Learning

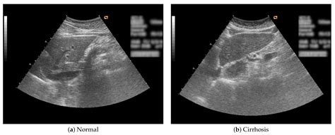
Normal Liver Ultrasound

Normal Liver Ultrasound
Normal Liver Ultrasound

Understanding the significance of a normal liver ultrasound is crucial for anyone concerned about their liver health. This non-invasive imaging technique provides valuable insights into the liver's structure and function, helping healthcare professionals diagnose and monitor various liver conditions. This blog post will delve into the details of a normal liver ultrasound, its importance, the procedure involved, and what the results mean for your health.

What is a Liver Ultrasound?

A liver ultrasound is a diagnostic imaging test that uses high-frequency sound waves to create detailed images of the liver. This procedure is commonly used to evaluate the liver’s size, shape, and internal structure. It can also detect abnormalities such as cysts, tumors, and fatty liver disease. The test is painless, non-invasive, and does not involve radiation, making it a safe option for patients of all ages.

Importance of a Normal Liver Ultrasound

A normal liver ultrasound is a reassuring indicator of good liver health. It confirms that the liver is functioning properly and free from any detectable abnormalities. Regular liver ultrasounds can help in the early detection of liver diseases, allowing for timely intervention and treatment. This is particularly important for individuals at risk of liver conditions, such as those with a family history of liver disease, obesity, or excessive alcohol consumption.

Preparing for a Liver Ultrasound

Preparation for a liver ultrasound is relatively straightforward. Here are some steps to follow:

  • Fast for Several Hours: Typically, patients are advised to fast for 8 to 12 hours before the procedure. This ensures that the gallbladder is filled with bile, making it easier to visualize.
  • Hydrate: Drinking plenty of water before the test can help improve the quality of the images.
  • Wear Comfortable Clothing: Loose-fitting clothing that allows easy access to the abdomen is recommended.
  • Avoid Certain Medications: Some medications may interfere with the test results. Consult your healthcare provider for specific instructions.

The Liver Ultrasound Procedure

The liver ultrasound procedure is typically performed by a trained technician or radiologist. Here’s what to expect:

  • Positioning: The patient will lie on their back on an examination table. A gel is applied to the abdomen to enhance the transmission of sound waves.
  • Scanning: The technician will move a transducer (a handheld device) over the abdomen, emitting sound waves and capturing the reflected echoes to create images.
  • Duration: The procedure usually takes about 30 to 60 minutes, depending on the complexity of the examination.

Interpreting the Results

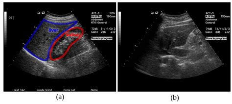
Interpreting the results of a liver ultrasound involves assessing the images for any abnormalities. A normal liver ultrasound will show:

  • Size and Shape: The liver should be of normal size and shape, with smooth edges.
  • Echogenicity: The liver tissue should have a uniform echogenicity, indicating a healthy structure.
  • Blood Flow: Normal blood flow through the liver and its vessels.
  • Absence of Abnormalities: No cysts, tumors, or other abnormalities should be present.

If the ultrasound reveals any abnormalities, further diagnostic tests may be recommended. These could include:

  • Blood Tests: To assess liver function and detect any underlying conditions.
  • CT Scan or MRI: For more detailed imaging of the liver and surrounding structures.
  • Biopsy: In some cases, a liver biopsy may be necessary to confirm a diagnosis.

📝 Note: Always consult with your healthcare provider to understand the specific implications of your ultrasound results and any recommended follow-up tests.

Common Findings in a Liver Ultrasound

While a normal liver ultrasound is the desired outcome, there are several common findings that may be detected during the procedure. These include:

  • Fatty Liver Disease: Excess fat accumulation in the liver, which can be benign or indicative of more serious conditions like non-alcoholic fatty liver disease (NAFLD).
  • Cysts: Fluid-filled sacs that can form in the liver. Most cysts are benign and do not require treatment.
  • Tumors: Abnormal growths that can be benign or malignant. Further testing is usually required to determine the nature of the tumor.
  • Hepatitis: Inflammation of the liver, often caused by viral infections or autoimmune disorders.
  • Cirrhosis: Advanced liver disease characterized by scarring and loss of liver function.

Benefits of a Liver Ultrasound

A liver ultrasound offers several benefits, making it a valuable diagnostic tool:

  • Non-Invasive: The procedure does not require any incisions or injections, making it a safe and comfortable option.
  • No Radiation: Unlike X-rays or CT scans, ultrasounds do not use ionizing radiation, reducing the risk of exposure.
  • Real-Time Imaging: Ultrasounds provide real-time images, allowing healthcare providers to observe the liver’s structure and function in motion.
  • Cost-Effective: Compared to other imaging techniques, liver ultrasounds are generally more affordable.
  • Versatile: Ultrasounds can be used to evaluate various liver conditions, from fatty liver disease to tumors.

Limitations of a Liver Ultrasound

While liver ultrasounds are highly useful, they do have some limitations:

  • Operator Dependency: The quality of the images depends on the skill and experience of the technician performing the ultrasound.
  • Limited Detail: Ultrasounds may not provide as much detail as other imaging techniques, such as CT scans or MRIs.
  • Obstruction by Gas or Bone: The presence of gas in the intestines or bone structures can obstruct the sound waves, making it difficult to obtain clear images.
  • Not Suitable for All Conditions: Some liver conditions, such as early-stage cirrhosis, may not be detectable on an ultrasound.

📝 Note: If you have any concerns about the limitations of a liver ultrasound, discuss them with your healthcare provider, who can recommend alternative or additional diagnostic tests.

When to Consider a Liver Ultrasound

A liver ultrasound may be recommended in various situations, including:

  • Routine Check-Ups: For individuals at risk of liver disease, such as those with a family history or lifestyle factors.
  • Symptoms of Liver Disease: If you experience symptoms such as abdominal pain, jaundice, or fatigue.
  • Monitoring Liver Conditions: For patients with known liver conditions, regular ultrasounds can help monitor progress and response to treatment.
  • Pre-Surgical Evaluation: Before certain surgeries, a liver ultrasound may be performed to assess liver health.

Maintaining Liver Health

Maintaining good liver health is essential for overall well-being. Here are some tips to keep your liver in optimal condition:

  • Healthy Diet: Consume a balanced diet rich in fruits, vegetables, whole grains, and lean proteins.
  • Limit Alcohol: Moderate alcohol consumption or avoid it altogether to reduce the risk of liver damage.
  • Stay Hydrated: Drink plenty of water to help the liver function efficiently.
  • Exercise Regularly: Regular physical activity can help maintain a healthy weight and reduce the risk of fatty liver disease.
  • Avoid Toxins: Limit exposure to environmental toxins and avoid medications that can harm the liver.
  • Regular Check-Ups: Schedule regular medical check-ups, including liver function tests and ultrasounds if recommended by your healthcare provider.

In addition to these general tips, it's important to be aware of specific risk factors that can affect liver health. These include:

  • Obesity: Excess weight can lead to fatty liver disease and other liver conditions.
  • Diabetes: High blood sugar levels can increase the risk of liver disease.
  • Viral Infections: Hepatitis B and C are viral infections that can cause liver damage.
  • Autoimmune Disorders: Conditions like autoimmune hepatitis can affect liver function.

📝 Note: If you have any of these risk factors, discuss them with your healthcare provider to develop a personalized plan for maintaining liver health.

Understanding Liver Function

The liver is a vital organ that performs numerous functions essential for life. Some of its key roles include:

  • Detoxification: The liver filters toxins from the blood, helping to eliminate harmful substances from the body.
  • Metabolism: It plays a crucial role in metabolizing nutrients, including carbohydrates, proteins, and fats.
  • Bile Production: The liver produces bile, which aids in the digestion of fats and the absorption of fat-soluble vitamins.
  • Blood Clotting: It produces proteins necessary for blood clotting, helping to prevent excessive bleeding.
  • Immune Function: The liver contains immune cells that help fight infections and maintain overall immune health.

Given the liver's critical functions, it's essential to monitor its health regularly. A normal liver ultrasound is a reliable indicator that the liver is functioning properly. However, if abnormalities are detected, prompt intervention can help prevent further damage and maintain liver health.

Liver Ultrasound vs. Other Imaging Techniques

While a liver ultrasound is a valuable diagnostic tool, other imaging techniques may be used depending on the specific needs of the patient. Here’s a comparison of liver ultrasound with other common imaging methods:

Imaging Technique Advantages Disadvantages
Liver Ultrasound Non-invasive, no radiation, real-time imaging, cost-effective Operator dependency, limited detail, obstruction by gas or bone
CT Scan Detailed images, can detect small abnormalities, useful for complex cases Exposure to radiation, more expensive, may require contrast dye
MRI High-resolution images, no radiation, can detect soft tissue abnormalities More expensive, longer scan time, may require contrast dye
Liver Biopsy Provides tissue samples for detailed analysis, can confirm diagnoses Invasive procedure, risk of complications, may not be necessary for all conditions

Each imaging technique has its own strengths and limitations. Your healthcare provider will recommend the most appropriate method based on your specific health needs and the suspected condition.

📝 Note: If you have any questions about the different imaging techniques, consult your healthcare provider for personalized advice.

In conclusion, a normal liver ultrasound is a reassuring sign of good liver health. This non-invasive procedure provides valuable insights into the liver’s structure and function, helping healthcare professionals diagnose and monitor various liver conditions. Regular liver ultrasounds, along with a healthy lifestyle, can help maintain optimal liver health and prevent potential complications. Understanding the importance of a normal liver ultrasound and taking proactive steps to care for your liver can significantly enhance your overall well-being.

Related Terms:

  • normal liver ultrasound pics
  • ultrasound scan for liver problems
  • normal liver ultrasound measurement
  • normal liver vs cirrhosis ultrasound
  • normal liver ultrasound appearance
Facebook Twitter WhatsApp
Related Posts
Don't Miss