Learning

Normal Ankle Xray

Normal Ankle Xray
Normal Ankle Xray

Understanding the significance of a Normal Ankle Xray is crucial for both medical professionals and patients. This diagnostic tool plays a pivotal role in assessing various conditions affecting the ankle joint, ranging from fractures to arthritis. By providing a clear view of the bones and surrounding structures, a Normal Ankle Xray helps in accurate diagnosis and effective treatment planning.

What is a Normal Ankle Xray?

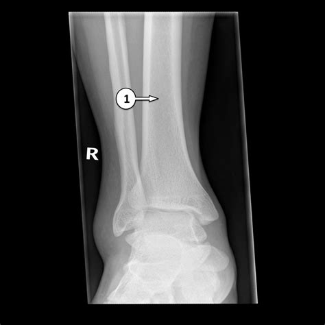
A Normal Ankle Xray is a radiographic image of the ankle joint that shows the bones, joints, and surrounding soft tissues. It is commonly used to diagnose fractures, dislocations, and other abnormalities in the ankle. The procedure is non-invasive and relatively quick, making it a preferred method for initial assessments.

Indications for a Normal Ankle Xray

There are several indications for ordering a Normal Ankle Xray. These include:

  • Suspected fractures or dislocations
  • Chronic ankle pain
  • Swelling or tenderness in the ankle
  • Assessment of joint alignment
  • Evaluation of bone health

Preparation for a Normal Ankle Xray

Preparing for a Normal Ankle Xray is straightforward. Patients are typically advised to:

  • Remove any jewelry or metal objects from the area to be imaged
  • Wear comfortable clothing that can be easily adjusted
  • Inform the technician about any recent surgeries or implants in the ankle

No special dietary restrictions or medications are usually required before the procedure.

Procedure for a Normal Ankle Xray

The procedure for a Normal Ankle Xray is simple and painless. Here are the steps involved:

  1. The patient is positioned on the X-ray table, and the ankle is placed in the correct position for imaging.
  2. The technician ensures that the ankle is properly aligned to capture clear images.
  3. Multiple images are taken from different angles to provide a comprehensive view of the ankle joint.
  4. The entire process usually takes about 10-15 minutes.

📌 Note: Patients may be asked to change positions or hold their breath briefly to ensure clear images.

Interpreting a Normal Ankle Xray

Interpreting a Normal Ankle Xray involves examining the images for any abnormalities. Key areas of focus include:

  • Bone density and structure
  • Joint spaces and alignment
  • Presence of fractures or dislocations
  • Soft tissue swelling or inflammation

Radiologists look for signs of fractures, such as breaks in the bone continuity, and assess the overall health of the ankle joint. Any deviations from the normal anatomy are noted and reported.

Common Findings in a Normal Ankle Xray

A Normal Ankle Xray typically shows the following structures clearly:

  • Tibia and fibula (the two bones of the lower leg)
  • Talus (the bone that forms the ankle joint)
  • Calcaneus (the heel bone)
  • Joint spaces and cartilage

In a normal X-ray, the bones should appear smooth and continuous, with no signs of fractures or dislocations. The joint spaces should be uniform, and there should be no evidence of bone spurs or other abnormalities.

Conditions Diagnosed with a Normal Ankle Xray

A Normal Ankle Xray can help diagnose a variety of conditions, including:

  • Fractures: Breaks in the bone, which may be simple or complex
  • Dislocations: Misalignment of the bones in the joint
  • Arthritis: Inflammation and degeneration of the joint
  • Bone spurs: Bony projections that can cause pain and limited mobility
  • Osteoporosis: A condition characterized by low bone density

By identifying these conditions early, appropriate treatment can be initiated to prevent further damage and improve outcomes.

Limitations of a Normal Ankle Xray

While a Normal Ankle Xray is a valuable diagnostic tool, it has certain limitations. These include:

  • Limited soft tissue visualization: X-rays primarily show bones and may not provide detailed information about soft tissues.
  • Radiation exposure: Although minimal, there is some radiation exposure involved.
  • Inability to detect early-stage arthritis: X-rays may not show early signs of arthritis until significant bone changes occur.

In some cases, additional imaging tests such as MRI or CT scans may be required for a more comprehensive evaluation.

Follow-Up Care After a Normal Ankle Xray

After a Normal Ankle Xray, follow-up care depends on the findings. If the X-ray shows no abnormalities, the patient may be advised to:

  • Rest the ankle and avoid activities that cause pain
  • Apply ice to reduce swelling
  • Use over-the-counter pain relievers
  • Follow up with a healthcare provider if symptoms persist

If abnormalities are detected, further evaluation and treatment may be necessary. This could include immobilization, physical therapy, or surgical intervention.

Preventive Measures for Ankle Injuries

Preventing ankle injuries is essential for maintaining overall foot health. Some preventive measures include:

  • Wearing appropriate footwear with good support
  • Stretching and strengthening exercises for the ankle
  • Avoiding high-impact activities that can strain the ankle
  • Using ankle braces or supports during physical activities

Regular check-ups and prompt attention to any ankle pain or swelling can also help prevent more serious injuries.

In summary, a Normal Ankle Xray is an essential diagnostic tool for evaluating ankle injuries and conditions. It provides valuable information about the bone structure and joint alignment, aiding in accurate diagnosis and effective treatment. Understanding the indications, preparation, procedure, and interpretation of a Normal Ankle Xray can help patients and healthcare providers make informed decisions about ankle health. Regular preventive measures and prompt medical attention can further ensure the well-being of the ankle joint.

Related Terms:

  • normal ankle x ray oblique
  • normal ankle x ray radiopaedia
  • normal ankle x ray child
  • normal foot x ray
  • normal ankle x ray ap
  • normal lateral ankle x ray
Facebook Twitter WhatsApp
Related Posts
Don't Miss