Learning

Nrbc Blood Work

Nrbc Blood Work
Nrbc Blood Work

Understanding the intricacies of *Nrbc Blood Work* is crucial for anyone involved in medical diagnostics or healthcare. NRBC, or nucleated red blood cells, are immature red blood cells that typically do not have a nucleus in their mature form. The presence of NRBCs in the blood can indicate various underlying conditions, making *Nrbc Blood Work* an essential component of comprehensive blood analysis.

What are Nucleated Red Blood Cells (NRBCs)?

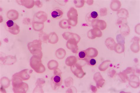
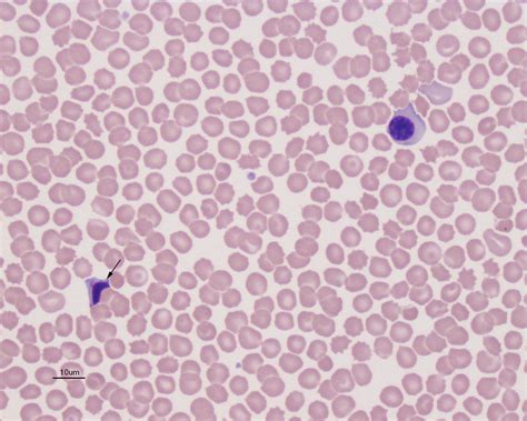
Nucleated red blood cells (NRBCs) are red blood cells that still contain a nucleus. In normal circumstances, red blood cells lose their nucleus as they mature. However, the presence of NRBCs in the bloodstream can be a sign of certain medical conditions. These cells are typically found in the bone marrow during the early stages of red blood cell development. When they appear in the peripheral blood, it often indicates a rapid production of red blood cells, which can be a response to conditions such as anemia, infections, or other hematological disorders.

Importance of NRBC Blood Work

NRBC blood work is a critical diagnostic tool used to assess the health of an individual's blood cells. The presence of NRBCs can provide valuable insights into the underlying causes of various medical conditions. For instance, an elevated NRBC count can indicate:

  • Anemia, particularly hemolytic anemia or aplastic anemia.
  • Infections, such as bacterial or viral infections.
  • Hematological malignancies, like leukemia.
  • Liver disease, which can affect red blood cell production.
  • Bone marrow disorders, including myelofibrosis.

By identifying the presence and quantity of NRBCs, healthcare providers can make more informed decisions about treatment and management strategies.

How NRBC Blood Work is Performed

NRBC blood work involves a series of steps to accurately measure the number of nucleated red blood cells in a blood sample. The process typically includes the following:

  • Blood Collection: A small sample of blood is drawn from a vein, usually from the arm.
  • Sample Preparation: The blood sample is prepared for analysis, which may involve staining the cells to make them more visible under a microscope.
  • Microscopic Examination: A trained laboratory technician examines the blood smear under a microscope to count the number of NRBCs.
  • Automated Analysis: In some cases, automated blood analyzers can be used to count NRBCs, providing a more efficient and accurate measurement.

The results of *Nrbc Blood Work* are typically reported as the number of NRBCs per 100 white blood cells. This ratio helps healthcare providers interpret the significance of the findings in the context of the patient's overall health.

📝 Note: The normal range for NRBCs in adults is typically less than 0.5 per 100 white blood cells. Higher counts may indicate an underlying condition that requires further investigation.

Interpreting NRBC Blood Work Results

Interpreting the results of *Nrbc Blood Work* requires a thorough understanding of the patient's medical history and other laboratory findings. Here are some key points to consider:

  • Elevated NRBC Count: An elevated NRBC count can indicate a rapid production of red blood cells, which may be a response to anemia, infections, or other hematological disorders.
  • Normal NRBC Count: A normal NRBC count suggests that the bone marrow is functioning properly and that there is no significant stress on the red blood cell production system.
  • Low NRBC Count: A low NRBC count is less common but can occur in certain conditions, such as bone marrow failure or severe infections.

It is essential to correlate the NRBC count with other laboratory findings, such as hemoglobin levels, hematocrit, and white blood cell counts, to gain a comprehensive understanding of the patient's condition.

Common Conditions Associated with Elevated NRBC Counts

Several conditions can lead to an elevated NRBC count. Understanding these conditions can help healthcare providers make more accurate diagnoses and develop appropriate treatment plans. Some of the most common conditions associated with elevated NRBC counts include:

  • Anemia: Conditions such as hemolytic anemia, aplastic anemia, and iron deficiency anemia can stimulate the bone marrow to produce more red blood cells, leading to an increased NRBC count.
  • Infections: Bacterial and viral infections can cause the body to produce more red blood cells as part of the immune response, resulting in an elevated NRBC count.
  • Hematological Malignancies: Conditions like leukemia and myelodysplastic syndromes can affect the production of red blood cells, leading to an increased NRBC count.
  • Liver Disease: Liver disease can impair the production of red blood cells, leading to an increased NRBC count as the bone marrow attempts to compensate.
  • Bone Marrow Disorders: Conditions such as myelofibrosis and aplastic anemia can affect the bone marrow's ability to produce red blood cells, resulting in an elevated NRBC count.

In some cases, an elevated NRBC count may be a transient finding that resolves as the underlying condition improves. However, persistent elevation may require further investigation and treatment.

Diagnostic Value of NRBC Blood Work

The diagnostic value of *Nrbc Blood Work* lies in its ability to provide insights into the underlying causes of various medical conditions. By identifying the presence and quantity of NRBCs, healthcare providers can:

  • Differentiate between different types of anemia.
  • Monitor the response to treatment for hematological malignancies.
  • Assess the severity of infections and liver disease.
  • Evaluate the effectiveness of bone marrow transplantation.

NRBC blood work is often used in conjunction with other diagnostic tests, such as complete blood count (CBC), peripheral blood smear, and bone marrow biopsy, to provide a comprehensive assessment of the patient's condition.

Clinical Implications of NRBC Blood Work

The clinical implications of *Nrbc Blood Work* are significant, as the findings can guide treatment decisions and improve patient outcomes. For example:

  • In cases of anemia, identifying the presence of NRBCs can help determine the underlying cause and guide appropriate treatment, such as iron supplementation or blood transfusions.
  • In infections, monitoring the NRBC count can provide insights into the severity of the infection and the effectiveness of treatment.
  • In hematological malignancies, NRBC blood work can help monitor the response to chemotherapy and other treatments.
  • In liver disease, NRBC blood work can provide information about the severity of the disease and the need for liver transplantation.

By incorporating NRBC blood work into the diagnostic and monitoring process, healthcare providers can make more informed decisions about patient care.

Challenges and Limitations of NRBC Blood Work

While *Nrbc Blood Work* is a valuable diagnostic tool, it is not without its challenges and limitations. Some of the key challenges include:

  • Variability in Results: The accuracy of NRBC blood work can be affected by factors such as sample handling, staining techniques, and the experience of the laboratory technician.
  • Interpretation Difficulties: Interpreting the results of NRBC blood work requires a thorough understanding of the patient's medical history and other laboratory findings, which can be challenging in complex cases.
  • Limited Sensitivity: NRBC blood work may not be sensitive enough to detect early stages of certain conditions, such as anemia or infections.

Despite these challenges, NRBC blood work remains an essential component of comprehensive blood analysis and can provide valuable insights into the underlying causes of various medical conditions.

📝 Note: It is important to correlate the results of NRBC blood work with other diagnostic tests and clinical findings to gain a comprehensive understanding of the patient's condition.

Future Directions in NRBC Blood Work

The field of *Nrbc Blood Work* continues to evolve, with advancements in technology and research leading to improved diagnostic capabilities. Some of the future directions in NRBC blood work include:

  • Automated Analysis: The development of automated blood analyzers can improve the accuracy and efficiency of NRBC blood work, reducing the variability associated with manual counting.
  • Molecular Diagnostics: The use of molecular diagnostic techniques, such as polymerase chain reaction (PCR) and next-generation sequencing (NGS), can provide more detailed information about the genetic and molecular characteristics of NRBCs.
  • Artificial Intelligence: The application of artificial intelligence (AI) and machine learning algorithms can enhance the interpretation of NRBC blood work results, providing more accurate and personalized diagnostic insights.

As these advancements continue to emerge, the diagnostic value of NRBC blood work is expected to increase, leading to improved patient outcomes and more effective treatment strategies.

In conclusion, Nrbc Blood Work is a critical diagnostic tool used to assess the health of an individual’s blood cells. By identifying the presence and quantity of nucleated red blood cells, healthcare providers can gain valuable insights into the underlying causes of various medical conditions. The diagnostic value of NRBC blood work lies in its ability to differentiate between different types of anemia, monitor the response to treatment for hematological malignancies, assess the severity of infections and liver disease, and evaluate the effectiveness of bone marrow transplantation. While there are challenges and limitations associated with NRBC blood work, its importance in comprehensive blood analysis cannot be overstated. As the field continues to evolve, advancements in technology and research are expected to enhance the diagnostic capabilities of NRBC blood work, leading to improved patient outcomes and more effective treatment strategies.

Related Terms:

  • nucleated rbc % low
  • what does nrbc auto mean
  • high nrbc levels in adults
  • nrbc blood test results explained
  • what is high nrbc levels
  • high nucleated rbc meaning
Facebook Twitter WhatsApp
Related Posts
Don't Miss