Learning

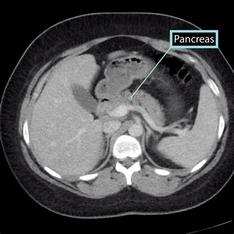
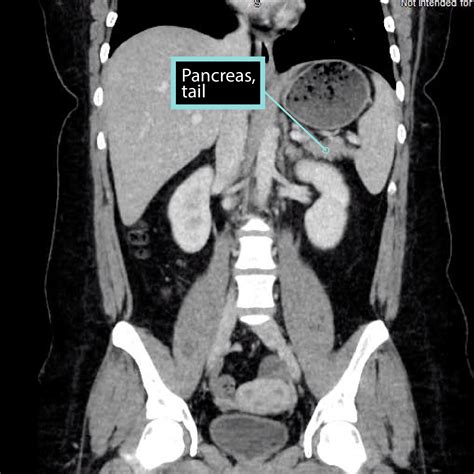
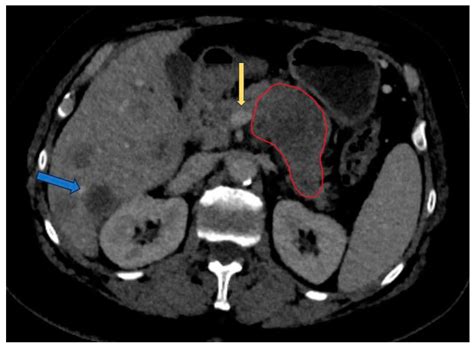
Pancreas On Ct

Pancreas On Ct
Pancreas On Ct

Understanding the pancreas on CT scans is crucial for diagnosing and managing various pancreatic conditions. Computed Tomography (CT) scans provide detailed images of the pancreas, aiding in the detection of diseases such as pancreatitis, pancreatic cancer, and cysts. This blog post will delve into the importance of CT scans in pancreatic imaging, the preparation required for the procedure, and the interpretation of results.

Importance of CT Scans in Pancreatic Imaging

CT scans are a cornerstone in the diagnostic process for pancreatic diseases. They offer high-resolution images that can reveal abnormalities in the pancreas, such as inflammation, tumors, or cysts. The detailed visualization provided by CT scans helps healthcare professionals make accurate diagnoses and develop effective treatment plans.

One of the primary advantages of CT scans is their ability to detect even small lesions in the pancreas. This is particularly important for early-stage pancreatic cancer, where timely intervention can significantly improve patient outcomes. Additionally, CT scans can assess the extent of disease spread, guiding surgical planning and other therapeutic interventions.

Preparation for a Pancreas CT Scan

Preparing for a pancreas CT scan involves several steps to ensure accurate and clear images. Patients are typically advised to:

  • Fast for several hours before the scan to reduce interference from food in the digestive tract.
  • Drink a contrast agent, which helps enhance the visibility of the pancreas and surrounding structures.
  • Avoid certain medications that could interfere with the contrast agent, such as metformin.
  • Inform the healthcare provider about any allergies or medical conditions that might affect the procedure.

In some cases, patients may also be asked to undergo a bowel preparation to clear the intestines, although this is less common for pancreatic CT scans.

๐Ÿ“ Note: Always follow the specific instructions provided by your healthcare provider, as preparation requirements may vary.

Interpreting Pancreas CT Scan Results

Interpreting the results of a pancreas CT scan requires expertise in radiology. Radiologists look for various signs and abnormalities that can indicate different conditions. Some key findings include:

  • Pancreatic Cancer: CT scans can reveal masses or tumors in the pancreas, which may appear as areas of increased density or irregular shapes.
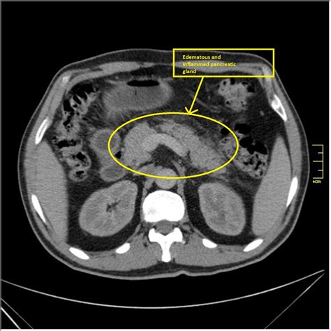
  • Pancreatitis: Inflammation of the pancreas can cause swelling and changes in the organ's texture, which are visible on CT scans.
  • Cysts: Fluid-filled sacs within the pancreas can be detected and their size and location assessed.
  • Pancreatic Duct Dilatation: Enlargement of the pancreatic duct can indicate obstruction, often due to a tumor or stone.

Radiologists also evaluate the surrounding structures, such as the liver, spleen, and blood vessels, to determine if the disease has spread or affected other organs.

Common Findings on Pancreas CT Scans

Here are some common findings that radiologists look for when interpreting pancreas CT scans:

Finding Description Potential Diagnosis
Mass or Tumor An area of increased density or irregular shape within the pancreas. Pancreatic cancer, neuroendocrine tumor.
Swelling Enlargement of the pancreas with changes in texture. Pancreatitis, inflammation.
Cyst Fluid-filled sac within the pancreas. Pancreatic cyst, pseudocyst.
Duct Dilatation Enlargement of the pancreatic duct. Obstruction, tumor, stone.

Advanced Imaging Techniques for the Pancreas

In addition to standard CT scans, advanced imaging techniques can provide even more detailed information about the pancreas. These techniques include:

  • Contrast-Enhanced CT: This involves injecting a contrast agent to enhance the visibility of the pancreas and surrounding structures. It is particularly useful for detecting small lesions and assessing blood flow.
  • Multiphase CT: This technique captures images at different phases of contrast enhancement, providing a comprehensive view of the pancreas and its vasculature.
  • 3D Reconstruction: Advanced software can create three-dimensional images of the pancreas, aiding in surgical planning and visualization of complex structures.

These advanced techniques offer a more detailed and accurate assessment of pancreatic conditions, improving diagnostic accuracy and treatment planning.

Role of CT Scans in Pancreatic Cancer Detection

Pancreatic cancer is one of the most challenging cancers to detect early due to its often asymptomatic nature in the early stages. CT scans play a crucial role in the early detection and staging of pancreatic cancer. Early detection is vital because pancreatic cancer often spreads rapidly, making timely intervention essential for improving patient outcomes.

CT scans can detect pancreatic cancer by identifying masses or tumors within the pancreas. These tumors may appear as areas of increased density or irregular shapes. Additionally, CT scans can assess the extent of disease spread, helping healthcare providers determine the appropriate treatment plan.

In some cases, CT scans may be used in conjunction with other imaging techniques, such as Magnetic Resonance Imaging (MRI) or Positron Emission Tomography (PET) scans, to provide a more comprehensive assessment of the disease.

Pancreas CT Scans in the Diagnosis of Pancreatitis

Pancreatitis is an inflammation of the pancreas that can be acute or chronic. CT scans are essential in diagnosing and managing pancreatitis by providing detailed images of the pancreas and surrounding structures. Acute pancreatitis often presents with sudden, severe abdominal pain, while chronic pancreatitis is characterized by persistent inflammation and damage to the pancreas.

CT scans can reveal swelling, changes in texture, and other abnormalities in the pancreas that indicate pancreatitis. They can also assess the severity of the inflammation and detect complications such as pseudocysts or necrosis. This information is crucial for developing an effective treatment plan and monitoring the patient's progress.

In cases of chronic pancreatitis, CT scans can help evaluate the extent of pancreatic damage and assess the need for surgical intervention or other treatments.

Pancreas CT Scans in the Detection of Pancreatic Cysts

Pancreatic cysts are fluid-filled sacs that can develop within the pancreas. While many cysts are benign, some can be malignant or have the potential to become cancerous. CT scans are valuable in detecting and characterizing pancreatic cysts, providing important information for diagnosis and treatment planning.

CT scans can reveal the size, location, and characteristics of pancreatic cysts. This information helps healthcare providers determine whether the cyst is benign or malignant and whether it requires further evaluation or treatment. In some cases, additional imaging techniques, such as MRI or endoscopic ultrasound, may be used to provide a more detailed assessment of the cyst.

Regular follow-up CT scans may be recommended to monitor the growth and changes in pancreatic cysts, ensuring timely intervention if necessary.

Pancreas CT Scans in the Evaluation of Pancreatic Duct Dilatation

Pancreatic duct dilatation refers to the enlargement of the pancreatic duct, which can indicate obstruction or other abnormalities. CT scans are essential in evaluating pancreatic duct dilatation by providing detailed images of the duct and surrounding structures. This information is crucial for diagnosing the underlying cause of the dilatation and developing an appropriate treatment plan.

CT scans can reveal the extent and location of the duct dilatation, as well as any associated abnormalities, such as tumors or stones. This information helps healthcare providers determine the cause of the dilatation and develop a targeted treatment plan. In some cases, additional imaging techniques, such as Magnetic Resonance Cholangiopancreatography (MRCP) or endoscopic retrograde cholangiopancreatography (ERCP), may be used to provide a more detailed assessment of the pancreatic duct.

Regular follow-up CT scans may be recommended to monitor the progression of pancreatic duct dilatation and assess the effectiveness of treatment.

Pancreas Anatomy

๐Ÿ“ Note: Always consult with a healthcare provider for personalized medical advice and treatment recommendations.

In summary, CT scans are indispensable tools in the diagnosis and management of various pancreatic conditions. They provide detailed images that aid in the detection of diseases such as pancreatic cancer, pancreatitis, and cysts. Proper preparation and interpretation of CT scan results are essential for accurate diagnosis and effective treatment planning. Advanced imaging techniques and regular follow-up scans further enhance the diagnostic capabilities of CT scans, ensuring timely intervention and improved patient outcomes.

Related Terms:

  • ct scan of pancreas images
  • ct pancreas indications
  • pancreas location ct abdomen
  • pancreas location ct
  • normal pancreas on ct abdomen
  • ct pancreas protocol pdf
Facebook Twitter WhatsApp
Related Posts
Don't Miss