Learning

Over Denture Implants

Over Denture Implants
Over Denture Implants

Over denture implants have revolutionized the field of dentistry, offering a stable and comfortable solution for individuals who have lost most or all of their teeth. This innovative procedure combines the benefits of traditional dentures with the stability and functionality of dental implants, providing a more secure and natural-feeling alternative. Over denture implants are designed to support a full or partial denture, ensuring that it stays firmly in place while eating, speaking, and smiling.

Understanding Over Denture Implants

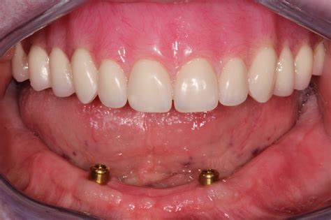
Over denture implants are a type of dental implant that supports a denture, providing a more secure fit compared to traditional dentures. These implants are surgically placed into the jawbone and act as anchors for the denture, preventing it from slipping or moving out of place. This stability enhances the overall comfort and functionality of the denture, allowing patients to enjoy their favorite foods and speak with confidence.

Types of Over Denture Implants

There are two main types of over denture implants: ball-retained and bar-retained.

  • Ball-Retained Implants: These implants feature a ball-shaped attachment that fits into a corresponding socket on the denture. This design allows for easy attachment and removal of the denture.
  • Bar-Retained Implants: These implants use a thin metal bar that is attached to the implants and fits into a corresponding attachment on the denture. This type provides a more stable fit and is often preferred for lower dentures.

Benefits of Over Denture Implants

Over denture implants offer numerous benefits, making them a popular choice for many patients. Some of the key advantages include:

  • Improved Stability: Over denture implants provide a secure fit, preventing the denture from slipping or moving out of place.
  • Enhanced Comfort: The stability of over denture implants reduces irritation and discomfort often associated with traditional dentures.
  • Better Chewing Ability: With over denture implants, patients can enjoy a wider variety of foods, as the denture stays firmly in place while eating.
  • Improved Speech: The secure fit of over denture implants helps patients speak more clearly and confidently.
  • Preservation of Bone Structure: Over denture implants stimulate the jawbone, helping to prevent bone loss and maintain facial structure.

The Procedure for Over Denture Implants

The process of getting over denture implants typically involves several steps, including consultation, implant placement, and denture attachment. Here is an overview of the procedure:

Consultation

During the initial consultation, the dentist will evaluate the patient's oral health, discuss their goals and expectations, and determine if over denture implants are the right solution. This may involve taking X-rays, impressions, and other diagnostic tests.

Implant Placement

The next step is the surgical placement of the implants. This procedure is usually performed under local anesthesia. The dentist will make small incisions in the gum tissue to expose the jawbone and then place the implants into the bone. The gums are then sutured closed, and the implants are allowed to heal and integrate with the bone over a period of several months.

Denture Attachment

Once the implants have fully integrated with the jawbone, the dentist will attach the denture to the implants. For ball-retained implants, the dentist will place the ball-shaped attachments onto the implants and fit the denture with corresponding sockets. For bar-retained implants, the dentist will attach a thin metal bar to the implants and fit the denture with a corresponding attachment.

📝 Note: The healing process and integration of the implants with the jawbone can take several months. It is important to follow the dentist's post-operative instructions to ensure proper healing and success of the procedure.

Caring for Over Denture Implants

Proper care and maintenance of over denture implants are essential for their longevity and effectiveness. Here are some tips for caring for over denture implants:

  • Regular Cleaning: Brush and floss the denture and implants daily to remove plaque and food particles. Use a soft-bristled toothbrush and non-abrasive toothpaste.
  • Professional Cleanings: Schedule regular dental check-ups and cleanings to ensure the health of the implants and surrounding tissues.
  • Avoid Hard Foods: Be cautious with hard or sticky foods that can damage the denture or implants.
  • Proper Storage: When not in use, store the denture in a safe place to prevent damage or loss.

Cost of Over Denture Implants

The cost of over denture implants can vary depending on several factors, including the number of implants, the type of denture, and the complexity of the procedure. It is important to consult with a dentist to get an accurate estimate of the costs involved. Many dental insurance plans may cover a portion of the cost, so it is worth checking with your provider.

Here is a general breakdown of the costs associated with over denture implants:

Item Cost Range
Consultation $100 - $300
Implant Placement (per implant) $1,500 - $3,000
Denture Fabrication $500 - $2,000
Follow-Up Care $100 - $500

Comparing Over Denture Implants to Traditional Dentures

When considering over denture implants, it is helpful to compare them to traditional dentures to understand the differences and benefits. Here is a comparison of the two options:

Feature Over Denture Implants Traditional Dentures
Stability High Low
Comfort High Moderate
Chewing Ability Excellent Limited
Speech Clear May be affected
Bone Preservation Yes No
Cost Higher Lower

While traditional dentures are a more affordable option, over denture implants offer superior stability, comfort, and functionality. The decision between the two should be based on individual needs, preferences, and budget.

Patient Testimonials

Many patients who have undergone over denture implant procedures have reported significant improvements in their quality of life. Here are some testimonials from satisfied patients:

  • "I can finally eat all the foods I love without worrying about my dentures slipping. Over denture implants have made a huge difference in my life."
  • "The stability and comfort of my over denture implants have given me the confidence to smile and speak clearly. I wish I had done this sooner!"
  • "I was hesitant about the cost, but the benefits of over denture implants have been well worth it. I highly recommend this procedure to anyone considering dentures."

These testimonials highlight the positive impact that over denture implants can have on a patient's life, providing a more secure and comfortable solution for tooth replacement.

Over denture implants have transformed the way we approach tooth replacement, offering a stable and comfortable alternative to traditional dentures. By combining the benefits of dental implants with the convenience of dentures, over denture implants provide a solution that enhances both functionality and quality of life. Whether you are considering over denture implants for yourself or a loved one, understanding the procedure, benefits, and care involved can help you make an informed decision. With proper care and maintenance, over denture implants can provide a long-lasting and effective solution for tooth replacement, allowing you to enjoy a healthier, more confident smile.

Related Terms:

  • replacement for overdentures
  • implant overdenture protocol
  • overdenture pictures and cost
  • implant supported overdenture
  • steps for implant overdenture
  • fixed over dentures vs implants
Facebook Twitter WhatsApp
Related Posts
Don't Miss