Gland MRI to assess the pituitary gland’s function.
  • Tumor Detection: Patients with suspected pituitary tumors, such as pituitary adenomas, may undergo a Pituitary Gland MRI to confirm the diagnosis and determine the size and location of the tumor.
  • Follow-Up Care: Patients who have undergone treatment for pituitary disorders, such as surgery or radiation therapy, may require follow-up Pituitary Gland MRI scans to monitor their condition and ensure that the treatment is effective.

Preparing for a Pituitary Gland MRI

Preparing for a Pituitary Gland MRI involves several steps to ensure the procedure is safe and effective. Patients should:

  • Inform the Healthcare Provider: Patients should inform their healthcare provider about any medical conditions, allergies, or medications they are taking, as well as any metal implants or devices they have, such as pacemakers or cochlear implants.
  • Remove Metal Objects: Patients should remove all metal objects, including jewelry, watches, and clothing with metal fasteners, before the MRI scan.
  • Follow Dietary Restrictions: In some cases, patients may be advised to fast for a certain period before the MRI scan. This is usually not necessary for a Pituitary Gland MRI, but it is essential to follow any specific instructions provided by the healthcare provider.
  • Arrange Transportation: Patients may be given a sedative to help them relax during the MRI scan. In such cases, it is advisable to arrange for someone to drive them home afterward.

What to Expect During a Pituitary Gland MRI

During a Pituitary Gland MRI, patients lie on a table that slides into a large, cylindrical machine. The MRI machine uses magnetic fields and radio waves to produce detailed images of the pituitary gland. The procedure typically takes about 30 to 60 minutes, depending on the complexity of the scan. Patients may be asked to lie still and hold their breath for short periods to ensure clear images. In some cases, a contrast agent may be injected to enhance the visibility of certain structures.

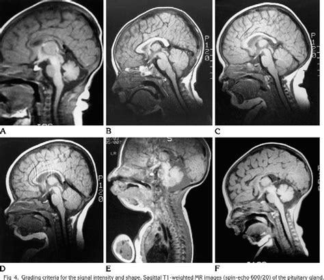
Interpreting Pituitary Gland MRI Results

Interpreting the results of a Pituitary Gland MRI involves analyzing the images to identify any abnormalities, tumors, or other conditions that may affect the pituitary gland. Healthcare professionals look for:

  • Tumors: Pituitary adenomas, which are benign tumors, are one of the most common findings on a Pituitary Gland MRI. These tumors can cause hormonal imbalances and other symptoms.
  • Inflammation: Inflammation of the pituitary gland, known as hypophysitis, can be detected on an MRI scan. This condition can cause hormonal deficiencies and other symptoms.
  • Structural Abnormalities: Structural abnormalities, such as pituitary cysts or congenital anomalies, can also be identified on a Pituitary Gland MRI.
  • Vascular Issues: Vascular issues, such as aneurysms or vascular malformations, can be detected on an MRI scan. These conditions can affect blood flow to the pituitary gland and cause symptoms.

Common Findings on a Pituitary Gland MRI

Some of the most common findings on a Pituitary Gland MRI include:

  • Pituitary Adenomas: Benign tumors that can cause hormonal imbalances and other symptoms.
  • Hypophysitis: Inflammation of the pituitary gland that can cause hormonal deficiencies.
  • Pituitary Cysts: Fluid-filled sacs that can cause pressure on the pituitary gland and surrounding structures.
  • Pituitary Apoplexy: A sudden hemorrhage or infarction of the pituitary gland that can cause severe symptoms, including headache, vision loss, and hormonal deficiencies.
  • Pituitary Stalk Lesions: Lesions that affect the pituitary stalk, which connects the pituitary gland to the hypothalamus, can cause hormonal imbalances and other symptoms.

Treatment Options for Pituitary Gland Disorders

Treatment options for pituitary gland disorders depend on the underlying cause and the severity of the condition. Common treatment options include:

  • Medication: Medications, such as hormone replacement therapy, can be used to manage hormonal imbalances and other symptoms.
  • Surgery: Surgical procedures, such as transsphenoidal surgery, can be used to remove tumors or other abnormalities from the pituitary gland.
  • Radiation Therapy: Radiation therapy can be used to shrink tumors or control their growth.
  • Monitoring: Regular monitoring and follow-up care can help manage pituitary gland disorders and ensure that treatment is effective.

Risks and Complications of a Pituitary Gland MRI

A Pituitary Gland MRI is generally considered safe, but there are some risks and complications to be aware of. These include:

  • Allergic Reactions: Some patients may experience allergic reactions to the contrast agent used during the MRI scan. These reactions are usually mild but can be severe in rare cases.
  • Clausrophobia: Patients who are claustrophobic may find the MRI scan uncomfortable or distressing. In such cases, sedation may be provided to help the patient relax.
  • Metal Implants: Patients with metal implants or devices, such as pacemakers or cochlear implants, may not be able to undergo an MRI scan. The magnetic fields used in the MRI can interfere with these devices and cause complications.
  • Movement: Patients who are unable to lie still during the MRI scan may experience blurred or incomplete images, which can affect the accuracy of the diagnosis.

📝 Note: Patients should inform their healthcare provider about any medical conditions, allergies, or medications they are taking, as well as any metal implants or devices they have, before undergoing a Pituitary Gland MRI.

Follow-Up Care After a Pituitary Gland MRI

Follow-up care after a Pituitary Gland MRI is essential to ensure that any abnormalities or conditions identified during the scan are properly managed. Patients may be advised to:

  • Schedule Follow-Up Appointments: Regular follow-up appointments with a healthcare provider can help monitor the condition and ensure that treatment is effective.
  • Undergo Additional Tests: Additional tests, such as blood tests or other imaging studies, may be recommended to further evaluate the condition.
  • Adhere to Treatment Plans: Patients should adhere to the treatment plans recommended by their healthcare provider, including medication, surgery, or radiation therapy, as appropriate.
  • Monitor Symptoms: Patients should monitor their symptoms and report any changes or concerns to their healthcare provider.

Comparing Pituitary Gland MRI with Other Imaging Techniques

While a Pituitary Gland MRI is one of the most effective imaging techniques for evaluating the pituitary gland, other imaging modalities may also be used in certain situations. These include:

  • CT Scan: A computed tomography (CT) scan uses X-rays to produce detailed images of the body. While CT scans can provide useful information about the pituitary gland, they are generally less effective than MRI scans for detecting soft tissue abnormalities.
  • Ultrasound: Ultrasound uses high-frequency sound waves to produce images of the body. While ultrasound can be useful for evaluating certain structures, it is not typically used for imaging the pituitary gland.
  • PET Scan: A positron emission tomography (PET) scan uses a radioactive tracer to produce detailed images of the body’s metabolic processes. PET scans can be useful for detecting certain types of tumors but are generally not used for routine evaluation of the pituitary gland.

Cost and Insurance Coverage for a Pituitary Gland MRI

The cost of a Pituitary Gland MRI can vary depending on several factors, including the location, the complexity of the scan, and the healthcare provider. In general, the cost of an MRI scan can range from a few hundred to several thousand dollars. Insurance coverage for a Pituitary Gland MRI can also vary. Most insurance plans cover the cost of an MRI scan if it is deemed medically necessary. Patients should check with their insurance provider to determine their coverage and any out-of-pocket expenses they may incur.

Future Directions in Pituitary Gland Imaging

The field of pituitary gland imaging is continually evolving, with new technologies and techniques being developed to improve the accuracy and effectiveness of diagnostic imaging. Some of the future directions in pituitary gland imaging include:

  • Advanced MRI Techniques: New MRI techniques, such as functional MRI (fMRI) and diffusion-weighted imaging (DWI), can provide more detailed information about the pituitary gland and its function.
  • Artificial Intelligence: Artificial intelligence (AI) and machine learning algorithms can be used to analyze MRI images and identify abnormalities more accurately and efficiently.
  • Molecular Imaging: Molecular imaging techniques, such as PET/MRI, can provide detailed information about the molecular processes within the pituitary gland, helping to identify and characterize tumors and other conditions.
  • 3D Imaging: 3D imaging techniques can provide more detailed and accurate images of the pituitary gland, helping healthcare providers to make more precise diagnoses and treatment plans.

📝 Note: Patients should discuss the benefits and risks of different imaging techniques with their healthcare provider to determine the best approach for their individual needs.

Patient Experiences with Pituitary Gland MRI

Patient experiences with a Pituitary Gland MRI can vary, but many find the procedure to be relatively straightforward and painless. Some patients may experience anxiety or discomfort due to the enclosed space of the MRI machine, but sedation can be provided to help them relax. Most patients report that the procedure is well-tolerated and that the benefits of accurate diagnosis and treatment outweigh any temporary discomfort.

Support and Resources for Patients with Pituitary Gland Disorders

Patients with pituitary gland disorders can benefit from various support and resources, including:

  • Support Groups: Joining a support group can provide patients with a sense of community and access to valuable information and resources.
  • Educational Materials: Educational materials, such as brochures, websites, and online forums, can provide patients with information about their condition and treatment options.
  • Healthcare Providers: Regular communication with healthcare providers can help patients manage their condition and ensure that they receive the best possible care.
  • Mental Health Support: Patients with pituitary gland disorders may experience emotional and psychological challenges. Seeking support from mental health professionals can be beneficial.

📝 Note: Patients should not hesitate to reach out to healthcare providers, support groups, and other resources for help and guidance in managing their pituitary gland disorders.

Final Thoughts

Understanding the role of the pituitary gland and the importance of a Pituitary Gland MRI in diagnosing and treating pituitary gland disorders is crucial for maintaining overall health and well-being. This imaging technique provides detailed and accurate information about the pituitary gland, helping healthcare professionals to make accurate diagnoses and develop effective treatment plans. By staying informed and seeking appropriate medical care, patients can effectively manage pituitary gland disorders and improve their quality of life.

In summary, the pituitary gland plays a vital role in regulating various physiological processes, and a Pituitary Gland MRI is an essential tool for evaluating this gland and identifying any abnormalities or conditions that may affect it. By understanding the indications, preparation, and interpretation of a Pituitary Gland MRI, patients can make informed decisions about their healthcare and work with their healthcare providers to manage their conditions effectively. Regular follow-up care and adherence to treatment plans are crucial for ensuring the best possible outcomes for patients with pituitary gland disorders.

Related Terms:

  • pituitary gland mri radiopaedia
  • pituitary gland mri axial
  • pituitary gland mri scan
  • pituitary gland mri with contrast
  • pituitary gland mri cpt code
  • pituitary gland ct
Facebook Twitter WhatsApp
Related Posts
Don't Miss