Learning

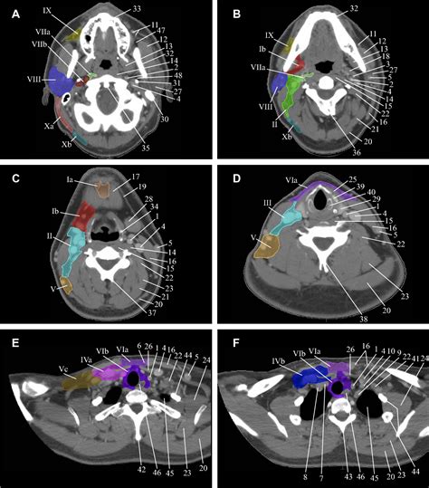
Neck Lymph Node Levels

Neck Lymph Node Levels
Neck Lymph Node Levels

Understanding the anatomy and function of the neck lymph node levels is crucial for healthcare professionals, particularly those involved in diagnosing and treating conditions related to the lymphatic system. The lymphatic system plays a vital role in the body's immune response, and the neck lymph nodes are a key component of this system. This post delves into the intricacies of neck lymph node levels, their significance, and how they are evaluated in clinical settings.

Anatomy of Neck Lymph Node Levels

The neck is divided into several levels to facilitate the identification and classification of lymph nodes. This systematic approach is essential for accurate diagnosis and treatment planning. The neck lymph node levels are typically categorized into seven levels, each with specific anatomical boundaries and clinical significance.

Level I: Submental and Submandibular

Level I lymph nodes are located in the submental and submandibular regions. The submental nodes are found beneath the chin, while the submandibular nodes are situated below the lower jaw. These nodes drain lymph from the floor of the mouth, the tip of the tongue, and the lower lip. They are crucial for detecting infections or malignancies in these areas.

Level II: Upper Jugular

Level II lymph nodes are located along the upper third of the internal jugular vein. These nodes drain lymph from the nasopharynx, oropharynx, and the upper part of the larynx. They are important for evaluating conditions such as tonsillitis, pharyngitis, and cancers of the head and neck.

Level III: Middle Jugular

Level III lymph nodes are situated along the middle third of the internal jugular vein. These nodes receive lymph from the oral cavity, oropharynx, and larynx. They are often involved in the spread of malignancies from these regions and are critical for staging head and neck cancers.

Level IV: Lower Jugular

Level IV lymph nodes are found along the lower third of the internal jugular vein. These nodes drain lymph from the larynx, thyroid gland, and lower part of the pharynx. They are significant in the evaluation of thyroid cancers and other malignancies in the lower neck region.

Level V: Posterior Triangle

Level V lymph nodes are located in the posterior triangle of the neck, bounded by the sternocleidomastoid muscle, trapezius muscle, and clavicle. These nodes drain lymph from the scalp, posterior neck, and upper back. They are important for detecting infections and malignancies in these areas.

Level VI: Anterior Compartment

Level VI lymph nodes are situated in the anterior compartment of the neck, between the hyoid bone and the suprasternal notch. These nodes drain lymph from the thyroid gland, larynx, and central compartment of the neck. They are crucial for evaluating thyroid cancers and other malignancies in the anterior neck region.

Level VII: Superior Mediastinal

Level VII lymph nodes are located in the superior mediastinum, below the suprasternal notch. These nodes drain lymph from the thyroid gland, larynx, and trachea. They are important for detecting malignancies that have spread from the neck to the mediastinum.

Clinical Significance of Neck Lymph Node Levels

The clinical significance of neck lymph node levels lies in their role in diagnosing and staging various conditions. Lymph nodes in the neck can enlarge due to infections, inflammation, or malignancies. Understanding the specific level of involvement can help healthcare professionals determine the likely source of the problem and plan appropriate treatment.

For example, enlarged lymph nodes in Level I may indicate an infection or malignancy in the floor of the mouth or lower lip. Similarly, enlarged nodes in Level II or III may suggest a problem in the oropharynx or larynx. By identifying the specific level of involvement, clinicians can narrow down the differential diagnosis and order appropriate diagnostic tests.

Evaluation of Neck Lymph Node Levels

The evaluation of neck lymph node levels typically involves a combination of physical examination, imaging studies, and biopsy. Physical examination is the first step in assessing lymph node enlargement. The clinician will palpate the neck to determine the size, consistency, and mobility of the lymph nodes. Imaging studies, such as ultrasound, computed tomography (CT), or magnetic resonance imaging (MRI), can provide detailed information about the size, shape, and location of the lymph nodes. Biopsy may be performed to obtain a tissue sample for histopathological examination.

Imaging studies are particularly useful for evaluating the extent of lymph node involvement and detecting any associated abnormalities. Ultrasound is a non-invasive and cost-effective method for assessing lymph nodes in the neck. It can provide real-time images of the lymph nodes and guide needle biopsy procedures. CT and MRI offer more detailed images and are useful for evaluating deeper structures and detecting metastases.

Biopsy is often necessary to confirm the diagnosis and determine the nature of the lymph node enlargement. Fine-needle aspiration (FNA) biopsy is a minimally invasive procedure that involves inserting a thin needle into the lymph node to obtain a small sample of tissue. Core needle biopsy involves inserting a larger needle to obtain a larger tissue sample. Surgical biopsy may be performed in some cases to remove the entire lymph node for examination.

📝 Note: The choice of biopsy technique depends on the size and location of the lymph node, as well as the suspected diagnosis. FNA biopsy is generally preferred for smaller lymph nodes, while core needle biopsy or surgical biopsy may be necessary for larger or deeper nodes.

Common Conditions Affecting Neck Lymph Node Levels

Several conditions can affect the neck lymph node levels, including infections, inflammatory disorders, and malignancies. Understanding the common conditions that involve specific lymph node levels can help in the differential diagnosis and management of these conditions.

Infections

Infections are a common cause of lymph node enlargement in the neck. Bacterial infections, such as streptococcal pharyngitis or tonsillitis, can cause enlargement of the upper jugular (Level II) and middle jugular (Level III) lymph nodes. Viral infections, such as infectious mononucleosis, can cause generalized lymphadenopathy, including enlargement of lymph nodes in multiple levels.

Inflammatory Disorders

Inflammatory disorders, such as rheumatoid arthritis or systemic lupus erythematosus, can also cause lymph node enlargement. These conditions are often associated with generalized lymphadenopathy, involving multiple lymph node levels in the neck.

Malignancies

Malignancies, such as head and neck cancers, thyroid cancers, and lymphomas, can cause enlargement of lymph nodes in specific levels. For example, squamous cell carcinoma of the oropharynx may cause enlargement of the upper jugular (Level II) and middle jugular (Level III) lymph nodes. Thyroid cancer may cause enlargement of the anterior compartment (Level VI) lymph nodes. Lymphomas can cause generalized lymphadenopathy, involving multiple lymph node levels in the neck.

Staging of Head and Neck Cancers

Staging of head and neck cancers involves evaluating the extent of the primary tumor, the involvement of regional lymph nodes, and the presence of distant metastases. The neck lymph node levels play a crucial role in the staging of these cancers. The American Joint Committee on Cancer (AJCC) staging system is commonly used for head and neck cancers and includes specific criteria for evaluating lymph node involvement.

The AJCC staging system classifies lymph node involvement based on the number, size, and location of the involved lymph nodes. For example, a single ipsilateral lymph node less than 3 cm in size is classified as N1, while multiple ipsilateral lymph nodes or contralateral or bilateral lymph nodes are classified as N2 or N3, respectively. The specific level of lymph node involvement is also considered in the staging process.

Accurate staging of head and neck cancers is essential for determining the appropriate treatment plan and predicting the prognosis. Imaging studies, such as CT or MRI, are often used to evaluate lymph node involvement and determine the stage of the cancer. Biopsy may be performed to confirm the diagnosis and obtain a tissue sample for histopathological examination.

Treatment of Conditions Affecting Neck Lymph Node Levels

The treatment of conditions affecting the neck lymph node levels depends on the underlying cause. Infections are typically treated with antibiotics or antiviral medications, depending on the type of infection. Inflammatory disorders may require immunosuppressive therapy or other medications to manage symptoms and prevent complications.

Malignancies, such as head and neck cancers or lymphomas, often require a multidisciplinary approach to treatment. Surgery, radiation therapy, and chemotherapy may be used alone or in combination to treat these conditions. The specific treatment plan depends on the type and stage of the cancer, as well as the patient's overall health and preferences.

For example, early-stage head and neck cancers may be treated with surgery alone, while more advanced cancers may require a combination of surgery, radiation therapy, and chemotherapy. Lymphomas may be treated with chemotherapy, immunotherapy, or radiation therapy, depending on the type and stage of the disease.

In some cases, lymph node dissection may be performed to remove enlarged or malignant lymph nodes. This procedure involves surgically removing the affected lymph nodes and may be performed as part of the treatment for head and neck cancers or other malignancies. The specific approach to lymph node dissection depends on the location and extent of the lymph node involvement.

📝 Note: Lymph node dissection is a complex surgical procedure that requires specialized training and expertise. It is important to consult with a healthcare professional experienced in performing this procedure to ensure the best possible outcomes.

Conclusion

Understanding the anatomy and function of neck lymph node levels is essential for healthcare professionals involved in diagnosing and treating conditions related to the lymphatic system. The neck lymph node levels provide a systematic approach to identifying and classifying lymph nodes, which is crucial for accurate diagnosis and treatment planning. Common conditions affecting the neck lymph node levels include infections, inflammatory disorders, and malignancies. Accurate evaluation and staging of these conditions are essential for determining the appropriate treatment plan and predicting the prognosis. By understanding the clinical significance of neck lymph node levels and the various diagnostic and treatment options available, healthcare professionals can provide optimal care for patients with conditions affecting the lymphatic system.

Related Terms:

  • level 2 lymph nodes neck
  • neck lymph node levels radiopaedia
  • neck lymph nodes criteria
  • neck lymph node levels chart
  • swollen lymph node in neck
  • delineation of neck node levels
Facebook Twitter WhatsApp
Related Posts
Don't Miss