Learning

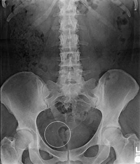
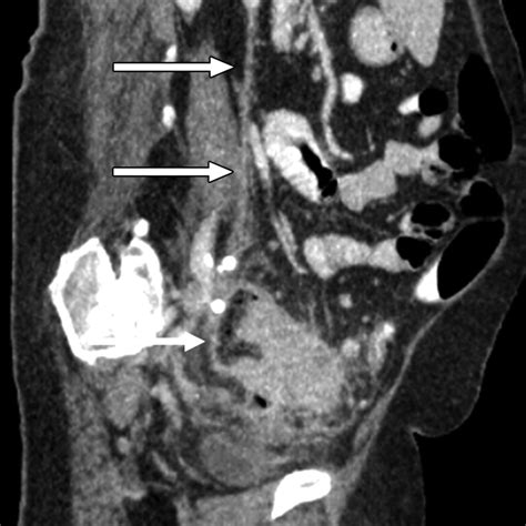
Phleboliths In Pelvis

Phleboliths In Pelvis
Phleboliths In Pelvis

Understanding the complexities of the human body often involves delving into intricate details that might not be immediately apparent. One such detail is the presence of phleboliths in pelvis. These small, calcified structures can provide valuable insights into various medical conditions and are often detected during routine imaging procedures. This blog post aims to explore the significance of phleboliths in the pelvis, their causes, diagnostic methods, and potential implications for patient health.

What Are Phleboliths?

Phleboliths are small, calcified deposits that form within veins. They are typically composed of calcium and other minerals and can vary in size from a few millimeters to several centimeters. These deposits are often incidental findings during imaging studies, such as X-rays, CT scans, or MRIs. While phleboliths can occur in various parts of the body, their presence in the pelvis is particularly noteworthy due to the anatomical complexity of the region.

Causes of Phleboliths in the Pelvis

The formation of phleboliths in the pelvis can be attributed to several factors. Understanding these causes is crucial for healthcare providers to make informed decisions about patient care. Some of the primary causes include:

  • Venous Stasis: Slow or stagnant blood flow in the veins can lead to the deposition of calcium and other minerals, resulting in the formation of phleboliths.
  • Inflammation: Inflammatory processes in the veins, often due to conditions like thrombophlebitis, can trigger the calcification process.
  • Trauma: Injury to the pelvic region can cause damage to the veins, leading to the formation of phleboliths as part of the healing process.
  • Genetic Factors: Some individuals may have a genetic predisposition to developing phleboliths, although this is less common.

Diagnostic Methods for Detecting Phleboliths in the Pelvis

Detecting phleboliths in the pelvis typically involves imaging techniques that can visualize the calcified deposits. The most common diagnostic methods include:

  • X-Rays: Plain radiographs can sometimes detect phleboliths, especially if they are large enough. However, X-rays are less sensitive compared to other imaging modalities.
  • Computed Tomography (CT) Scans: CT scans provide detailed images of the pelvic region and are highly effective in identifying phleboliths. They offer a three-dimensional view of the area, making it easier to locate and assess the deposits.
  • Magnetic Resonance Imaging (MRI): MRI scans use magnetic fields and radio waves to produce detailed images of the body’s soft tissues. While MRI is excellent for visualizing soft tissue structures, it may not always detect small phleboliths as clearly as CT scans.
  • Ultrasound: In some cases, ultrasound can be used to detect phleboliths, particularly if they are located near the surface of the body. However, ultrasound is less effective for deeper structures.

Clinical Significance of Phleboliths in the Pelvis

The clinical significance of phleboliths in the pelvis can vary depending on their size, location, and the underlying cause. In many cases, phleboliths are incidental findings and do not require any specific treatment. However, there are situations where they may indicate an underlying medical condition that warrants further investigation. Some key points to consider include:

  • Incidental Findings: Many phleboliths are discovered incidentally during imaging studies performed for other reasons. In such cases, they are often benign and do not require any intervention.
  • Associated Conditions: The presence of phleboliths can sometimes be associated with conditions like pelvic congestion syndrome, deep vein thrombosis, or varicose veins. In these cases, further evaluation and treatment may be necessary.
  • Symptoms: While phleboliths themselves are usually asymptomatic, they can sometimes cause symptoms if they are large or if they are associated with an underlying condition. Symptoms may include pain, swelling, or discomfort in the pelvic region.

Treatment Options for Phleboliths in the Pelvis

Treatment for phleboliths in the pelvis is typically not required unless they are causing symptoms or are associated with an underlying condition. In such cases, the treatment approach will depend on the specific condition and its severity. Some common treatment options include:

  • Medications: Medications such as anticoagulants or anti-inflammatory drugs may be prescribed to manage symptoms and address any underlying conditions.
  • Compression Therapy: Compression stockings or wraps can help improve blood flow and reduce symptoms associated with venous insufficiency.
  • Surgical Interventions: In severe cases, surgical procedures such as vein stripping, endovenous ablation, or sclerotherapy may be recommended to treat underlying conditions like varicose veins or pelvic congestion syndrome.

Preventive Measures for Phleboliths in the Pelvis

While there is no guaranteed way to prevent the formation of phleboliths, certain lifestyle modifications can help reduce the risk of developing venous conditions that may lead to their formation. Some preventive measures include:

  • Regular Exercise: Engaging in regular physical activity can improve blood circulation and reduce the risk of venous stasis.
  • Maintaining a Healthy Weight: Obesity can increase the pressure on veins, leading to the formation of phleboliths. Maintaining a healthy weight can help reduce this risk.
  • Avoiding Prolonged Sitting or Standing: Prolonged periods of sitting or standing can impair blood flow. Taking regular breaks to move around can help prevent venous stasis.
  • Wearing Compression Stockings: Compression stockings can help improve blood flow and reduce the risk of venous conditions.

Case Studies and Examples

To better understand the clinical significance of phleboliths in the pelvis, let’s consider a few case studies:

Case Study 1: A 45-year-old woman presented with chronic pelvic pain and was referred for a CT scan. The scan revealed multiple phleboliths in the pelvic veins. Further evaluation showed that she had pelvic congestion syndrome, a condition characterized by dilated and tortuous pelvic veins. Treatment with compression therapy and medications helped alleviate her symptoms.

Case Study 2: A 60-year-old man underwent a routine CT scan for abdominal pain. The scan incidentally detected a small phlebolith in the pelvic region. Since the phlebolith was asymptomatic and not associated with any underlying condition, no further treatment was required.

Future Research and Developments

The study of phleboliths in the pelvis is an evolving field, and ongoing research is essential to enhance our understanding of these calcified deposits. Future research may focus on:

  • Improved Diagnostic Techniques: Developing more sensitive and specific imaging techniques to detect phleboliths and associated conditions.
  • Genetic Factors: Investigating the genetic predisposition to phlebolith formation and its implications for patient care.
  • Treatment Innovations: Exploring new treatment options and interventions for managing phleboliths and associated conditions.

📝 Note: The information provided in this blog post is for educational purposes only and should not be used as a substitute for professional medical advice. Always consult a healthcare provider for any medical concerns.

In summary, phleboliths in the pelvis are small, calcified deposits that can provide valuable insights into various medical conditions. While they are often incidental findings, their presence can sometimes indicate underlying issues that require further investigation and treatment. Understanding the causes, diagnostic methods, and clinical significance of phleboliths is crucial for healthcare providers to make informed decisions about patient care. By staying informed about the latest research and developments, we can continue to improve our understanding and management of these calcified deposits.

Related Terms:

  • phleboliths in pelvis radiology
  • phleboliths in pelvis treatment
  • phleboliths in pelvis ct
  • are phleboliths in pelvis dangerous
  • phleboliths in pelvis meaning
  • phleboliths vs kidney stone
Facebook Twitter WhatsApp
Related Posts
Don't Miss