Learning

Ovarian Cyst While Pregnant

Ovarian Cyst While Pregnant
Ovarian Cyst While Pregnant

Pregnancy is a time of joy and anticipation, but it can also bring unexpected challenges. One such challenge is dealing with an ovarian cyst while pregnant. Ovarian cysts are fluid-filled sacs that form on or within the ovaries and can occur during pregnancy. While many ovarian cysts are harmless and resolve on their own, others may require medical attention. Understanding the types, symptoms, causes, and treatment options for ovarian cysts during pregnancy is crucial for ensuring the health and safety of both the mother and the baby.

Understanding Ovarian Cysts

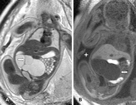
Ovarian cysts are common in women of reproductive age and can occur during pregnancy. These cysts can be classified into different types based on their origin and characteristics. The most common types of ovarian cysts include:

  • Follicular Cysts: These cysts form when a follicle (a small sac in the ovary that contains an egg) does not release an egg during ovulation and continues to grow.
  • Corpus Luteum Cysts: These cysts develop after an egg is released and the follicle transforms into the corpus luteum, which produces hormones to support early pregnancy.
  • Dermoid Cysts: These cysts contain various types of tissue, such as hair, skin, and teeth, and are typically benign but can cause complications if they rupture.
  • Endometriomas: These cysts are associated with endometriosis, a condition where tissue similar to the lining of the uterus grows outside the uterus.
  • Cystadenomas: These cysts are filled with fluid or mucus and can be either benign or malignant.

Symptoms of Ovarian Cysts During Pregnancy

Many ovarian cysts during pregnancy do not cause any symptoms and are discovered incidentally during routine prenatal ultrasounds. However, some women may experience the following symptoms:

  • Pelvic pain or discomfort, which may be sharp or dull and can occur on one side of the pelvis.
  • Abdominal bloating or swelling.
  • Pain during intercourse.
  • Difficulty emptying the bladder or frequent urination.
  • Nausea or vomiting.
  • Irregular menstrual bleeding (although this is less common during pregnancy).

If you experience severe abdominal pain, fever, rapid heart rate, or fainting, seek immediate medical attention, as these symptoms may indicate a ruptured cyst or other serious condition.

Causes of Ovarian Cysts During Pregnancy

The exact cause of ovarian cysts during pregnancy is not always clear, but several factors can contribute to their development:

  • Hormonal Changes: The hormonal fluctuations that occur during pregnancy can stimulate the growth of ovarian cysts.
  • Ovulation: The process of ovulation, which involves the release of an egg from the ovary, can sometimes lead to the formation of cysts.
  • Endometriosis: Women with endometriosis are at a higher risk of developing ovarian cysts, particularly endometriomas.
  • Polycystic Ovary Syndrome (PCOS): Women with PCOS may have multiple small cysts on their ovaries, which can persist during pregnancy.

Diagnosing Ovarian Cysts During Pregnancy

Diagnosing ovarian cysts during pregnancy typically involves a combination of medical history, physical examination, and imaging tests. Your healthcare provider may perform the following:

  • Pelvic Exam: A physical examination of the pelvic area to check for any abnormalities or tenderness.
  • Ultrasound: An imaging test that uses sound waves to create pictures of the internal structures, including the ovaries. Transvaginal ultrasounds are generally avoided during pregnancy, so transabdominal ultrasounds are typically used.
  • Blood Tests: Blood tests may be ordered to check hormone levels and rule out other conditions.

Treatment Options for Ovarian Cysts During Pregnancy

The treatment for ovarian cysts during pregnancy depends on the type, size, and symptoms of the cyst, as well as the stage of pregnancy. In many cases, ovarian cysts resolve on their own without any intervention. However, if the cyst is causing symptoms or there is a concern about its nature, your healthcare provider may recommend one of the following treatment options:

  • Watchful Waiting: Close monitoring of the cyst through regular ultrasounds to ensure it is not growing or causing complications.
  • Medication: In some cases, medication may be prescribed to manage symptoms or shrink the cyst. However, the use of medication during pregnancy must be carefully considered to avoid any potential risks to the developing fetus.
  • Surgery: Surgical intervention may be necessary if the cyst is large, causing severe symptoms, or suspected to be malignant. Surgery during pregnancy is typically performed laparoscopically to minimize risks to the mother and baby. The timing of surgery will depend on the gestational age and the specific circumstances of the case.

Risks and Complications

While many ovarian cysts during pregnancy are benign and resolve on their own, there are potential risks and complications to be aware of:

  • Rupture: A ruptured cyst can cause sudden, severe abdominal pain and may lead to internal bleeding.
  • Torsion: Ovarian torsion occurs when the ovary twists on its ligament, cutting off blood supply. This is a medical emergency that requires immediate surgical intervention.
  • Infection: An infected cyst can cause fever, pain, and other symptoms and may require antibiotic treatment.
  • Malignancy: Although rare, some ovarian cysts can be cancerous. Regular monitoring and follow-up are essential to rule out this possibility.

If you experience any of the following symptoms, seek immediate medical attention:

  • Severe abdominal pain.
  • Fever or chills.
  • Rapid heart rate.
  • Fainting or dizziness.
  • Vaginal bleeding.

Preventing Ovarian Cysts During Pregnancy

While it is not always possible to prevent ovarian cysts during pregnancy, there are some steps you can take to reduce your risk:

  • Maintain a healthy weight through a balanced diet and regular exercise.
  • Manage any underlying conditions, such as PCOS or endometriosis, with the guidance of your healthcare provider.
  • Attend all prenatal appointments and follow your healthcare provider's recommendations for monitoring and care.

Regular prenatal check-ups and ultrasounds can help detect ovarian cysts early, allowing for prompt treatment and management.

📝 Note: Always consult your healthcare provider for personalized advice and treatment options tailored to your specific situation.

When to Seek Medical Attention

If you are experiencing symptoms that may indicate an ovarian cyst while pregnant, it is important to seek medical attention promptly. Early detection and management can help prevent complications and ensure the health and safety of both the mother and the baby. Contact your healthcare provider if you experience any of the following:

  • Persistent pelvic pain or discomfort.
  • Abdominal bloating or swelling.
  • Pain during intercourse.
  • Difficulty emptying the bladder or frequent urination.
  • Nausea or vomiting.

If you experience severe symptoms such as sudden, sharp abdominal pain, fever, rapid heart rate, or fainting, seek immediate medical attention.

Support and Resources

Dealing with an ovarian cyst during pregnancy can be stressful and overwhelming. It is important to seek support from healthcare providers, family, and friends. Joining support groups or online communities can also provide valuable information and emotional support. Your healthcare provider can offer guidance and resources tailored to your specific needs and circumstances.

Regular communication with your healthcare provider is essential for managing ovarian cysts during pregnancy. Keep all appointments and follow the recommended treatment plan to ensure the best possible outcomes for both you and your baby.

Ovarian cysts during pregnancy can be a challenging condition to manage, but with proper care and monitoring, many women can have healthy pregnancies and deliveries. Understanding the types, symptoms, causes, and treatment options for ovarian cysts is crucial for ensuring the health and safety of both the mother and the baby. Regular prenatal check-ups, open communication with healthcare providers, and a proactive approach to managing symptoms can help prevent complications and promote a positive pregnancy experience.

Ovarian cysts during pregnancy are a common occurrence, but with the right information and support, women can navigate this challenge with confidence. By staying informed, seeking medical attention when needed, and following the guidance of healthcare providers, women can ensure the best possible outcomes for themselves and their babies.

Related Terms:

  • 6 cm cyst on ovary
  • cyst during pregnancy first trimester
  • ruptured ovarian cyst in pregnancy
  • ovarian cyst during early pregnancy
  • large ovarian cyst during pregnancy
  • ovarian cyst early pregnancy symptoms
Facebook Twitter WhatsApp
Related Posts
Don't Miss