Learning

Non Obstructing Nephrolithiasis

Non Obstructing Nephrolithiasis
Non Obstructing Nephrolithiasis

Non-obstructing nephrolithiasis, commonly known as kidney stones, is a prevalent urological condition that affects millions of people worldwide. This condition occurs when hard deposits, typically composed of minerals and salts, form inside the kidneys. While many kidney stones pass through the urinary system without causing significant issues, some can lead to severe pain and complications. Understanding the causes, symptoms, diagnosis, and treatment options for non-obstructing nephrolithiasis is crucial for effective management and prevention.

Understanding Non-Obstructing Nephrolithiasis

Non-obstructing nephrolithiasis refers to kidney stones that do not block the urinary tract. These stones can vary in size and composition, with the most common types being calcium oxalate, calcium phosphate, uric acid, and struvite stones. The formation of these stones is influenced by several factors, including diet, hydration levels, and underlying medical conditions.

Causes of Non-Obstructing Nephrolithiasis

Several factors contribute to the development of non-obstructing nephrolithiasis. Some of the primary causes include:

  • Dehydration: Insufficient water intake can lead to concentrated urine, which increases the risk of stone formation.
  • Dietary Factors: A diet high in sodium, protein, and oxalate-rich foods can promote stone formation.
  • Medical Conditions: Certain medical conditions, such as hyperparathyroidism, gout, and inflammatory bowel disease, can increase the likelihood of developing kidney stones.
  • Family History: A family history of kidney stones can also increase the risk.
  • Medications: Some medications, including certain diuretics and calcium-based antacids, can contribute to stone formation.

Symptoms of Non-Obstructing Nephrolithiasis

Non-obstructing nephrolithiasis may not always cause symptoms, especially if the stones are small. However, when symptoms do occur, they can be quite painful. Common symptoms include:

  • Severe Pain: Often described as one of the most painful experiences, the pain can radiate from the flank to the groin.
  • Blood in Urine: Hematuria, or the presence of blood in the urine, is a common symptom.
  • Frequent Urination: The need to urinate more frequently than usual.
  • Urinary Tract Infections: Recurrent UTIs can be a sign of underlying kidney stones.
  • Nausea and Vomiting: These symptoms can accompany the severe pain.

Diagnosis of Non-Obstructing Nephrolithiasis

Diagnosing non-obstructing nephrolithiasis involves a combination of medical history, physical examination, and diagnostic tests. Common diagnostic methods include:

  • Urinalysis: A urine test to check for the presence of blood, bacteria, and crystals.
  • Blood Tests: To measure levels of calcium, phosphorus, and uric acid.
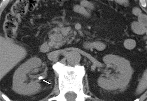
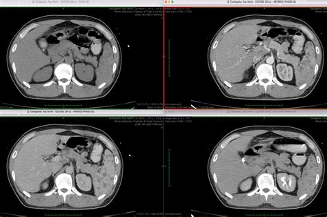
  • Imaging Tests: CT scans and ultrasounds are commonly used to visualize the stones and assess their size and location.
  • Intravenous Pyelogram (IVP): An X-ray test that uses contrast dye to visualize the urinary tract.

Treatment Options for Non-Obstructing Nephrolithiasis

The treatment of non-obstructing nephrolithiasis depends on the size, location, and composition of the stones, as well as the severity of symptoms. Treatment options include:

  • Hydration: Increasing fluid intake to help flush out the stones.
  • Pain Management: Over-the-counter pain relievers or prescription medications to manage pain.
  • Medications: Certain medications, such as alpha-blockers, can help relax the muscles in the urinary tract and facilitate the passage of stones.
  • Extracorporeal Shock Wave Lithotripsy (ESWL): A non-invasive procedure that uses shock waves to break up the stones into smaller pieces.
  • Ureteroscopy: A minimally invasive procedure that involves inserting a thin scope into the urethra to remove or break up the stones.
  • Percutaneous Nephrolithotomy (PCNL): A surgical procedure that involves making a small incision in the back to remove larger stones.

Prevention of Non-Obstructing Nephrolithiasis

Preventing the recurrence of non-obstructing nephrolithiasis involves lifestyle changes and medical interventions. Some effective prevention strategies include:

  • Hydration: Drinking plenty of water to dilute the urine and reduce the risk of stone formation.
  • Dietary Modifications: Reducing the intake of sodium, protein, and oxalate-rich foods.
  • Medications: Taking medications prescribed by a healthcare provider to manage underlying conditions that contribute to stone formation.
  • Regular Check-ups: Regular medical check-ups to monitor kidney function and detect any early signs of stone formation.

📝 Note: It is essential to consult with a healthcare provider before making any significant dietary or lifestyle changes.

Living with Non-Obstructing Nephrolithiasis

Living with non-obstructing nephrolithiasis requires ongoing management and vigilance. Patients should be aware of the symptoms and seek medical attention promptly if they experience any signs of stone formation or complications. Regular follow-ups with a healthcare provider can help monitor kidney function and adjust treatment plans as needed.

Education and support are crucial for patients with non-obstructing nephrolithiasis. Understanding the condition, its causes, and treatment options can empower patients to take an active role in their healthcare. Support groups and online communities can provide valuable information and emotional support for those living with this condition.

In addition to medical management, lifestyle modifications can significantly improve the quality of life for patients with non-obstructing nephrolithiasis. Maintaining a balanced diet, staying hydrated, and engaging in regular physical activity can help reduce the risk of stone recurrence and promote overall health.

Non-obstructing nephrolithiasis is a manageable condition with the right approach. By understanding the causes, symptoms, and treatment options, patients can take proactive steps to prevent stone formation and improve their overall well-being. Regular medical check-ups, lifestyle modifications, and a supportive healthcare team can make a significant difference in managing this condition effectively.

Non-obstructing nephrolithiasis is a common but manageable condition that affects many individuals. By understanding the causes, symptoms, diagnosis, and treatment options, patients can take proactive steps to prevent stone formation and improve their overall well-being. Regular medical check-ups, lifestyle modifications, and a supportive healthcare team can make a significant difference in managing this condition effectively. With the right approach, patients can lead healthy and fulfilling lives despite the challenges posed by non-obstructing nephrolithiasis.

Related Terms:

  • 6mm non obstructing kidney stone
  • non obstructing nephrolithiasis right
  • nonobstructing intrarenal calculi
  • nonobstructing left renal stone
  • what is a nonobstructing calculus
  • non obstructing nephrolithiasis left
Facebook Twitter WhatsApp
Related Posts
Don't Miss