Learning

Parasternal Long Axis

Parasternal Long Axis
Parasternal Long Axis

Echocardiography is a crucial diagnostic tool in cardiology, providing valuable insights into the structure and function of the heart. Among the various views obtained during an echocardiogram, the Parasternal Long Axis (PLAX) view is particularly significant. This view offers a comprehensive assessment of the heart's left ventricle, mitral valve, aortic valve, and left atrium, making it indispensable for diagnosing a wide range of cardiac conditions.

Understanding the Parasternal Long Axis View

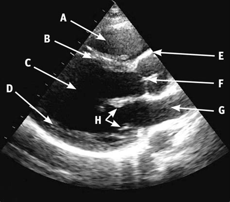
The Parasternal Long Axis view is obtained by placing the ultrasound probe in the parasternal position, which is the area just to the left of the sternum. The probe is oriented to capture a longitudinal section of the heart, providing a clear view of the heart's left side. This view is essential for evaluating the heart's anatomy and function, as it allows clinicians to assess the following structures:

  • Left ventricle
  • Left atrium
  • Mitral valve
  • Aortic valve
  • Interventricular septum
  • Aortic root

By examining these structures, clinicians can identify various cardiac abnormalities, including valve dysfunction, ventricular hypertrophy, and chamber enlargement.

Importance of the Parasternal Long Axis View

The Parasternal Long Axis view is vital for several reasons:

  • Valvular Assessment: This view provides a clear visualization of the mitral and aortic valves, allowing for the detection of valve stenosis, regurgitation, and other valvular pathologies.
  • Ventricular Function: The PLAX view enables the assessment of left ventricular function, including ejection fraction and wall motion abnormalities.
  • Chamber Size: It helps in measuring the dimensions of the left ventricle and left atrium, which is crucial for diagnosing conditions like hypertrophic cardiomyopathy and dilated cardiomyopathy.
  • Interventricular Septum: The view allows for the evaluation of the interventricular septum, which can help in diagnosing conditions like ventricular septal defects and hypertrophic obstructive cardiomyopathy.

Overall, the Parasternal Long Axis view is a cornerstone of echocardiographic examinations, providing a wealth of information that aids in the diagnosis and management of cardiac diseases.

Technique for Obtaining the Parasternal Long Axis View

Obtaining a high-quality Parasternal Long Axis view requires a systematic approach. Here are the steps involved:

  • Patient Positioning: The patient is typically positioned in the left lateral decubitus position, which allows for better access to the heart.
  • Probe Placement: The ultrasound probe is placed in the parasternal position, just to the left of the sternum, in the third or fourth intercostal space.
  • Orientation: The probe is oriented to capture a longitudinal section of the heart, with the marker pointing towards the patient's right shoulder.
  • Image Optimization: The depth, gain, and focus of the ultrasound machine are adjusted to optimize the image quality. The sector width is narrowed to enhance resolution.
  • M-mode and Doppler: M-mode and Doppler echocardiography can be used to further evaluate the structures visualized in the PLAX view. M-mode provides detailed information about wall motion and valve function, while Doppler helps in assessing blood flow velocities and detecting abnormalities.

πŸ” Note: It is essential to ensure that the patient is comfortable and that the probe is applied with minimal pressure to avoid discomfort.

Common Findings in the Parasternal Long Axis View

The Parasternal Long Axis view can reveal a variety of cardiac abnormalities. Some of the common findings include:

  • Mitral Valve Stenosis: Narrowing of the mitral valve orifice, leading to impaired blood flow from the left atrium to the left ventricle.
  • Aortic Valve Regurgitation: Backflow of blood from the aorta into the left ventricle during diastole, often due to a malfunctioning aortic valve.
  • Left Ventricular Hypertrophy: Thickening of the left ventricular walls, which can be due to conditions like hypertension or hypertrophic cardiomyopathy.
  • Dilated Left Ventricle: Enlargement of the left ventricle, which can be a sign of dilated cardiomyopathy or volume overload.
  • Interventricular Septal Defect: A hole in the interventricular septum, allowing blood to flow between the left and right ventricles.

These findings are crucial for diagnosing and managing various cardiac conditions, and the Parasternal Long Axis view plays a pivotal role in their detection.

Clinical Applications of the Parasternal Long Axis View

The Parasternal Long Axis view has numerous clinical applications, including:

  • Diagnosis of Valvular Diseases: The view is essential for diagnosing mitral and aortic valve diseases, including stenosis and regurgitation.
  • Assessment of Ventricular Function: It helps in evaluating left ventricular function, which is crucial for managing conditions like heart failure and cardiomyopathy.
  • Detection of Congenital Heart Defects: The PLAX view can reveal congenital heart defects, such as ventricular septal defects and aortic coarctation.
  • Monitoring of Cardiac Conditions: It is used to monitor the progression of cardiac conditions and the effectiveness of treatments.

In addition to these applications, the Parasternal Long Axis view is also used in research and educational settings to study cardiac anatomy and function.

Challenges and Limitations

While the Parasternal Long Axis view is highly informative, it also has its challenges and limitations:

  • Patient Factors: Obesity, lung disease, and chest wall deformities can make it difficult to obtain a clear view of the heart.
  • Technical Factors: Suboptimal probe positioning, inadequate image optimization, and poor patient cooperation can affect the quality of the view.
  • Interpretation: Accurate interpretation of the PLAX view requires expertise and experience, as subtle abnormalities can be easily missed.

Despite these challenges, the Parasternal Long Axis view remains a valuable tool in echocardiography, providing essential information for the diagnosis and management of cardiac diseases.

πŸ“ Note: Clinicians should be aware of these limitations and strive to optimize the image quality and interpretation accuracy.

Advanced Techniques in Parasternal Long Axis View

Advances in echocardiography have led to the development of several techniques that enhance the diagnostic value of the Parasternal Long Axis view. Some of these techniques include:

  • 3D Echocardiography: This technique provides a three-dimensional view of the heart, allowing for a more comprehensive assessment of cardiac structures and function.
  • Stress Echocardiography: This involves performing echocardiography during or after stress (exercise or pharmacological), helping to detect ischemia and assess cardiac reserve.
  • Contrast Echocardiography: The use of contrast agents enhances the visualization of cardiac structures and blood flow, improving the detection of abnormalities.
  • Tissue Doppler Imaging: This technique measures the velocity of myocardial tissue, providing insights into ventricular function and detecting subtle abnormalities.

These advanced techniques complement the traditional Parasternal Long Axis view, offering a more detailed and accurate assessment of cardiac health.

Case Studies

To illustrate the clinical utility of the Parasternal Long Axis view, consider the following case studies:

Case 1: Mitral Valve Stenosis

Patient Information Findings Management
55-year-old female with dyspnea Severe mitral valve stenosis with a mean gradient of 15 mmHg Percutaneous mitral valvuloplasty

Case 2: Aortic Valve Regurgitation

Patient Information Findings Management
60-year-old male with chest pain Severe aortic valve regurgitation with a regurgitant volume of 60 mL Aortic valve replacement

Case 3: Left Ventricular Hypertrophy

Patient Information Findings Management
45-year-old male with hypertension Left ventricular hypertrophy with a wall thickness of 15 mm Medical management with antihypertensive drugs

These case studies demonstrate the diagnostic value of the Parasternal Long Axis view in identifying and managing various cardiac conditions.

πŸ“š Note: Each case highlights the importance of accurate interpretation and timely intervention based on the findings from the PLAX view.

In conclusion, the Parasternal Long Axis view is an indispensable tool in echocardiography, providing a comprehensive assessment of the heart’s left side. Its ability to visualize key structures and detect abnormalities makes it crucial for diagnosing and managing a wide range of cardiac conditions. By mastering the technique and understanding its clinical applications, clinicians can enhance their diagnostic capabilities and improve patient outcomes. The ongoing advancements in echocardiography continue to enhance the diagnostic value of the Parasternal Long Axis view, ensuring its relevance in modern cardiac care.

Related Terms:

  • coronary cusps parasternal long axis
  • parasternal long axis view measurements
  • parasternal long axis rvot
  • parasternal long axis aortic cusps
  • parasternal long aortic valve cusps
  • long parasternal axis view heart
Facebook Twitter WhatsApp
Related Posts
Don't Miss