Learning

Non Communicating Hydrocephalus Amboss

Non Communicating Hydrocephalus Amboss
Non Communicating Hydrocephalus Amboss

Hydrocephalus is a condition characterized by the accumulation of cerebrospinal fluid (CSF) in the brain, leading to increased intracranial pressure. Among the various types of hydrocephalus, Non Communicating Hydrocephalus is a significant subtype that requires careful understanding and management. This condition, often referred to as Non Communicating Hydrocephalus Amboss, involves an obstruction within the ventricular system of the brain, preventing the normal flow of CSF. This blog post delves into the intricacies of Non Communicating Hydrocephalus, its causes, symptoms, diagnosis, and treatment options.

Understanding Non Communicating Hydrocephalus

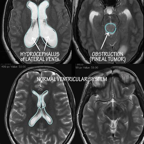
Non Communicating Hydrocephalus, also known as obstructive hydrocephalus, occurs when there is a blockage in the pathways that allow CSF to flow within the brain. This blockage can be caused by various factors, including tumors, infections, congenital malformations, or head injuries. Unlike communicating hydrocephalus, where the obstruction is outside the ventricular system, non-communicating hydrocephalus specifically affects the ventricles themselves.

Causes of Non Communicating Hydrocephalus

The causes of Non Communicating Hydrocephalus can be diverse and are often categorized into congenital and acquired causes. Some of the most common causes include:

  • Congenital Malformations: These are present at birth and can include conditions like aqueductal stenosis, where the aqueduct of Sylvius is narrowed or blocked.
  • Tumors: Brain tumors, especially those located in the posterior fossa or near the ventricles, can obstruct the flow of CSF.
  • Infections: Infections such as meningitis or encephalitis can lead to inflammation and scarring, which can block CSF pathways.
  • Head Injuries: Traumatic brain injuries can cause bleeding or swelling that obstructs the flow of CSF.
  • Hemorrhage: Bleeding within the brain, such as a subarachnoid hemorrhage, can lead to the formation of blood clots that block CSF flow.

Symptoms of Non Communicating Hydrocephalus

The symptoms of Non Communicating Hydrocephalus can vary depending on the age of the individual and the severity of the condition. In infants, common symptoms include:

  • An abnormally large head (macrocephaly)
  • Bulging fontanelles (soft spots on the skull)
  • Irritability and vomiting
  • Lethargy and poor feeding
  • Seizures

In adults, symptoms may include:

  • Headaches, often worse in the morning
  • Nausea and vomiting
  • Blurred vision or double vision
  • Difficulty walking or balance problems
  • Cognitive changes, such as memory loss or confusion
  • Urinary incontinence

Diagnosis of Non Communicating Hydrocephalus

Diagnosing Non Communicating Hydrocephalus involves a combination of clinical evaluation and imaging studies. The diagnostic process typically includes:

  • Medical History and Physical Examination: A detailed medical history and physical examination help identify symptoms and risk factors.
  • Imaging Studies: Imaging techniques such as computed tomography (CT) scans and magnetic resonance imaging (MRI) are crucial for visualizing the brain and identifying any obstructions or abnormalities in the ventricular system.
  • CSF Analysis: In some cases, a lumbar puncture may be performed to analyze the cerebrospinal fluid for signs of infection or other abnormalities.

Treatment Options for Non Communicating Hydrocephalus

The treatment of Non Communicating Hydrocephalus depends on the underlying cause and the severity of the condition. Common treatment options include:

  • Surgical Intervention: Surgery is often required to remove the obstruction and restore the normal flow of CSF. This may involve procedures such as:
Procedure Description
Endoscopic Third Ventriculostomy (ETV) This minimally invasive procedure creates a new pathway for CSF to flow, bypassing the obstruction.
Ventriculoperitoneal Shunt This involves placing a shunt to drain excess CSF from the ventricles to the peritoneal cavity, where it can be absorbed.
Tumor Removal If a tumor is causing the obstruction, surgical removal of the tumor may be necessary.

In addition to surgical interventions, other treatment options may include:

  • Medications: Medications such as acetazolamide may be prescribed to reduce CSF production and alleviate symptoms.
  • Physical Therapy: Physical therapy can help improve mobility and balance, especially in cases where symptoms have affected motor function.
  • Occupational Therapy: Occupational therapy can assist individuals in regaining daily living skills and cognitive function.

📝 Note: Treatment plans should be individualized based on the patient's specific needs and the underlying cause of the hydrocephalus. Regular follow-up and monitoring are essential to ensure the effectiveness of the treatment and to manage any potential complications.

Living with Non Communicating Hydrocephalus

Living with Non Communicating Hydrocephalus can present unique challenges, but with proper management and support, individuals can lead fulfilling lives. Key aspects of managing the condition include:

  • Regular Medical Follow-ups: Regular check-ups with healthcare providers are crucial to monitor the condition and adjust treatment as needed.
  • Medication Management: Adhering to prescribed medications and attending follow-up appointments can help manage symptoms and prevent complications.
  • Support Systems: Engaging with support groups and seeking emotional support from family and friends can provide valuable encouragement and understanding.
  • Lifestyle Adjustments: Making lifestyle adjustments, such as maintaining a healthy diet, getting regular exercise, and avoiding activities that increase intracranial pressure, can improve overall well-being.

While Non Communicating Hydrocephalus can be a challenging condition to manage, advancements in medical technology and treatment options offer hope for improved outcomes and quality of life.

Non Communicating Hydrocephalus, often referred to as Non Communicating Hydrocephalus Amboss, is a complex condition that requires a comprehensive understanding of its causes, symptoms, diagnosis, and treatment options. By recognizing the signs and seeking appropriate medical care, individuals can effectively manage this condition and lead fulfilling lives. Early intervention and ongoing support are key to achieving the best possible outcomes for those affected by Non Communicating Hydrocephalus.

Related Terms:

  • hydrocephalus ex vacuo
  • causes of hydrocephalus
  • Related searches hydrocephalus in children
Facebook Twitter WhatsApp
Related Posts
Don't Miss