Learning

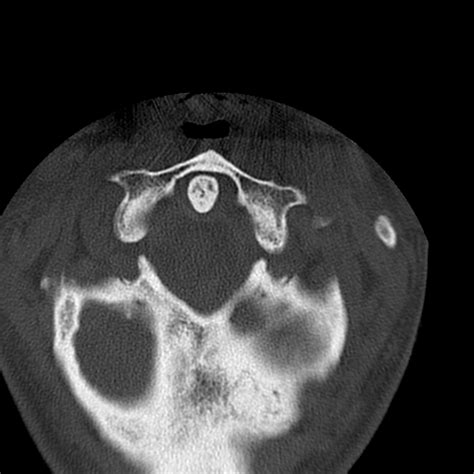
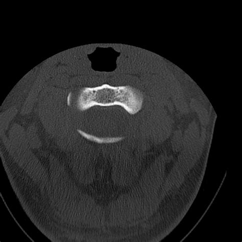
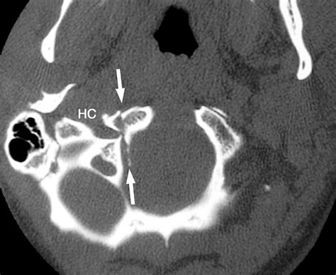
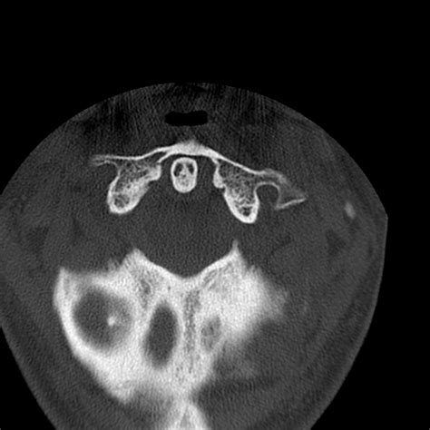
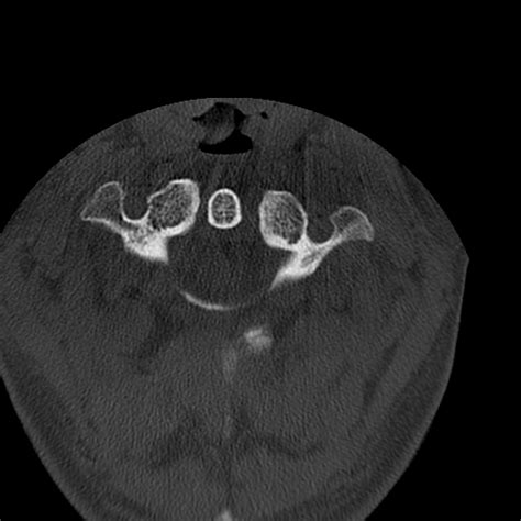
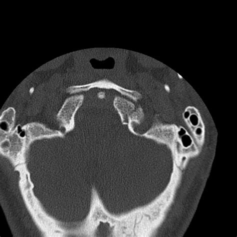
Occipital Condyle Fracture

Occipital Condyle Fracture
Occipital Condyle Fracture

An *Occipital Condyle Fracture* is a serious injury that involves a break in the occipital condyles, which are the bony protrusions at the base of the skull where it connects to the first cervical vertebra (C1). This type of fracture is relatively rare but can have significant implications for the patient's health and quality of life. Understanding the causes, symptoms, diagnosis, and treatment options for an occipital condyle fracture is crucial for healthcare professionals and patients alike.

Causes of Occipital Condyle Fracture

Occipital condyle fractures typically result from high-energy trauma, such as:

  • Motor vehicle accidents
  • Falls from significant heights
  • Sports-related injuries
  • Assaults or other forms of blunt force trauma

These injuries often occur in conjunction with other severe injuries, such as traumatic brain injuries or cervical spine fractures, making them part of a complex trauma scenario.

Symptoms of Occipital Condyle Fracture

The symptoms of an occipital condyle fracture can vary widely depending on the severity of the injury and the presence of associated injuries. Common symptoms include:

  • Severe neck pain
  • Headache
  • Neck stiffness
  • Difficulty moving the neck
  • Numbness or weakness in the arms or legs
  • Loss of consciousness
  • Dizziness or vertigo

In some cases, patients may also experience neurological symptoms such as difficulty swallowing, speaking, or breathing, which can indicate involvement of the cranial nerves.

Diagnosis of Occipital Condyle Fracture

Diagnosing an occipital condyle fracture requires a thorough clinical evaluation and advanced imaging techniques. The diagnostic process typically involves the following steps:

  • Clinical Examination: A detailed neurological and physical examination to assess the extent of the injury and any associated symptoms.
  • Imaging Studies:
    • Computed Tomography (CT) Scan: This is the gold standard for diagnosing occipital condyle fractures. CT scans provide detailed images of the bony structures and can help identify the location and extent of the fracture.
    • Magnetic Resonance Imaging (MRI): MRI may be used to assess soft tissue injuries and evaluate the spinal cord and surrounding structures.

In some cases, additional imaging studies such as angiography may be required to assess the integrity of the blood vessels in the area.

Classification of Occipital Condyle Fractures

Occipital condyle fractures are classified based on their pattern and mechanism of injury. The most commonly used classification system is the Anderson and Montesano classification, which categorizes these fractures into three types:

Type Description Mechanism of Injury
Type I Compression fracture of the occipital condyle Axial loading with compression
Type II Basilar skull fracture extending into the occipital condyle Lateral mass displacement
Type III Avulsion fracture of the occipital condyle Altered rotational forces

Understanding the type of fracture is essential for determining the appropriate treatment plan.

Treatment Options for Occipital Condyle Fracture

The treatment of an occipital condyle fracture depends on the type and severity of the fracture, as well as the presence of associated injuries. Treatment options can be broadly categorized into non-surgical and surgical approaches.

Non-Surgical Treatment

Non-surgical treatment is often the first line of management for stable occipital condyle fractures. This approach typically involves:

  • Immobilization: Use of a cervical collar or halo vest to stabilize the neck and prevent further injury.
  • Pain Management: Medications to manage pain and inflammation.
  • Physical Therapy: Exercises to improve neck mobility and strength once the fracture has healed.

Non-surgical treatment is generally recommended for Type I and some Type II fractures that are stable and do not involve significant displacement.

Surgical Treatment

Surgical intervention may be necessary for unstable or displaced occipital condyle fractures, particularly Type II and Type III fractures. Surgical options include:

  • Open Reduction and Internal Fixation (ORIF): This procedure involves realigning the fractured bone and securing it with plates, screws, or wires.
  • Occipital-Cervical Fusion: In severe cases, fusion of the occipital bone to the cervical spine may be required to stabilize the area and prevent further injury.

Surgical treatment aims to restore the alignment of the occipital condyles, stabilize the cervical spine, and prevent long-term complications such as chronic pain or neurological deficits.

📝 Note: The decision to pursue surgical treatment should be made in consultation with a neurosurgeon or orthopedic surgeon experienced in managing complex spinal injuries.

Complications of Occipital Condyle Fracture

Occipital condyle fractures can lead to several complications, including:

  • Neurological Deficits: Injury to the cranial nerves or spinal cord can result in weakness, numbness, or paralysis.
  • Chronic Pain: Persistent neck pain and headaches can significantly impact the patient’s quality of life.
  • Instability: Instability of the cervical spine can lead to further injury or deformity.
  • Infection: Surgical treatment carries a risk of infection, which can complicate the healing process.

Early diagnosis and appropriate management are crucial for minimizing these complications and improving outcomes.

Recovery and Rehabilitation

Recovery from an occipital condyle fracture can be a lengthy process, depending on the severity of the injury and the treatment approach. Rehabilitation typically involves:

  • Pain Management: Continued use of medications to manage pain and inflammation.
  • Physical Therapy: Exercises to improve neck mobility, strength, and flexibility.
  • Occupational Therapy: Assistance with activities of daily living and return to work or school.
  • Follow-Up Care: Regular follow-up appointments with the healthcare team to monitor progress and adjust the treatment plan as needed.

Patients should be encouraged to follow their rehabilitation plan closely and communicate any concerns or complications to their healthcare provider.

📝 Note: The recovery process can be challenging, and patients may experience setbacks. It is important to maintain a positive attitude and seek support from family, friends, and healthcare professionals.

Prevention of Occipital Condyle Fracture

Preventing occipital condyle fractures involves reducing the risk of high-energy trauma. Some preventive measures include:

  • Wearing Seatbelts: Always wear a seatbelt while driving or riding in a vehicle.
  • Using Protective Gear: Wear appropriate protective gear during sports and recreational activities.
  • Fall Prevention: Implement fall prevention strategies, especially for elderly individuals or those with balance issues.
  • Safe Driving Practices: Avoid distracted driving, speeding, and driving under the influence of alcohol or drugs.

While not all occipital condyle fractures can be prevented, taking these precautions can significantly reduce the risk of such injuries.

In summary, an Occipital Condyle Fracture is a serious injury that requires prompt diagnosis and appropriate management. Understanding the causes, symptoms, diagnosis, and treatment options is essential for healthcare professionals and patients alike. Early intervention and comprehensive rehabilitation can improve outcomes and minimize complications, allowing patients to return to their daily activities with a better quality of life.

Related Terms:

  • occipital calvarial fracture
  • occipital condyle fracture classification
  • nondisplaced occipital condyle fracture
  • occipital condyle fracture management
  • occipital condyle on ct scan
  • occipital condyle fracture type
Facebook Twitter WhatsApp
Related Posts
Don't Miss