Learning

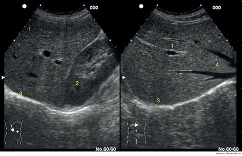
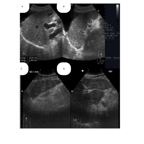
Parenquima Hepatico Izquierdo Ecografia

Parenquima Hepatico Izquierdo Ecografia
Parenquima Hepatico Izquierdo Ecografia

Ultrasound imaging, or ecography, is a crucial diagnostic tool in modern medicine, providing valuable insights into various medical conditions. One specific area of interest is the Parenquima Hepatico Izquierdo Ecografia, which refers to the ultrasound examination of the left hepatic parenchyma. This procedure is essential for diagnosing and monitoring liver diseases, assessing liver function, and guiding treatment plans. Understanding the significance of Parenquima Hepatico Izquierdo Ecografia and its applications can help healthcare professionals make informed decisions and improve patient outcomes.

Understanding the Liver and Its Parenchyma

The liver is a vital organ responsible for numerous functions, including detoxification, protein synthesis, and the production of biochemicals necessary for digestion. The liver parenchyma refers to the functional tissue of the liver, which is composed of hepatocytes, Kupffer cells, and other cellular components. The left hepatic parenchyma, specifically, is the portion of the liver on the left side, which is often examined using ultrasound to detect abnormalities.

The Role of Ultrasound in Liver Imaging

Ultrasound imaging, or ecography, uses high-frequency sound waves to create images of internal body structures. This non-invasive technique is widely used in medical diagnostics due to its safety, affordability, and real-time imaging capabilities. In the context of Parenquima Hepatico Izquierdo Ecografia, ultrasound helps visualize the left hepatic parenchyma, identifying any structural or functional abnormalities.

Preparation for Parenquima Hepatico Izquierdo Ecografia

Preparing for a Parenquima Hepatico Izquierdo Ecografia involves several steps to ensure accurate and reliable results. Patients are typically advised to:

  • Fast for at least 6-8 hours before the procedure to reduce gas in the intestines, which can interfere with the ultrasound images.
  • Wear comfortable clothing that allows easy access to the abdomen.
  • Avoid smoking and consuming carbonated beverages before the exam.

The Procedure of Parenquima Hepatico Izquierdo Ecografia

The Parenquima Hepatico Izquierdo Ecografia procedure is straightforward and typically takes about 15-30 minutes. Here are the steps involved:

  • The patient lies on their back on an examination table.
  • A water-based gel is applied to the abdomen to enhance the transmission of sound waves.
  • The ultrasound technician or radiologist moves a transducer (a handheld device) over the abdomen, focusing on the left hepatic parenchyma.
  • The transducer emits sound waves that bounce off the liver tissue, creating real-time images on a monitor.
  • The technician or radiologist captures images and videos for further analysis.

📝 Note: Patients may be asked to hold their breath briefly during the procedure to obtain clearer images.

Interpreting the Results of Parenquima Hepatico Izquierdo Ecografia

Interpreting the results of a Parenquima Hepatico Izquierdo Ecografia involves analyzing the ultrasound images for any abnormalities in the left hepatic parenchyma. Common findings include:

  • Hepatic Lesions: These can be benign or malignant and may appear as cysts, tumors, or nodules.
  • Fatty Liver Disease: Characterized by the accumulation of fat in the liver, which can appear as a bright, echogenic pattern on ultrasound.
  • Liver Cirrhosis: Advanced liver disease that can show signs of fibrosis, nodularity, and altered liver texture.
  • Hepatic Vascular Abnormalities: Such as portal vein thrombosis or hepatic vein obstruction.

Common Findings and Their Implications

Understanding the implications of common findings in Parenquima Hepatico Izquierdo Ecografia is crucial for effective diagnosis and treatment. Here are some key findings and their significance:

Finding Implications
Hepatic Cysts Usually benign and require no treatment unless they cause symptoms or complications.
Hepatic Tumors Can be benign or malignant; further evaluation and biopsy may be necessary.
Fatty Liver Indicates non-alcoholic fatty liver disease (NAFLD) or alcoholic liver disease, requiring lifestyle changes and medical management.
Cirrhosis Advanced liver disease that may require liver transplantation or other interventions.
Vascular Abnormalities May indicate underlying conditions such as portal hypertension or hepatic vein thrombosis, requiring specific treatments.

Advanced Techniques in Liver Ultrasound

In addition to conventional ultrasound, advanced techniques can enhance the diagnostic capabilities of Parenquima Hepatico Izquierdo Ecografia. These include:

  • Doppler Ultrasound: Uses sound waves to measure blood flow and detect vascular abnormalities.
  • Contrast-Enhanced Ultrasound (CEUS): Involves the use of contrast agents to improve the visibility of liver lesions and vascular structures.
  • Elastography: Measures the stiffness of liver tissue, helping to assess the degree of fibrosis and cirrhosis.

Clinical Applications of Parenquima Hepatico Izquierdo Ecografia

The clinical applications of Parenquima Hepatico Izquierdo Ecografia are vast and include:

  • Diagnosis of Liver Diseases: Early detection of conditions such as hepatitis, cirrhosis, and liver cancer.
  • Monitoring Treatment Efficacy: Assessing the response to medical treatments and interventions.
  • Guiding Interventional Procedures: Such as biopsies, drainage of fluid collections, and ablation of tumors.
  • Preoperative Evaluation: Assessing liver health before surgeries, especially those involving the liver or biliary system.

Limitations and Challenges

While Parenquima Hepatico Izquierdo Ecografia is a valuable diagnostic tool, it has certain limitations and challenges:

  • Operator Dependency: The quality of the images and the accuracy of the diagnosis depend on the skill and experience of the technician or radiologist.
  • Patient Factors: Obesity, gas in the intestines, and other factors can interfere with image quality.
  • Limited Sensitivity: Some small lesions or early-stage diseases may not be detectable on ultrasound.

📝 Note: In cases where ultrasound findings are inconclusive, additional imaging modalities such as CT scans or MRI may be recommended.

Future Directions in Liver Ultrasound

The field of liver ultrasound is continually evolving, with advancements in technology and techniques enhancing its diagnostic capabilities. Future directions include:

  • Artificial Intelligence (AI): Integration of AI algorithms to improve image interpretation and detection of subtle abnormalities.
  • 3D Ultrasound: Providing more detailed and comprehensive views of the liver parenchyma.
  • Portable Ultrasound Devices: Enhancing accessibility and convenience for point-of-care diagnostics.

In conclusion, Parenquima Hepatico Izquierdo Ecografia is a critical diagnostic tool in the assessment of liver health. Its ability to provide real-time, non-invasive imaging of the left hepatic parenchyma makes it invaluable for diagnosing and monitoring liver diseases. By understanding the procedure, interpreting the results, and recognizing the limitations, healthcare professionals can leverage this technology to improve patient outcomes and guide effective treatment plans. The ongoing advancements in ultrasound technology promise to further enhance its diagnostic capabilities, ensuring that it remains a cornerstone of liver imaging in the future.

Related Terms:

  • ecografia hepática ecuatorial
  • lesión focal hepática definición
  • ecografía hepática focal
  • ecografía hepática en espanol
  • hipoecocia hepática
  • patología focal de la hepática
Facebook Twitter WhatsApp
Related Posts
Don't Miss