Learning

Ovarian Suspensory Ligament

Ovarian Suspensory Ligament
Ovarian Suspensory Ligament

The Ovarian Suspensory Ligament, also known as the infundibulopelvic ligament, is a crucial structure in the female reproductive system. It plays a significant role in supporting the ovaries and maintaining their position within the pelvic cavity. Understanding the anatomy, function, and clinical significance of the Ovarian Suspensory Ligament is essential for healthcare professionals and individuals interested in women's health.

Anatomy of the Ovarian Suspensory Ligament

The Ovarian Suspensory Ligament is a fibrous band that extends from the lateral aspect of the ovary to the pelvic sidewall. It is composed of connective tissue and contains blood vessels, lymphatics, and nerves that supply the ovary. The ligament is part of the broad ligament, a complex structure that supports the uterus, fallopian tubes, and ovaries.

The Ovarian Suspensory Ligament can be divided into two main parts:

  • Ovarian Artery and Vein: These vessels run through the ligament and provide blood supply to the ovary.
  • Nerves: The ligament also contains autonomic nerves that innervate the ovary.

Function of the Ovarian Suspensory Ligament

The primary function of the Ovarian Suspensory Ligament is to provide structural support to the ovary. It helps to maintain the ovary's position within the pelvic cavity, preventing it from descending or becoming displaced. Additionally, the ligament contains vital blood vessels and nerves that are essential for the ovary's function and health.

The Ovarian Suspensory Ligament plays a crucial role in the following processes:

  • Ovulation: The ligament helps to stabilize the ovary during ovulation, ensuring that the released egg can be captured by the fallopian tube.
  • Hormone Production: The blood vessels within the ligament supply the ovary with nutrients and hormones necessary for its endocrine function.
  • Lymphatic Drainage: The ligament contains lymphatics that drain fluid from the ovary, helping to maintain its health and function.

Clinical Significance of the Ovarian Suspensory Ligament

The Ovarian Suspensory Ligament is clinically significant in various medical conditions and procedures. Understanding its role is essential for diagnosing and treating disorders of the female reproductive system.

Ovarian Torsion

Ovarian torsion is a medical emergency that occurs when the ovary twists on its ligamentous support, cutting off its blood supply. This condition can cause severe pain and, if left untreated, can lead to ovarian necrosis. The Ovarian Suspensory Ligament is one of the structures involved in ovarian torsion, and its integrity is crucial for preventing this condition.

Ovarian Cancer

Ovarian cancer is a serious condition that can metastasize through the lymphatic system. The Ovarian Suspensory Ligament contains lymphatics that drain the ovary, making it a potential pathway for cancer spread. Understanding the lymphatic drainage of the ovary is essential for staging and treating ovarian cancer.

Surgical Procedures

The Ovarian Suspensory Ligament is often encountered during gynecological surgeries, such as oophorectomy (removal of the ovary) or salpingo-oophorectomy (removal of the fallopian tube and ovary). Surgeons must carefully dissect and ligate the ligament to prevent bleeding and ensure complete removal of the ovary.

Diagnostic Imaging of the Ovarian Suspensory Ligament

Diagnostic imaging plays a crucial role in evaluating the Ovarian Suspensory Ligament and the surrounding structures. Various imaging modalities can be used to visualize the ligament and assess its integrity.

Ultrasound

Transvaginal ultrasound is a commonly used imaging modality for evaluating the female reproductive system. It can provide detailed images of the ovaries, fallopian tubes, and surrounding structures, including the Ovarian Suspensory Ligament. Ultrasound can help detect abnormalities such as ovarian cysts, tumors, or torsion.

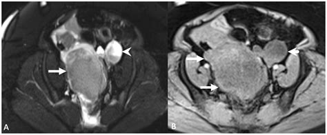
Magnetic Resonance Imaging (MRI)

MRI is a powerful imaging tool that provides high-resolution images of the pelvic structures. It can be used to evaluate the Ovarian Suspensory Ligament and detect abnormalities such as inflammation, tumors, or vascular compromise. MRI is particularly useful in cases of suspected ovarian torsion or cancer.

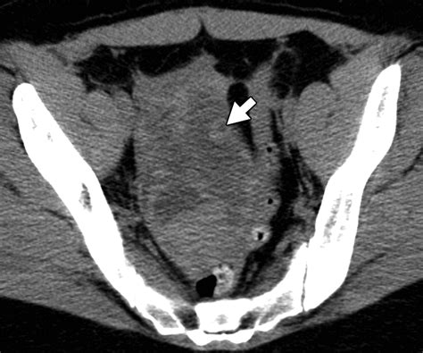
Computed Tomography (CT)

CT scans can also be used to evaluate the pelvic structures, including the Ovarian Suspensory Ligament. CT is particularly useful in emergency settings, where quick imaging is necessary to diagnose conditions such as ovarian torsion or rupture. However, CT scans involve radiation exposure, so they are typically used when other imaging modalities are not available or contraindicated.

Treatment and Management

Treatment and management of conditions involving the Ovarian Suspensory Ligament depend on the underlying cause and severity of the symptoms. Various approaches can be used to address these conditions, ranging from conservative management to surgical intervention.

Conservative Management

In some cases, conservative management may be sufficient to address conditions involving the Ovarian Suspensory Ligament. This may include:

  • Pain Management: Over-the-counter pain relievers or prescription medications can be used to manage pain associated with conditions such as ovarian cysts or inflammation.
  • Observation: In cases of small, asymptomatic ovarian cysts, observation may be sufficient. Regular follow-up imaging can be used to monitor the cyst’s size and characteristics.

Surgical Intervention

Surgical intervention may be necessary in cases of severe or life-threatening conditions involving the Ovarian Suspensory Ligament. Common surgical procedures include:

  • Oophorectomy: Removal of the ovary may be necessary in cases of ovarian torsion, severe infection, or cancer.
  • Salpingo-Oophorectomy: Removal of the fallopian tube and ovary may be necessary in cases of severe infection, cancer, or ectopic pregnancy.
  • Laparoscopy: Minimally invasive surgery can be used to diagnose and treat conditions involving the Ovarian Suspensory Ligament, such as ovarian cysts or torsion.

📌 Note: Surgical intervention should be performed by a qualified gynecological surgeon with experience in managing conditions involving the Ovarian Suspensory Ligament.

Prevention and Early Detection

Prevention and early detection of conditions involving the Ovarian Suspensory Ligament are crucial for maintaining women’s health. Regular gynecological check-ups and self-examinations can help detect abnormalities early, allowing for prompt intervention and treatment.

Regular Check-Ups

Regular gynecological check-ups are essential for maintaining women’s health. During these visits, healthcare providers can perform pelvic examinations, order imaging studies, and discuss any concerns or symptoms. Early detection of abnormalities can lead to prompt intervention and improved outcomes.

Self-Examinations

Self-examinations can help women become familiar with their bodies and detect any changes or abnormalities. Regular self-examinations can help identify symptoms such as pelvic pain, bloating, or changes in menstrual patterns, which may indicate underlying conditions involving the Ovarian Suspensory Ligament.

Risk Factors

Understanding the risk factors for conditions involving the Ovarian Suspensory Ligament can help individuals take proactive measures to maintain their health. Common risk factors include:

  • Family History: A family history of ovarian cancer or other gynecological conditions can increase the risk of developing similar conditions.
  • Age: The risk of ovarian cancer and other gynecological conditions increases with age.
  • Hormonal Factors: Hormonal imbalances or conditions such as polycystic ovary syndrome (PCOS) can increase the risk of ovarian cysts and other abnormalities.

📌 Note: Individuals with risk factors for conditions involving the Ovarian Suspensory Ligament should discuss their concerns with a healthcare provider and undergo regular screening and monitoring.

Research and Future Directions

Ongoing research is essential for advancing our understanding of the Ovarian Suspensory Ligament and improving the diagnosis and treatment of related conditions. Future directions in research may include:

Advanced Imaging Techniques

Advanced imaging techniques, such as functional MRI or molecular imaging, can provide detailed information about the Ovarian Suspensory Ligament and its surrounding structures. These techniques can help detect abnormalities early and guide treatment decisions.

Genetic Studies

Genetic studies can help identify individuals at high risk for conditions involving the Ovarian Suspensory Ligament, such as ovarian cancer. Understanding the genetic basis of these conditions can lead to the development of targeted therapies and preventive strategies.

Minimally Invasive Surgical Techniques

Minimally invasive surgical techniques, such as robotic-assisted surgery, can improve outcomes and reduce recovery time for patients undergoing procedures involving the Ovarian Suspensory Ligament. Ongoing research is needed to develop and refine these techniques.

Conclusion

The Ovarian Suspensory Ligament plays a crucial role in supporting the ovary and maintaining its position within the pelvic cavity. Understanding its anatomy, function, and clinical significance is essential for diagnosing and treating conditions involving the female reproductive system. Regular check-ups, self-examinations, and awareness of risk factors can help prevent and detect abnormalities early, leading to improved outcomes. Ongoing research is needed to advance our understanding of the Ovarian Suspensory Ligament and develop new diagnostic and treatment strategies.

Related Terms:

  • suspensory ligament female reproductive
  • suspensory ligament of ovary female
  • other name for infundibulopelvic ligament
  • are ovaries supported by ligaments
  • ligaments in female reproductive system
  • holds ovary to pelvic wall
Facebook Twitter WhatsApp
Related Posts
Don't Miss