Learning

Newborn Distended Belly

Newborn Distended Belly
Newborn Distended Belly

Newborns are a bundle of joy, but they can also present challenges that require immediate attention. One such issue is a newborn distended belly, which can be alarming for new parents. Understanding the causes, symptoms, and appropriate actions to take can help ensure the health and well-being of the newborn.

Understanding Newborn Distended Belly

A distended belly in a newborn refers to an abnormally swollen or enlarged abdomen. This condition can be caused by various factors, ranging from normal digestive processes to more serious medical issues. It is essential for parents to recognize the signs and seek medical advice when necessary.

Common Causes of Newborn Distended Belly

Several factors can contribute to a newborn distended belly. Some of the most common causes include:

  • Swallowed Air: Newborns often swallow air while feeding, which can lead to a distended belly. This is usually harmless and resolves on its own.
  • Gas: Infants can experience gas buildup, which can cause discomfort and a distended abdomen. This is a normal part of digestion and typically resolves with time.
  • Overfeeding: Feeding a newborn too much at once can cause the stomach to distend. This is more common in bottle-fed babies but can also occur in breastfed infants.
  • Constipation: Newborns can experience constipation, which can lead to a distended belly. This is often due to a change in diet or dehydration.
  • Intussusception: This is a serious condition where one part of the intestine slides into another, causing a blockage. It requires immediate medical attention.
  • Necrotizing Enterocolitis (NEC): This is a severe condition that affects the intestines, often seen in premature infants. It requires urgent medical intervention.

Symptoms to Watch For

While a distended belly can be a normal part of a newborn's digestive process, certain symptoms should not be ignored. Parents should be aware of the following signs:

  • Persistent Crying: If the newborn is crying inconsolably, it could indicate discomfort or pain.
  • Vomiting: Frequent vomiting, especially if it is forceful or contains bile, can be a sign of a serious issue.
  • Blood in Stool: The presence of blood in the stool can indicate a more severe condition, such as NEC.
  • Lethargy: If the newborn appears unusually tired or lethargic, it could be a sign of dehydration or a more serious condition.
  • Fever: A high fever in a newborn is always a cause for concern and requires immediate medical attention.

When to Seek Medical Attention

Parents should trust their instincts when it comes to their newborn's health. If there is any doubt or concern, it is always better to err on the side of caution and seek medical advice. The following situations warrant immediate medical attention:

  • If the newborn's belly is hard and tender to the touch.
  • If the newborn is vomiting frequently or forcefully.
  • If there is blood in the stool or vomit.
  • If the newborn appears lethargic or unresponsive.
  • If the newborn has a high fever.

🚨 Note: Always consult a healthcare provider if you are unsure about your newborn's symptoms. Early intervention can prevent serious complications.

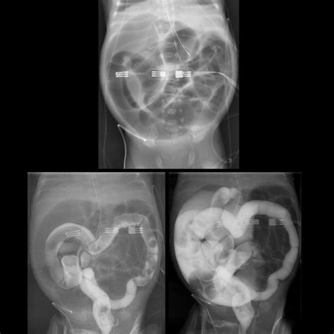
Diagnosing the Cause of Newborn Distended Belly

When a newborn presents with a distended belly, healthcare providers will conduct a thorough examination to determine the underlying cause. This may include:

  • Physical Examination: The doctor will examine the newborn's abdomen, checking for tenderness, hardness, and any signs of discomfort.
  • Medical History: The doctor will ask about the newborn's feeding habits, bowel movements, and any recent changes in behavior.
  • Imaging Tests: In some cases, imaging tests such as X-rays or ultrasounds may be ordered to visualize the intestines and identify any blockages or abnormalities.
  • Blood Tests: Blood tests may be conducted to check for signs of infection or other underlying conditions.

Treatment Options for Newborn Distended Belly

The treatment for a newborn distended belly will depend on the underlying cause. Some common treatment options include:

  • Observation: In cases where the distended belly is due to normal digestive processes, the doctor may recommend observation and monitoring.
  • Dietary Changes: Adjusting the newborn's feeding schedule or switching to a different formula may help alleviate symptoms.
  • Medications: In some cases, medications such as simethicone (gas relief drops) or stool softeners may be prescribed.
  • Hydration: Ensuring the newborn is well-hydrated can help prevent constipation and other digestive issues.
  • Surgical Intervention: In severe cases, such as intussusception or NEC, surgical intervention may be necessary.

Preventing Newborn Distended Belly

While some causes of a newborn distended belly are unavoidable, there are steps parents can take to minimize the risk:

  • Proper Feeding Techniques: Ensure the newborn is fed in an upright position to reduce the amount of air swallowed.
  • Burping: Burp the newborn frequently during and after feedings to help release trapped air.
  • Adequate Hydration: Keep the newborn well-hydrated to prevent constipation.
  • Monitor Feeding Amounts: Avoid overfeeding by following the newborn's hunger and fullness cues.

Caring for a Newborn with a Distended Belly

Caring for a newborn with a distended belly can be challenging, but there are several strategies that can help:

  • Comfort Measures: Gently massage the newborn's belly in a clockwise direction to help relieve gas and discomfort.
  • Warm Baths: A warm bath can help soothe the newborn and relieve any discomfort.
  • Positioning: Place the newborn on their back with their knees bent to the chest to help release trapped gas.
  • Monitor Symptoms: Keep a close eye on the newborn's symptoms and seek medical attention if they worsen or if new symptoms develop.

📝 Note: Always follow the advice of your healthcare provider when caring for a newborn with a distended belly. They can provide personalized recommendations based on the newborn's specific needs.

Common Myths and Misconceptions

There are several myths and misconceptions surrounding a newborn distended belly. It is important to separate fact from fiction to ensure the best care for the newborn:

  • Myth: A distended belly is always a sign of a serious condition. Fact: While a distended belly can sometimes indicate a serious issue, it is often a normal part of a newborn's digestive process.
  • Myth: Overfeeding is the only cause of a distended belly. Fact: There are many causes of a distended belly, including swallowed air, gas, and constipation.
  • Myth: Home remedies are always effective. Fact: While some home remedies can provide relief, they should not replace medical advice. Always consult a healthcare provider if you are concerned about your newborn's symptoms.

Support and Resources

Caring for a newborn with a distended belly can be stressful. It is important for parents to seek support and resources when needed. Some helpful resources include:

  • Pediatrician: Your pediatrician is a valuable resource for advice and support. Do not hesitate to reach out with any concerns or questions.
  • Support Groups: Joining a support group for new parents can provide a sense of community and shared experiences.
  • Online Resources: There are numerous online resources and forums where parents can share tips and advice.

Parents should remember that they are not alone in their journey. Seeking support and resources can make a significant difference in managing the challenges of caring for a newborn.

Newborns are delicate and require careful attention to their health and well-being. A distended belly can be a normal part of their digestive process, but it can also indicate a more serious condition. Understanding the causes, symptoms, and appropriate actions to take can help ensure the health and well-being of the newborn. By staying informed and seeking medical advice when necessary, parents can provide the best care for their newborn and navigate the challenges of parenthood with confidence.

Related Terms:

  • normal toddler belly vs distended
  • baby feels swollen and bloated
  • distended abdomen baby
  • newborn baby tummy hard
  • swollen tummy in children
  • baby stomach bloated and hard
Facebook Twitter WhatsApp
Related Posts
Don't Miss