Learning

Pigtail Chest Tube

Pigtail Chest Tube
Pigtail Chest Tube

In the realm of medical procedures, the insertion and management of a Pigtail Chest Tube is a critical skill for healthcare professionals. This procedure is essential for draining fluid or air from the pleural space, which can accumulate due to various medical conditions such as pneumothorax, pleural effusion, or empyema. Understanding the intricacies of this procedure, from preparation to post-insertion care, is vital for ensuring patient safety and effective treatment.

Understanding the Pigtail Chest Tube

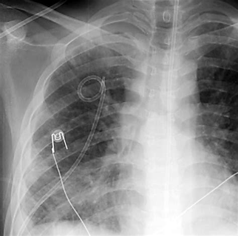
A Pigtail Chest Tube is a small, flexible tube with a coiled end that resembles a pigtail. This design allows for easier insertion and reduced trauma to the patient compared to traditional chest tubes. The tube is typically inserted using a Seldinger technique, which involves the use of a guidewire to facilitate placement. The primary function of a Pigtail Chest Tube is to drain excess fluid or air from the pleural space, thereby relieving pressure and promoting healing.

Indications for Pigtail Chest Tube Insertion

The decision to insert a Pigtail Chest Tube is based on several clinical indications. These include:

  • Pneumothorax: A condition where air accumulates in the pleural space, causing the lung to collapse.
  • Pleural Effusion: The buildup of fluid in the pleural space, which can be due to infection, heart failure, or cancer.
  • Empyema: A collection of pus in the pleural space, often resulting from a bacterial infection.
  • Hemothorax: The accumulation of blood in the pleural space, typically due to trauma or surgery.

Preparation for Pigtail Chest Tube Insertion

Proper preparation is crucial for a successful Pigtail Chest Tube insertion. The following steps should be taken:

  • Patient Assessment: Evaluate the patient’s condition, including vital signs, respiratory status, and any underlying comorbidities.
  • Informed Consent: Obtain informed consent from the patient, explaining the procedure, risks, and benefits.
  • Equipment Gathering: Gather all necessary equipment, including the Pigtail Chest Tube, guidewire, syringe, local anesthetic, sterile drapes, and dressing materials.
  • Sterile Technique: Ensure a sterile environment by washing hands, wearing sterile gloves, and using sterile drapes.

Step-by-Step Procedure for Pigtail Chest Tube Insertion

The insertion of a Pigtail Chest Tube involves several key steps. Here is a detailed guide:

  • Positioning: Position the patient in a supine or semi-recumbent position, with the affected side slightly elevated.
  • Local Anesthesia: Inject a local anesthetic into the insertion site, typically the second or third intercostal space in the mid-axillary line.
  • Skin Incision: Make a small incision in the skin using a scalpel.
  • Guidewire Insertion: Insert a needle attached to a syringe into the pleural space and aspirate any fluid or air. Once confirmed, insert the guidewire through the needle.
  • Dilator Insertion: Use a dilator to enlarge the tract created by the needle and guidewire.
  • Pigtail Chest Tube Placement: Insert the Pigtail Chest Tube over the guidewire and advance it into the pleural space. Remove the guidewire and secure the tube in place.
  • Connection to Drainage System: Connect the Pigtail Chest Tube to a drainage system, such as a pleural drainage unit, to facilitate fluid or air removal.
  • Dressing and Securing: Apply a sterile dressing around the insertion site and secure the tube with sutures or adhesive tape.

📝 Note: Always ensure that the insertion site is sterile and that the patient is monitored closely for any signs of complications, such as bleeding or infection.

Post-Insertion Care and Monitoring

After the insertion of a Pigtail Chest Tube, continuous monitoring and care are essential to ensure the patient’s well-being. Key aspects of post-insertion care include:

  • Vital Signs Monitoring: Regularly monitor the patient’s vital signs, including heart rate, blood pressure, and respiratory rate.
  • Drainage Output: Keep track of the amount and type of drainage from the tube. Notify the healthcare provider if there is a sudden increase or change in the drainage.
  • Tube Patency: Ensure that the tube remains patent and is not kinked or obstructed. Regularly flush the tube with saline if necessary.
  • Pain Management: Administer pain medication as needed to manage any discomfort associated with the tube.
  • Infection Prevention: Maintain a sterile environment around the insertion site to prevent infection. Change the dressing regularly and inspect the site for any signs of infection.

Complications and Management

While the insertion of a Pigtail Chest Tube is generally safe, complications can occur. Common complications include:

  • Bleeding: Excessive bleeding at the insertion site can occur. Apply pressure and monitor the patient closely.
  • Infection: Infection at the insertion site or within the pleural space can develop. Administer antibiotics and monitor for signs of sepsis.
  • Tube Dislodgement: The tube may become dislodged, leading to a loss of drainage. Secure the tube properly and monitor for any signs of dislodgement.
  • Pneumothorax: Air may leak into the pleural space, causing a pneumothorax. Monitor the patient’s respiratory status and consider additional interventions if necessary.

Removal of the Pigtail Chest Tube

The removal of a Pigtail Chest Tube should be done carefully to minimize discomfort and prevent complications. The following steps should be followed:

  • Patient Preparation: Explain the procedure to the patient and obtain consent. Ensure the patient is in a comfortable position.
  • Drainage System Disconnection: Disconnect the tube from the drainage system and clamp it to prevent air or fluid from re-entering the pleural space.
  • Tube Removal: Gently pull the tube out in a smooth, steady motion. Apply gentle pressure to the insertion site to prevent air from entering.
  • Dressing Application: Apply a sterile dressing to the insertion site and secure it with adhesive tape.
  • Post-Removal Care: Monitor the patient for any signs of complications, such as bleeding or pneumothorax. Provide pain management as needed.

📝 Note: Always ensure that the patient is stable and that the pleural space has been adequately drained before removing the Pigtail Chest Tube.

Patient Education and Follow-Up

Educating the patient about the Pigtail Chest Tube and post-insertion care is crucial for a successful recovery. Key points to discuss include:

  • Activity Restrictions: Advise the patient to avoid strenuous activities and heavy lifting to prevent dislodgement of the tube.
  • Signs of Complications: Inform the patient about the signs of complications, such as increased pain, fever, or difficulty breathing, and when to seek medical attention.
  • Follow-Up Appointments: Schedule follow-up appointments to monitor the patient’s progress and ensure proper healing.
  • Home Care Instructions: Provide detailed instructions for home care, including how to care for the insertion site and when to change the dressing.

Conclusion

The insertion and management of a Pigtail Chest Tube are essential skills for healthcare professionals. Understanding the indications, preparation, procedure, and post-insertion care is crucial for ensuring patient safety and effective treatment. By following the steps outlined and being vigilant for potential complications, healthcare providers can successfully manage patients requiring a Pigtail Chest Tube. Continuous monitoring, patient education, and follow-up care are key to a successful recovery and positive patient outcomes.

Related Terms:

  • pigtail chest tube french size
  • pigtail chest tube management
  • pigtail catheter
  • pigtail chest tube removal
  • pigtail chest tube insertion
  • pigtail chest tube procedure
Facebook Twitter WhatsApp
Related Posts
Don't Miss