Learning

Pelviectasis Of Kidney

Pelviectasis Of Kidney
Pelviectasis Of Kidney

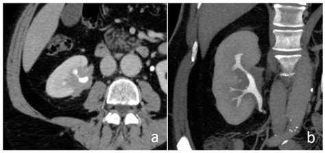
Pelviectasis of the kidney, also known as renal pelvic dilation, is a condition characterized by the enlargement of the renal pelvis, the part of the kidney that collects urine before it drains into the ureter. This condition can affect individuals of all ages, but it is often detected in infants and children during routine ultrasound examinations. Understanding the causes, symptoms, diagnosis, and treatment options for pelviectasis of the kidney is crucial for managing this condition effectively.

Understanding Pelviectasis of the Kidney

Pelviectasis of the kidney occurs when the renal pelvis becomes dilated, leading to an accumulation of urine. This dilation can be caused by various factors, including:

  • Obstruction in the urinary tract, such as a blockage in the ureter or urethra.
  • Vesicoureteral reflux, a condition where urine flows backward from the bladder into the ureters and kidneys.
  • Neurogenic bladder, a condition where the bladder does not function properly due to nerve damage.
  • Infection or inflammation in the urinary tract.

Pelviectasis can be classified into two main types based on the severity of the dilation:

  • Mild Pelviectasis: This type involves minimal dilation of the renal pelvis and is often considered a normal variant. It typically does not require treatment and is monitored regularly.
  • Severe Pelviectasis: This type involves significant dilation of the renal pelvis and may indicate an underlying obstruction or other serious condition. It often requires medical intervention.

Symptoms of Pelviectasis of the Kidney

Symptoms of pelviectasis of the kidney can vary depending on the underlying cause and the severity of the condition. In many cases, especially in infants and young children, the condition may be asymptomatic and detected incidentally during routine ultrasound examinations. However, some common symptoms may include:

  • Abdominal pain or discomfort.
  • Frequent urination or urgency.
  • Fever or chills, which may indicate a urinary tract infection.
  • Nausea or vomiting.
  • Blood in the urine (hematuria).

In infants, symptoms may be more subtle and can include:

  • Poor feeding or failure to thrive.
  • Irritability or lethargy.
  • Swelling or mass in the abdominal area.

Diagnosis of Pelviectasis of the Kidney

Diagnosing pelviectasis of the kidney involves a combination of medical history, physical examination, and diagnostic tests. The diagnostic process typically includes:

  • Medical History and Physical Examination: The healthcare provider will review the patient's medical history and perform a physical examination to assess for any signs of abdominal pain, swelling, or other symptoms.
  • Ultrasound: An ultrasound of the kidneys and urinary tract is the primary diagnostic tool for detecting pelviectasis. It provides detailed images of the renal pelvis and can help determine the extent of dilation.
  • Voiding Cystourethrogram (VCUG): This test involves injecting a contrast dye into the bladder and taking X-ray images to visualize the urinary tract. It is often used to diagnose vesicoureteral reflux.
  • Magnetic Resonance Urography (MRU): This non-invasive imaging technique uses magnetic resonance imaging (MRI) to provide detailed images of the urinary tract. It is particularly useful for evaluating complex cases of pelviectasis.
  • Dimeraptosuccinic Acid (DMSA) Scan: This nuclear medicine test involves injecting a radioactive tracer into the bloodstream and using a gamma camera to visualize the kidneys. It helps assess kidney function and detect any areas of scarring or damage.

Treatment Options for Pelviectasis of the Kidney

The treatment of pelviectasis of the kidney depends on the underlying cause, the severity of the dilation, and the presence of symptoms. Treatment options may include:

  • Observation: In cases of mild pelviectasis without symptoms, regular monitoring with ultrasound examinations may be sufficient. No immediate treatment is required, but follow-up appointments are essential to ensure the condition does not worsen.
  • Medical Management: For cases involving infection or inflammation, antibiotics or anti-inflammatory medications may be prescribed to treat the underlying condition.
  • Surgical Intervention: In severe cases of pelviectasis caused by an obstruction, surgical procedures such as pyeloplasty (a procedure to repair a blocked ureter) or ureteral reimplantation (a procedure to correct vesicoureteral reflux) may be necessary.

In some cases, a combination of these treatment options may be used to manage pelviectasis effectively. The goal of treatment is to relieve any obstruction, reduce dilation, and preserve kidney function.

Complications of Pelviectasis of the Kidney

If left untreated, pelviectasis of the kidney can lead to several complications, including:

  • Urinary Tract Infections (UTIs): The accumulation of urine in the dilated renal pelvis can increase the risk of UTIs, which can cause further damage to the kidneys.
  • Kidney Damage: Prolonged dilation and obstruction can lead to permanent damage to the kidney tissue, resulting in reduced kidney function.
  • Hypertension: Chronic kidney damage can lead to high blood pressure, which can further exacerbate kidney problems.
  • Renal Failure: In severe cases, untreated pelviectasis can progress to renal failure, requiring dialysis or kidney transplantation.

Regular follow-up and appropriate management are crucial to prevent these complications and maintain kidney health.

Prevention of Pelviectasis of the Kidney

While not all cases of pelviectasis of the kidney can be prevented, there are several measures that can help reduce the risk of developing this condition:

  • Regular Medical Check-ups: Regular medical check-ups and routine ultrasound examinations, especially for infants and children, can help detect pelviectasis early.
  • Prompt Treatment of UTIs: Prompt and effective treatment of urinary tract infections can prevent complications that may lead to pelviectasis.
  • Hydration: Maintaining adequate hydration can help prevent urinary tract infections and reduce the risk of kidney problems.
  • Avoiding Bladder Irritants: Avoiding bladder irritants such as caffeine, alcohol, and spicy foods can help maintain bladder health.

By taking these preventive measures, individuals can reduce the risk of developing pelviectasis of the kidney and maintain overall kidney health.

📝 Note: It is important to consult with a healthcare provider for personalized advice and treatment options tailored to individual needs.

Pelviectasis of the kidney is a condition that requires careful management and monitoring to prevent complications and preserve kidney function. By understanding the causes, symptoms, diagnosis, and treatment options, individuals can take proactive steps to manage this condition effectively. Regular follow-up with healthcare providers and adherence to recommended treatment plans are essential for maintaining kidney health and preventing long-term complications.

Related Terms:

  • kidney pelviectasis definition
  • pelviectasis of kidney in women
  • pelvic kidney disease in adults
  • pelviectasis of kidney adult
  • pelviectasis in adult female
  • pelviectasis of kidney vs hydronephrosis
Facebook Twitter WhatsApp
Related Posts
Don't Miss