Learning

Partial Empty Sella

Partial Empty Sella
Partial Empty Sella

Understanding the intricacies of the pituitary gland and its surrounding structures is crucial for diagnosing and managing various endocrine disorders. One such condition that often sparks curiosity and concern is the Partial Empty Sella. This phenomenon, where the sella turcica—the bony structure housing the pituitary gland—is partially filled with cerebrospinal fluid (CSF) instead of pituitary tissue, can have significant implications for hormonal balance and overall health.

What is the Pituitary Gland?

The pituitary gland, often referred to as the “master gland,” plays a pivotal role in regulating various physiological processes. Located at the base of the brain, it secretes hormones that control growth, metabolism, and reproduction. The gland is divided into two main parts: the anterior pituitary and the posterior pituitary. Each part produces different hormones essential for maintaining homeostasis.

Understanding the Sella Turcica

The sella turcica is a bony structure within the sphenoid bone that houses the pituitary gland. It is shaped like a saddle, hence its name, which translates to “Turkish saddle.” The sella turcica is crucial for protecting the pituitary gland and providing a stable environment for its function. Any abnormalities in this structure can affect the pituitary gland’s ability to produce hormones.

What is a Partial Empty Sella?

A Partial Empty Sella occurs when the sella turcica is only partially filled with pituitary tissue, and the remaining space is occupied by cerebrospinal fluid (CSF). This condition can be congenital or acquired. Congenital cases are present at birth, while acquired cases develop later in life, often due to factors such as pituitary tumors, radiation therapy, or trauma.

Causes of Partial Empty Sella

The causes of a Partial Empty Sella can be varied and complex. Some of the most common causes include:

  • Pituitary Tumors: Benign tumors, such as pituitary adenomas, can compress the pituitary gland, leading to a partial empty sella.
  • Radiation Therapy: Radiation treatment for brain tumors or other conditions can damage the pituitary gland, resulting in a partial empty sella.
  • Trauma: Head injuries or surgical procedures in the brain can cause damage to the pituitary gland and the sella turcica.
  • Autoimmune Disorders: Conditions like lymphocytic hypophysitis can cause inflammation and damage to the pituitary gland.
  • Aging: As people age, the pituitary gland can naturally shrink, leading to a partial empty sella.

Symptoms of Partial Empty Sella

The symptoms of a Partial Empty Sella can vary widely depending on the underlying cause and the extent of pituitary dysfunction. Some common symptoms include:

  • Hormonal Imbalances: Symptoms such as fatigue, weight changes, and mood swings can occur due to hormonal imbalances.
  • Vision Problems: Compression of the optic nerves can lead to vision loss or changes in visual acuity.
  • Headaches: Persistent headaches, often due to increased intracranial pressure.
  • Menstrual Irregularities: In women, menstrual cycles may become irregular or stop altogether.
  • Sexual Dysfunction: Both men and women may experience decreased libido and other sexual dysfunctions.

Diagnosing Partial Empty Sella

Diagnosing a Partial Empty Sella involves a combination of clinical evaluation, imaging studies, and hormonal tests. The diagnostic process typically includes:

  • Medical History and Physical Examination: A thorough medical history and physical exam can help identify symptoms and risk factors.
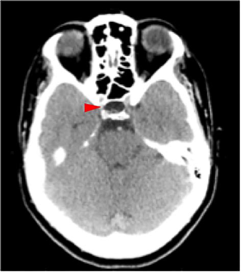
  • Imaging Studies: Magnetic Resonance Imaging (MRI) is the gold standard for visualizing the pituitary gland and the sella turcica. It can show the extent of the empty sella and any associated abnormalities.
  • Hormonal Tests: Blood tests to measure hormone levels can help determine if there is pituitary dysfunction. Common tests include measuring levels of growth hormone, thyroid-stimulating hormone (TSH), and cortisol.

Treatment Options for Partial Empty Sella

The treatment for a Partial Empty Sella depends on the underlying cause and the severity of symptoms. Treatment options may include:

  • Medications: Hormone replacement therapy can be used to manage hormonal imbalances. Medications to control symptoms such as headaches or vision problems may also be prescribed.
  • Surgery: In cases where a pituitary tumor is the cause, surgical removal of the tumor may be necessary. This can help relieve pressure on the pituitary gland and restore normal function.
  • Radiation Therapy: For tumors that cannot be completely removed surgically, radiation therapy may be used to shrink the tumor and prevent further growth.
  • Lifestyle Changes: Maintaining a healthy lifestyle, including a balanced diet and regular exercise, can help manage symptoms and improve overall health.

Living with Partial Empty Sella

Living with a Partial Empty Sella can be challenging, but with proper management and support, many individuals can lead fulfilling lives. Key strategies for managing this condition include:

  • Regular Medical Check-ups: Regular follow-ups with an endocrinologist can help monitor hormone levels and adjust treatment as needed.
  • Education and Awareness: Understanding the condition and its potential complications can help individuals make informed decisions about their health.
  • Support Groups: Joining support groups can provide emotional support and practical advice from others who are living with similar conditions.
  • Mental Health Support: Coping with a chronic condition can be emotionally taxing. Seeking support from mental health professionals can be beneficial.

Related Terms:

  • partial empty sella mri
  • partial empty sella radiology
  • partial empty sella mri brain
  • empty sella syndrome radiology
  • partial empty sella turcica
  • partial empty sella ct
Facebook Twitter WhatsApp
Related Posts
Don't Miss