Learning

Necrotic Lymph Node

Necrotic Lymph Node
Necrotic Lymph Node

Understanding the intricacies of a necrotic lymph node is crucial for both medical professionals and individuals seeking to learn more about their health. Lymph nodes play a vital role in the body's immune system, acting as filters that trap and destroy foreign particles, such as bacteria and viruses. When a lymph node becomes necrotic, it means that the tissue within the node has died due to a lack of blood supply or other pathological processes. This condition can be indicative of various underlying health issues, ranging from infections to more serious conditions like cancer.

What is a Necrotic Lymph Node?

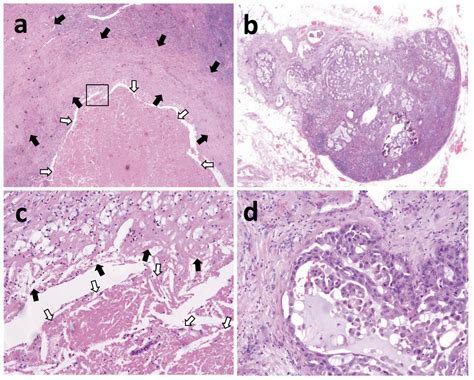
A necrotic lymph node is a lymph node that has undergone necrosis, a form of cell injury that results in the premature death of cells in living tissue. Necrosis can occur due to various reasons, including:

  • Infections, such as bacterial, viral, or fungal infections.
  • Inflammatory conditions.
  • Cancer, particularly lymphomas and metastatic cancers.
  • Autoimmune disorders.
  • Trauma or injury to the lymph node.

Necrosis in lymph nodes can lead to significant complications if left untreated, making early detection and intervention essential.

Symptoms of a Necrotic Lymph Node

The symptoms of a necrotic lymph node can vary depending on the underlying cause. Common symptoms include:

  • Swelling or enlargement of the lymph nodes.
  • Pain or tenderness in the affected area.
  • Fever or chills.
  • Fatigue or weakness.
  • Night sweats.
  • Weight loss.

In some cases, a necrotic lymph node may not cause any symptoms, making it difficult to detect without medical intervention.

Causes of Necrotic Lymph Node

The causes of a necrotic lymph node are diverse and can be categorized into several groups:

  • Infections: Bacterial infections, such as streptococcal or staphylococcal infections, can lead to necrosis in lymph nodes. Viral infections, like HIV or herpes, and fungal infections, such as histoplasmosis, can also cause necrosis.
  • Inflammatory Conditions: Conditions like rheumatoid arthritis or lupus can cause inflammation that leads to necrosis in lymph nodes.
  • Cancer: Lymphomas, such as Hodgkin’s and non-Hodgkin’s lymphoma, and metastatic cancers from other parts of the body can cause necrosis in lymph nodes.
  • Autoimmune Disorders: Conditions like Sjogren’s syndrome or sarcoidosis can lead to necrosis in lymph nodes.
  • Trauma or Injury: Physical trauma or injury to the lymph node can result in necrosis.

Identifying the underlying cause is crucial for effective treatment and management.

Diagnosis of Necrotic Lymph Node

Diagnosing a necrotic lymph node involves a combination of medical history, physical examination, and diagnostic tests. The diagnostic process typically includes:

  • Medical History: The healthcare provider will ask about symptoms, medical history, and any recent illnesses or injuries.
  • Physical Examination: A physical exam will be conducted to check for swollen or tender lymph nodes.
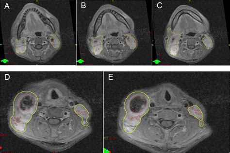
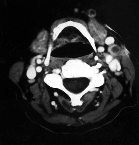
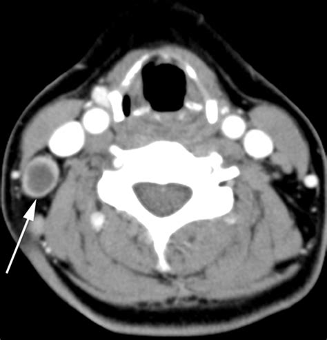
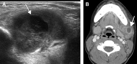
  • Imaging Tests: Imaging tests, such as ultrasound, CT scan, or MRI, can help visualize the lymph nodes and detect any abnormalities.
  • Blood Tests: Blood tests can help identify infections or other underlying conditions.
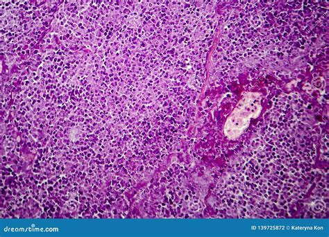
  • Biopsy: A biopsy of the affected lymph node may be necessary to confirm the diagnosis and determine the underlying cause. This involves removing a small sample of tissue for laboratory analysis.

In some cases, additional tests, such as a lymph node aspiration or fine-needle aspiration, may be performed to obtain a sample of the lymph node fluid for further analysis.

Treatment Options for Necrotic Lymph Node

The treatment for a necrotic lymph node depends on the underlying cause. Common treatment options include:

  • Antibiotics: For bacterial infections, antibiotics may be prescribed to eliminate the infection and prevent further necrosis.
  • Antiviral Medications: For viral infections, antiviral medications may be used to treat the infection.
  • Antifungal Medications: For fungal infections, antifungal medications may be prescribed.
  • Anti-inflammatory Drugs: For inflammatory conditions, anti-inflammatory drugs may be used to reduce inflammation and prevent further necrosis.
  • Chemotherapy or Radiation Therapy: For cancerous conditions, chemotherapy or radiation therapy may be necessary to treat the underlying malignancy.
  • Immunosuppressive Drugs: For autoimmune disorders, immunosuppressive drugs may be used to manage the condition and prevent further necrosis.
  • Surgery: In some cases, surgical removal of the necrotic lymph node may be necessary to prevent the spread of infection or cancer.

It is essential to follow the healthcare provider’s recommendations for treatment and attend all follow-up appointments to monitor progress and adjust treatment as needed.

Prevention of Necrotic Lymph Node

Preventing a necrotic lymph node involves maintaining overall health and taking steps to reduce the risk of infections and other underlying conditions. Some preventive measures include:

  • Practicing good hygiene, such as washing hands regularly and cooking food thoroughly.
  • Getting vaccinated against common infections, such as influenza and pneumonia.
  • Maintaining a healthy lifestyle, including a balanced diet, regular exercise, and adequate sleep.
  • Avoiding exposure to known allergens or irritants.
  • Seeking prompt medical attention for any signs of infection or illness.

Regular check-ups and screenings can also help detect any underlying conditions early, allowing for timely intervention and treatment.

Complications of Necrotic Lymph Node

If left untreated, a necrotic lymph node can lead to several complications, including:

  • Spread of Infection: Necrotic tissue can provide a breeding ground for bacteria, leading to the spread of infection to other parts of the body.
  • Sepsis: In severe cases, the infection can enter the bloodstream, leading to sepsis, a life-threatening condition.
  • Abscess Formation: An abscess may form, requiring surgical drainage.
  • Cancer Spread: If the necrosis is due to cancer, it can facilitate the spread of cancer cells to other parts of the body.
  • Chronic Inflammation: Persistent inflammation can lead to long-term health issues and complications.

Early detection and treatment are crucial to prevent these complications and ensure a positive outcome.

When to Seek Medical Attention

It is essential to seek medical attention if you experience any of the following symptoms:

  • Swollen or tender lymph nodes that do not improve within a few weeks.
  • Fever or chills.
  • Night sweats.
  • Unexplained weight loss.
  • Fatigue or weakness.
  • Pain or discomfort in the affected area.

Prompt medical evaluation can help identify the underlying cause and initiate appropriate treatment.

📌 Note: If you have a history of cancer or autoimmune disorders, it is especially important to consult a healthcare provider if you notice any changes in your lymph nodes.

Living with a Necrotic Lymph Node

Living with a necrotic lymph node can be challenging, but with proper management and support, it is possible to maintain a good quality of life. Some tips for managing a necrotic lymph node include:

  • Following the healthcare provider’s treatment plan.
  • Attending all follow-up appointments.
  • Maintaining a healthy lifestyle, including a balanced diet and regular exercise.
  • Avoiding activities that may exacerbate symptoms.
  • Seeking support from family, friends, and healthcare providers.

It is essential to stay informed about the condition and any potential complications, and to communicate openly with healthcare providers about any concerns or questions.

In some cases, additional support, such as counseling or support groups, may be beneficial for managing the emotional and psychological aspects of living with a necrotic lymph node.

Research and Future Directions

Ongoing research is focused on improving the diagnosis and treatment of necrotic lymph nodes. Advances in medical technology and understanding of the underlying mechanisms are paving the way for more effective and targeted therapies. Some areas of active research include:

  • Development of new diagnostic tools and techniques to detect necrotic lymph nodes earlier and more accurately.
  • Investigation of novel treatment approaches, such as targeted therapies and immunotherapy, for managing underlying conditions.
  • Exploration of the role of genetics and molecular biomarkers in the development and progression of necrotic lymph nodes.
  • Studies on the long-term effects of necrotic lymph nodes and strategies for preventing complications.

These advancements hold promise for improving outcomes and quality of life for individuals affected by necrotic lymph nodes.

In addition to medical research, patient education and awareness campaigns are crucial for promoting early detection and prevention. By increasing public knowledge about the signs and symptoms of necrotic lymph nodes, more individuals can seek timely medical attention and receive appropriate care.

Collaboration between healthcare providers, researchers, and patients is essential for driving progress in this field. Sharing experiences, insights, and data can lead to new discoveries and improved patient outcomes.

As our understanding of necrotic lymph nodes continues to evolve, so too will the strategies for managing and treating this condition. By staying informed and engaged, individuals can play an active role in their health and well-being.

In conclusion, understanding the intricacies of a necrotic lymph node is essential for both medical professionals and individuals seeking to learn more about their health. By recognizing the symptoms, causes, and treatment options, individuals can take proactive steps to manage this condition and improve their overall well-being. Early detection, prompt treatment, and ongoing support are key to preventing complications and ensuring a positive outcome. As research continues to advance, there is hope for even more effective and targeted therapies in the future.

Facebook Twitter WhatsApp
Related Posts
Don't Miss