Learning

Osteochondritis Dissecans Ankle

Osteochondritis Dissecans Ankle
Osteochondritis Dissecans Ankle

Osteochondritis dissecans (OCD) is a condition that affects the joints, particularly the ankle, causing pain and limiting mobility. This condition occurs when a small piece of bone and cartilage within a joint loses blood supply, leading to the death of the bone tissue. This can result in the formation of loose fragments within the joint, causing significant discomfort and potential long-term damage. Understanding the causes, symptoms, diagnosis, and treatment options for Osteochondritis Dissecans Ankle is crucial for effective management and recovery.

Understanding Osteochondritis Dissecans Ankle

Osteochondritis Dissecans Ankle is a condition that primarily affects the talus, the bone that forms the ankle joint. The talus is a critical component of the ankle, providing stability and facilitating movement. When the blood supply to a portion of the talus is disrupted, the bone and cartilage in that area can die, leading to the formation of loose fragments. These fragments can cause pain, swelling, and limited mobility, making it difficult to perform daily activities.

Causes of Osteochondritis Dissecans Ankle

The exact cause of Osteochondritis Dissecans Ankle is not fully understood, but several factors are believed to contribute to its development:

  • Trauma: A sudden injury or repetitive stress on the ankle can disrupt the blood supply to the talus, leading to the condition.
  • Genetic Factors: Some individuals may be genetically predisposed to developing Osteochondritis Dissecans Ankle.
  • Overuse: Athletes and individuals who engage in high-impact activities, such as running or jumping, are at a higher risk of developing the condition due to the repetitive stress on the ankle.
  • Vascular Issues: Conditions that affect blood flow, such as peripheral artery disease, can increase the risk of Osteochondritis Dissecans Ankle.

Symptoms of Osteochondritis Dissecans Ankle

The symptoms of Osteochondritis Dissecans Ankle can vary depending on the severity of the condition. Common symptoms include:

  • Pain: Persistent pain in the ankle, which may worsen with activity.
  • Swelling: Inflammation and swelling around the ankle joint.
  • Stiffness: Limited range of motion and stiffness in the ankle.
  • Locking or Catching: A feeling of the ankle locking or catching during movement.
  • Instability: A sense of instability or weakness in the ankle.

These symptoms can significantly impact an individual's ability to perform daily activities and participate in sports or other physical activities.

Diagnosis of Osteochondritis Dissecans Ankle

Diagnosing Osteochondritis Dissecans Ankle involves a combination of physical examination, medical history, and imaging tests. The diagnostic process typically includes the following steps:

  • Medical History: The healthcare provider will ask about the patient's symptoms, medical history, and any recent injuries or activities that may have contributed to the condition.
  • Physical Examination: A thorough examination of the ankle will be conducted to assess pain, swelling, range of motion, and stability.
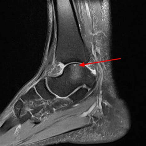
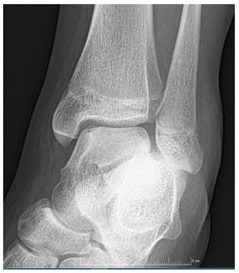
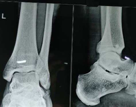
  • Imaging Tests: Imaging tests, such as X-rays, MRI, or CT scans, are used to visualize the bone and cartilage within the ankle joint. These tests can help identify the location and extent of the lesion.

Imaging tests are particularly important in diagnosing Osteochondritis Dissecans Ankle, as they can provide detailed information about the condition of the bone and cartilage.

Treatment Options for Osteochondritis Dissecans Ankle

The treatment of Osteochondritis Dissecans Ankle depends on the severity of the condition, the patient's age, and their overall health. Treatment options range from conservative measures to surgical interventions. The primary goal of treatment is to relieve pain, restore mobility, and prevent further damage to the joint.

Conservative Treatment

Conservative treatment options are often the first line of defense against Osteochondritis Dissecans Ankle. These may include:

  • Rest: Avoiding activities that exacerbate symptoms and allowing the ankle to heal.
  • Ice: Applying ice to the affected area to reduce swelling and pain.
  • Compression: Using compression bandages or wraps to reduce swelling.
  • Elevation: Keeping the ankle elevated to reduce swelling.
  • Medications: Over-the-counter pain relievers, such as ibuprofen or naproxen, to manage pain and inflammation.
  • Physical Therapy: Exercises to improve range of motion, strength, and flexibility in the ankle.

Conservative treatment is often effective for mild to moderate cases of Osteochondritis Dissecans Ankle. However, if symptoms persist or worsen, surgical intervention may be necessary.

Surgical Treatment

Surgical treatment options are considered when conservative measures fail to provide relief or when the condition is severe. Surgical procedures for Osteochondritis Dissecans Ankle may include:

  • Arthroscopy: A minimally invasive procedure that allows the surgeon to visualize and repair the damaged area using a small camera and specialized instruments.
  • Drilling or Microfracture: Procedures that involve creating small holes in the bone to stimulate the growth of new cartilage.
  • Bone Grafting: Transplanting bone tissue from another part of the body to repair the damaged area.
  • Osteochondral Autograft Transplantation (OATS): A procedure that involves transplanting healthy bone and cartilage from another part of the body to the affected area.
  • Osteochondral Allograft Transplantation: A procedure that involves transplanting bone and cartilage from a donor to the affected area.

Surgical treatment options are typically reserved for severe cases of Osteochondritis Dissecans Ankle or when conservative measures have failed to provide relief.

📝 Note: The choice of surgical procedure depends on the severity of the condition, the patient's age, and their overall health. It is important to consult with a healthcare provider to determine the most appropriate treatment option.

Recovery and Rehabilitation

Recovery from Osteochondritis Dissecans Ankle, whether treated conservatively or surgically, requires a structured rehabilitation program. The rehabilitation process typically includes:

  • Pain Management: Using medications and other pain management techniques to control discomfort during the recovery process.
  • Physical Therapy: Exercises to improve range of motion, strength, and flexibility in the ankle.
  • Gradual Return to Activity: Slowly increasing activity levels as the ankle heals to prevent reinjury.
  • Bracing or Support: Using braces or other supportive devices to stabilize the ankle during the recovery process.

Rehabilitation is a critical component of the recovery process, as it helps to restore mobility, strength, and function to the ankle. Working closely with a healthcare provider and physical therapist can ensure a successful recovery.

Prevention of Osteochondritis Dissecans Ankle

While it may not be possible to prevent Osteochondritis Dissecans Ankle entirely, there are several steps that can be taken to reduce the risk of developing the condition:

  • Proper Warm-Up and Cool-Down: Engaging in a proper warm-up and cool-down routine before and after physical activity can help prevent injuries.
  • Gradual Increase in Activity: Gradually increasing the intensity and duration of physical activity can help prevent overuse injuries.
  • Strengthening Exercises: Incorporating strengthening exercises into a regular fitness routine can help improve the stability and strength of the ankle.
  • Proper Footwear: Wearing supportive and well-fitting footwear can help reduce the risk of ankle injuries.
  • Avoiding High-Impact Activities: Limiting participation in high-impact activities, such as running or jumping, can help reduce the risk of developing Osteochondritis Dissecans Ankle.

Taking these preventive measures can help reduce the risk of developing Osteochondritis Dissecans Ankle and promote overall ankle health.

Living with Osteochondritis Dissecans Ankle

Living with Osteochondritis Dissecans Ankle can be challenging, but with proper management and treatment, many individuals are able to lead active and fulfilling lives. It is important to work closely with a healthcare provider to develop a personalized treatment plan that addresses the unique needs and goals of the individual. Regular follow-up appointments and adherence to the treatment plan can help ensure a successful outcome and improve overall quality of life.

Osteochondritis Dissecans Ankle is a condition that requires ongoing management and care. By understanding the causes, symptoms, diagnosis, and treatment options, individuals can take proactive steps to manage the condition and improve their overall well-being.

Osteochondritis Dissecans Ankle is a complex condition that affects the ankle joint, causing pain, swelling, and limited mobility. Understanding the causes, symptoms, diagnosis, and treatment options is crucial for effective management and recovery. By working closely with a healthcare provider and following a structured rehabilitation program, individuals can improve their overall quality of life and return to their daily activities with confidence.

Related Terms:

  • osteochondritis dissecans ankle surgery
  • osteochondritis dissecans in adult ankle
  • osteochondritis dissecans left ankle
  • osteochondritis dissecans right ankle
  • symptoms of osteochondritis dissecans
  • causes of osteochondritis dissecans
Facebook Twitter WhatsApp
Related Posts
Don't Miss