Learning

Phyllodes Tumor Breast

Phyllodes Tumor Breast
Phyllodes Tumor Breast

Phyllodes tumors of the breast, also known as cystosarcoma phyllodes, are rare fibroepithelial neoplasms that account for less than 1% of all breast tumors. These tumors are characterized by their rapid growth and potential for malignancy, making early detection and appropriate management crucial. Understanding the nature, diagnosis, and treatment of phyllodes tumors is essential for healthcare providers and patients alike.

Understanding Phyllodes Tumor Breast

Phyllodes tumors are classified into three main types based on their histological features: benign, borderline, and malignant. Each type has distinct characteristics and implications for treatment and prognosis.

Benign Phyllodes Tumors

Benign phyllodes tumors are the most common type, accounting for approximately 60-70% of all phyllodes tumors. These tumors are typically slow-growing and have a low risk of recurrence. They are characterized by a well-defined border and a leaf-like architecture, with stromal overgrowth and epithelial components.

Borderline Phyllodes Tumors

Borderline phyllodes tumors exhibit features that fall between benign and malignant tumors. They have a higher risk of recurrence compared to benign tumors and may show signs of stromal overgrowth and increased cellularity. These tumors require careful management to prevent recurrence and potential progression to malignancy.

Malignant Phyllodes Tumors

Malignant phyllodes tumors are the least common but most aggressive type. They are characterized by marked stromal overgrowth, increased cellularity, and the presence of stromal sarcoma. These tumors have a higher risk of local recurrence and distant metastasis, making early detection and aggressive treatment essential.

Diagnosis of Phyllodes Tumor Breast

Diagnosing phyllodes tumors involves a combination of clinical examination, imaging studies, and histopathological analysis. Early and accurate diagnosis is crucial for determining the appropriate treatment plan.

Clinical Examination

Clinical examination typically reveals a rapidly growing, painless breast mass. The mass is often well-circumscribed and mobile, but it can also be firm and fixed to surrounding tissues in more advanced cases. A thorough clinical examination, including palpation and assessment of lymph nodes, is essential for initial evaluation.

Imaging Studies

Imaging studies play a critical role in the diagnosis of phyllodes tumors. Common imaging modalities include:

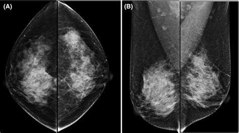
  • Mammography: Mammography can detect phyllodes tumors as well-defined, round or oval masses with smooth or lobulated margins. However, it may not always differentiate phyllodes tumors from other breast lesions.
  • Ultrasound: Ultrasound provides detailed information about the tumor's size, shape, and internal characteristics. Phyllodes tumors typically appear as solid, hypoechoic masses with well-defined margins.
  • Magnetic Resonance Imaging (MRI): MRI offers high-resolution images of the breast tissue and can help differentiate phyllodes tumors from other breast lesions. It is particularly useful for assessing the extent of the tumor and planning surgical intervention.

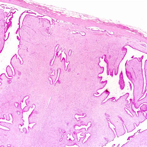
Histopathological Analysis

Histopathological analysis is the gold standard for diagnosing phyllodes tumors. A core needle biopsy or excisional biopsy is performed to obtain a tissue sample for microscopic examination. The histopathological features, including stromal overgrowth, epithelial components, and cellularity, are evaluated to determine the tumor's type and grade.

Treatment of Phyllodes Tumor Breast

The treatment of phyllodes tumors depends on the tumor's type, size, and grade, as well as the patient's overall health and preferences. The primary goal of treatment is to achieve complete surgical excision with clear margins while preserving breast tissue and function.

Surgical Management

Surgical excision is the mainstay of treatment for phyllodes tumors. The type of surgery depends on the tumor's characteristics and the patient's preferences. Common surgical options include:

  • Wide Local Excision: This involves removing the tumor with a margin of normal tissue to ensure complete excision. It is typically performed for smaller, benign tumors.
  • Mastectomy: Mastectomy may be necessary for larger tumors or those with malignant features. It involves removing the entire breast tissue and may be followed by reconstructive surgery.

Adjuvant Therapy

Adjuvant therapy may be recommended for patients with borderline or malignant phyllodes tumors to reduce the risk of recurrence and metastasis. Common adjuvant therapies include:

  • Radiation Therapy: Radiation therapy may be used to reduce the risk of local recurrence, particularly in patients with positive surgical margins or malignant tumors.
  • Chemotherapy: Chemotherapy may be considered for patients with metastatic disease or high-risk features. However, its role in the treatment of phyllodes tumors is not well-defined, and its use is typically reserved for advanced cases.

Follow-Up and Surveillance

Regular follow-up and surveillance are essential for monitoring patients with phyllodes tumors. Follow-up visits typically include clinical examinations, imaging studies, and histopathological analysis of any suspicious lesions. The frequency and duration of follow-up depend on the tumor's type, grade, and the patient's individual risk factors.

Prognosis and Recurrence

The prognosis of phyllodes tumors varies depending on the tumor's type, size, and grade. Benign tumors generally have an excellent prognosis with a low risk of recurrence. However, borderline and malignant tumors have a higher risk of local recurrence and distant metastasis, requiring careful management and surveillance.

Recurrence rates for phyllodes tumors can be significant, particularly for borderline and malignant tumors. Factors associated with an increased risk of recurrence include:

  • Large tumor size
  • Positive surgical margins
  • High-grade histology
  • Younger age at diagnosis

Regular follow-up and surveillance are crucial for early detection and management of recurrent disease. Patients should be educated about the signs and symptoms of recurrence and encouraged to report any changes promptly.

Risk Factors and Prevention

The exact causes of phyllodes tumors are not well understood, but several risk factors have been identified. Understanding these risk factors can help in early detection and prevention.

Risk Factors

Risk factors for phyllodes tumors include:

  • Age: Phyllodes tumors can occur at any age but are most commonly diagnosed in women between the ages of 40 and 50.
  • Family History: A family history of breast cancer or other breast conditions may increase the risk of developing phyllodes tumors.
  • Previous Breast Conditions: A history of benign breast conditions, such as fibrocystic changes or fibroadenomas, may increase the risk of developing phyllodes tumors.

Prevention

While there is no proven method for preventing phyllodes tumors, regular breast self-examinations, clinical examinations, and imaging studies can help in early detection. Women should be aware of any changes in their breasts and report them to their healthcare provider promptly.

Additionally, maintaining a healthy lifestyle, including regular exercise, a balanced diet, and avoiding tobacco and excessive alcohol consumption, can help reduce the overall risk of breast conditions.

📝 Note: Regular breast self-examinations and clinical examinations are essential for early detection of phyllodes tumors. Women should be encouraged to report any changes in their breasts promptly to their healthcare provider.

Support and Resources

Living with a phyllodes tumor diagnosis can be challenging, both physically and emotionally. Support and resources are available to help patients and their families cope with the diagnosis and treatment.

Support Groups

Support groups provide a safe and supportive environment for patients to share their experiences, gain insights, and receive emotional support. Joining a support group can help patients feel less isolated and more empowered in their journey.

Educational Resources

Educational resources, including books, websites, and online forums, can provide valuable information about phyllodes tumors, treatment options, and coping strategies. Patients and their families should seek reliable and up-to-date information to make informed decisions about their care.

Professional Support

Healthcare providers, including oncologists, surgeons, and psychologists, play a crucial role in supporting patients with phyllodes tumors. They can provide medical expertise, emotional support, and guidance throughout the treatment journey.

In addition to professional support, patients may benefit from complementary therapies, such as acupuncture, massage, and mindfulness practices, to help manage symptoms and improve overall well-being.

Phyllodes tumors of the breast are rare but significant fibroepithelial neoplasms that require early detection and appropriate management. Understanding the nature, diagnosis, and treatment of phyllodes tumors is essential for healthcare providers and patients alike. Regular follow-up and surveillance are crucial for monitoring patients and detecting recurrent disease early. Support and resources are available to help patients and their families cope with the diagnosis and treatment, ensuring a better quality of life throughout the journey.

Related Terms:

  • phyllodes tumour path outlines
  • phyllodes tumor breast pathology outlines
  • fibroadenoma vs phyllodes histology
  • benign phyllodes tumor pathology outlines
  • is phyllodes tumor cancer
  • phyllodes tumors in women
Facebook Twitter WhatsApp
Related Posts
Don't Miss