Learning

Parietal Cell Ab

Parietal Cell Ab
Parietal Cell Ab

Understanding the role of Parietal Cell Ab in the human body is crucial for comprehending various digestive and autoimmune disorders. Parietal Cell Ab, short for Parietal Cell Antibodies, are proteins produced by the immune system that target parietal cells in the stomach. These antibodies are significant markers in the diagnosis and management of conditions such as autoimmune gastritis and pernicious anemia.

What are Parietal Cells?

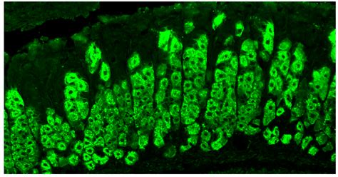
Parietal cells are specialized cells found in the stomach lining. Their primary function is to produce hydrochloric acid and intrinsic factor. Hydrochloric acid is essential for breaking down food and activating digestive enzymes, while intrinsic factor is crucial for the absorption of vitamin B12 in the small intestine. The disruption of parietal cell function can lead to various health issues, including vitamin B12 deficiency and anemia.

The Role of Parietal Cell Antibodies

Parietal Cell Ab are autoantibodies that target parietal cells. When the immune system produces these antibodies, it mistakenly attacks the parietal cells, leading to their destruction. This autoimmune response can result in chronic inflammation of the stomach lining, a condition known as autoimmune gastritis. The destruction of parietal cells impairs the stomach’s ability to produce hydrochloric acid and intrinsic factor, leading to several complications.

Conditions Associated with Parietal Cell Antibodies

Parietal Cell Ab are commonly associated with the following conditions:

  • Autoimmune Gastritis: This condition involves chronic inflammation of the stomach lining due to the immune system attacking parietal cells. It can lead to atrophic gastritis, where the stomach lining thins out, and the number of parietal cells decreases.
  • Pernicious Anemia: This is a type of anemia caused by a deficiency of vitamin B12. The lack of intrinsic factor, due to the destruction of parietal cells, prevents the absorption of vitamin B12, leading to anemia.
  • Other Autoimmune Disorders: The presence of Parietal Cell Ab may also be associated with other autoimmune disorders, such as thyroid diseases, type 1 diabetes, and Addison’s disease.

Diagnosis and Testing for Parietal Cell Antibodies

Diagnosing conditions associated with Parietal Cell Ab involves several steps, including blood tests and endoscopic procedures. The primary diagnostic tool is the detection of Parietal Cell Ab in the blood. Other tests may include:

  • Serum Pepsinogen Levels: Measuring the levels of pepsinogen in the blood can help assess the function of chief cells, which are also affected in autoimmune gastritis.
  • Endoscopic Biopsy: An endoscopic procedure to obtain a tissue sample from the stomach lining can confirm the presence of inflammation and atrophy.
  • Vitamin B12 Levels: Checking the levels of vitamin B12 in the blood can help diagnose pernicious anemia.

Treatment Options for Conditions Associated with Parietal Cell Antibodies

Treatment for conditions associated with Parietal Cell Ab focuses on managing symptoms and addressing the underlying deficiencies. The primary treatment options include:

  • Vitamin B12 Supplements: For patients with pernicious anemia, regular injections or oral supplements of vitamin B12 are essential to maintain healthy levels.
  • Proton Pump Inhibitors (PPIs): These medications can help reduce stomach acid production and alleviate symptoms of gastritis.
  • H2 Receptor Antagonists: These drugs can also reduce stomach acid production and are sometimes used in combination with PPIs.
  • Dietary Modifications: A balanced diet rich in vitamin B12 and other essential nutrients can help manage symptoms and improve overall health.

Prevention and Management Strategies

While there is no known way to prevent the development of Parietal Cell Ab, early detection and management can significantly improve outcomes. Regular health check-ups and screening for autoimmune disorders can help identify the presence of Parietal Cell Ab before symptoms become severe. Lifestyle modifications, such as a healthy diet and stress management, can also support overall digestive health.

Research and Future Directions

Ongoing research aims to better understand the mechanisms behind the production of Parietal Cell Ab and develop more effective treatments. Current studies focus on:

  • Immune Modulation: Investigating ways to modulate the immune system to reduce the production of Parietal Cell Ab.
  • Gene Therapy: Exploring gene therapy as a potential treatment for autoimmune gastritis and pernicious anemia.
  • Novel Biomarkers: Identifying new biomarkers that can improve the diagnosis and monitoring of conditions associated with Parietal Cell Ab.

🔍 Note: Early detection and management of conditions associated with Parietal Cell Ab are crucial for preventing complications and improving quality of life.

Parietal Cell Ab play a critical role in the development of autoimmune gastritis and pernicious anemia. Understanding their function and the conditions they are associated with is essential for effective diagnosis and treatment. Regular health check-ups, dietary modifications, and appropriate medical interventions can help manage these conditions and improve overall health. As research continues, new treatments and diagnostic tools may emerge, offering hope for better outcomes for patients with Parietal Cell Ab-related disorders.

Related Terms:

  • parietal cell ab labcorp
  • parietal cell ab cpt code
  • parietal cell antibody positive symptoms
  • parietal cell ab high
  • positive anti parietal cell antibody
  • parietal cell ab positive
Facebook Twitter WhatsApp
Related Posts
Don't Miss