Learning

Nuss Surgery Pectus Excavatum

Nuss Surgery Pectus Excavatum
Nuss Surgery Pectus Excavatum

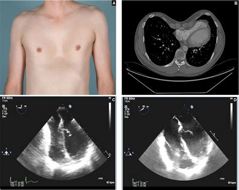
Pectus excavatum, a condition characterized by a concave or sunken chest, can significantly impact an individual's quality of life. This condition, often present from birth, can cause various physical and psychological issues. One of the most effective treatments for pectus excavatum is the Nuss Surgery Pectus Excavatum procedure. This minimally invasive surgery has revolutionized the treatment of this condition, offering patients a chance to improve their chest appearance and respiratory function.

Understanding Pectus Excavatum

Pectus excavatum is a congenital deformity where the sternum and rib cage grow abnormally, causing the chest to cave in. This condition can vary in severity, with some individuals experiencing mild symptoms while others face significant health issues. Common symptoms include:

  • Shortness of breath, especially during physical activity
  • Chest pain
  • Rapid heart rate
  • Fatigue
  • Reduced exercise tolerance
  • Self-consciousness and psychological distress due to the appearance of the chest

While mild cases may not require treatment, severe cases can benefit greatly from surgical intervention. The Nuss Surgery Pectus Excavatum procedure is one of the most commonly performed surgeries for this condition.

What is Nuss Surgery?

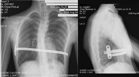
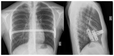
The Nuss Surgery Pectus Excavatum procedure, also known as the Nuss procedure, is a minimally invasive surgical technique developed by Dr. Donald Nuss. This procedure involves the insertion of a concave metal bar behind the sternum to gradually push it outward, correcting the concave shape of the chest. The surgery is typically performed on adolescents and young adults, as the chest is still growing and more malleable.

The Nuss Surgery Procedure

The Nuss Surgery Pectus Excavatum procedure is generally performed under general anesthesia. The steps involved in the surgery are as follows:

  • Incision: A small incision is made on the side of the chest.
  • Bar Insertion: A curved metal bar is inserted behind the sternum through the incision.
  • Bar Flipping: The bar is then flipped, so the convex side faces the sternum, gradually pushing it outward.
  • Closure: The incision is closed with sutures, and the bar is secured in place.

The entire procedure typically takes about one to two hours. Patients usually stay in the hospital for a few days post-surgery for monitoring and pain management.

Recovery and Post-Operative Care

Recovery from Nuss Surgery Pectus Excavatum varies from patient to patient, but generally, the following steps are involved:

  • Immediate Post-Operative Care: Patients are closely monitored for any complications such as bleeding, infection, or pneumothorax (collapsed lung). Pain management is a crucial aspect of immediate post-operative care.
  • Activity Restrictions: Patients are advised to avoid strenuous activities and heavy lifting for several weeks to allow the chest to heal properly.
  • Follow-Up Visits: Regular follow-up visits with the surgeon are essential to monitor the progress of the correction and ensure the bar is in the correct position.
  • Bar Removal: The metal bar is typically left in place for 2 to 4 years, allowing the chest to grow and maintain its corrected shape. Once the chest has stabilized, the bar is removed in a separate outpatient procedure.

During the recovery period, patients may experience some discomfort and pain, which can be managed with medication. It is important to follow the surgeon's instructions carefully to ensure a smooth recovery.

๐Ÿ“ Note: Patients should avoid contact sports and activities that could cause injury to the chest during the recovery period.

Benefits of Nuss Surgery

The Nuss Surgery Pectus Excavatum procedure offers several benefits, including:

  • Improved Chest Appearance: The primary benefit is the correction of the concave chest, leading to a more aesthetically pleasing appearance.
  • Enhanced Respiratory Function: By correcting the chest shape, the procedure can improve lung capacity and respiratory function, reducing symptoms such as shortness of breath and fatigue.
  • Psychological Benefits: Many patients experience improved self-esteem and confidence after the surgery, as the corrected chest appearance can alleviate psychological distress.
  • Minimally Invasive: Compared to traditional open chest surgeries, the Nuss procedure is less invasive, resulting in shorter hospital stays and faster recovery times.

Overall, the Nuss Surgery Pectus Excavatum procedure has significantly improved the quality of life for many patients with pectus excavatum.

Risks and Complications

While the Nuss Surgery Pectus Excavatum procedure is generally safe, like any surgical procedure, it carries certain risks and potential complications. Some of the possible risks include:

  • Infection: There is a risk of infection at the incision site or around the bar.
  • Pneumothorax: A collapsed lung can occur during or after the surgery.
  • Bar Displacement: The bar may shift out of position, requiring additional surgery to correct.
  • Pain and Discomfort: Patients may experience significant pain and discomfort during the recovery period.
  • Bar Removal Complications: During the removal of the bar, there is a risk of complications such as bleeding or infection.

It is essential for patients to discuss these risks with their surgeon and understand the potential complications before undergoing the procedure.

Candidates for Nuss Surgery

Not all individuals with pectus excavatum are suitable candidates for the Nuss Surgery Pectus Excavatum procedure. The ideal candidates typically include:

  • Adolescents and Young Adults: The procedure is most effective when performed on individuals whose chest is still growing, usually between the ages of 8 and 21.
  • Severe Cases: Patients with severe pectus excavatum who experience significant symptoms and functional impairment.
  • Good Overall Health: Patients should be in good overall health to undergo surgery and recover effectively.

Patients should consult with a healthcare provider to determine if they are suitable candidates for the Nuss Surgery Pectus Excavatum procedure.

Alternative Treatments

While the Nuss Surgery Pectus Excavatum procedure is a popular and effective treatment, there are alternative options available for patients with pectus excavatum. Some of these alternatives include:

  • Ravitch Procedure: A more invasive open chest surgery that involves removing the abnormal cartilage and reshaping the sternum.
  • Dynamic Compression System: A non-surgical approach that uses a brace to gradually correct the chest shape over time.
  • Physical Therapy: Exercises and breathing techniques to improve respiratory function and chest mobility.

Each of these alternatives has its own set of benefits and drawbacks, and patients should discuss these options with their healthcare provider to determine the best course of treatment.

Long-Term Outcomes

The long-term outcomes of the Nuss Surgery Pectus Excavatum procedure are generally positive. Many patients experience significant improvements in chest appearance, respiratory function, and overall quality of life. However, it is important to note that individual results may vary, and some patients may require additional treatments or interventions to achieve optimal outcomes.

Regular follow-up visits with the surgeon are essential to monitor the progress of the correction and address any potential complications. Patients should also maintain a healthy lifestyle, including regular exercise and a balanced diet, to support their recovery and long-term health.

๐Ÿ“ Note: Patients should be aware that the results of the surgery may not be immediately visible, and it may take several months to a year for the full correction to be apparent.

Patient Testimonials

Many patients who have undergone the Nuss Surgery Pectus Excavatum procedure have shared their positive experiences and the significant improvements they have seen in their quality of life. Here are a few testimonials from patients who have benefited from the procedure:

Patient Name Age Outcome
John D. 16 John underwent the Nuss procedure at the age of 16 and has seen a significant improvement in his chest appearance and respiratory function. He is now more confident and active in sports.
Emily L. 18 Emily had the surgery at 18 and has experienced a dramatic change in her self-esteem. She no longer feels self-conscious about her chest and enjoys a more active lifestyle.
Michael R. 20 Michael underwent the procedure at 20 and has seen a remarkable improvement in his breathing and overall health. He is grateful for the positive impact the surgery has had on his life.

These testimonials highlight the transformative effects of the Nuss Surgery Pectus Excavatum procedure on patients' lives, offering hope and encouragement to those considering the surgery.

In conclusion, the Nuss Surgery Pectus Excavatum procedure has emerged as a highly effective and minimally invasive treatment for pectus excavatum. By correcting the concave chest shape, this surgery can significantly improve respiratory function, chest appearance, and overall quality of life. While the procedure carries certain risks and potential complications, the benefits often outweigh these concerns for many patients. Regular follow-up care and a healthy lifestyle are essential for achieving optimal long-term outcomes. Patients considering the Nuss Surgery Pectus Excavatum procedure should consult with their healthcare provider to determine if they are suitable candidates and to discuss the potential benefits and risks.

Related Terms:

  • nuss procedure for pectus excavatum
  • nuss bar procedure video
  • who does nuss procedures
  • nuss procedure operative technique
  • nuss procedure restrictions
  • pectus bar removal recovery time
Facebook Twitter WhatsApp
Related Posts
Don't Miss