Learning

Mri Contraindicated In Pregnancy

Mri Contraindicated In Pregnancy
Mri Contraindicated In Pregnancy

Magnetic Resonance Imaging (MRI) is a powerful diagnostic tool widely used in medical imaging. However, when it comes to pregnancy, the use of MRI is a topic that requires careful consideration. Understanding the implications of MRI contraindicated in pregnancy is crucial for both healthcare providers and expectant mothers. This post delves into the safety, risks, and guidelines surrounding MRI during pregnancy, providing a comprehensive overview for informed decision-making.

Understanding MRI and Its Use in Medical Imaging

MRI uses strong magnetic fields and radio waves to produce detailed images of the body's internal structures. Unlike X-rays or CT scans, MRI does not involve ionizing radiation, making it a safer option for many patients. However, the safety of MRI during pregnancy is a complex issue that involves weighing the benefits against potential risks.

Safety of MRI During Pregnancy

One of the primary concerns regarding MRI contraindicated in pregnancy is the potential impact of the magnetic field on the developing fetus. While MRI does not use ionizing radiation, the strong magnetic fields and radio waves could theoretically affect fetal development. However, extensive research has shown that MRI is generally considered safe during the second and third trimesters of pregnancy.

During the first trimester, the use of MRI is more cautiously approached due to the critical stages of organogenesis. The American College of Radiology (ACR) and the Society for Magnetic Resonance in Medicine (SMRM) recommend that MRI should be avoided during the first trimester unless absolutely necessary and the potential benefits outweigh the risks.

Risks Associated with MRI During Pregnancy

While MRI is generally safe, there are specific risks that need to be considered:

  • Gadolinium-Based Contrast Agents: These agents are sometimes used to enhance the quality of MRI images. However, gadolinium can cross the placental barrier and enter the fetal circulation. The use of gadolinium-based contrast agents is MRI contraindicated in pregnancy unless absolutely necessary and the benefits clearly outweigh the risks.
  • Acoustic Noise: The loud noises produced by the MRI machine can be disturbing and may cause discomfort for the pregnant woman. Earplugs or headphones are typically provided to mitigate this issue.
  • Claustrophobia: The enclosed space of the MRI machine can be claustrophobic, which may cause anxiety or discomfort for some patients.

It is essential to discuss these risks with a healthcare provider to make an informed decision about whether MRI is appropriate during pregnancy.

Guidelines for MRI Use During Pregnancy

The use of MRI during pregnancy should follow specific guidelines to ensure the safety of both the mother and the fetus. The following table outlines the general recommendations:

Trimester Recommendation
First Trimester Avoid MRI unless absolutely necessary and the benefits outweigh the risks.
Second and Third Trimesters MRI is generally considered safe, but the use of gadolinium-based contrast agents should be avoided unless absolutely necessary.

These guidelines are based on current medical knowledge and may be subject to change as new research emerges. It is crucial to consult with a healthcare provider for personalized advice.

Alternatives to MRI During Pregnancy

In some cases, alternatives to MRI may be considered to avoid potential risks. These alternatives include:

  • Ultrasound: This is a safe and widely used imaging technique during pregnancy. It uses high-frequency sound waves to produce images of the fetus and can provide valuable information about fetal development.
  • CT Scans: While CT scans use ionizing radiation, they are sometimes necessary for diagnosing certain conditions. However, they should be avoided during pregnancy unless absolutely necessary and the benefits clearly outweigh the risks.
  • X-Rays: Similar to CT scans, X-rays use ionizing radiation and should be avoided during pregnancy unless absolutely necessary.

Each of these alternatives has its own set of risks and benefits, and the choice of imaging modality should be made in consultation with a healthcare provider.

Special Considerations for MRI During Pregnancy

There are specific situations where MRI may be particularly beneficial or necessary during pregnancy. These include:

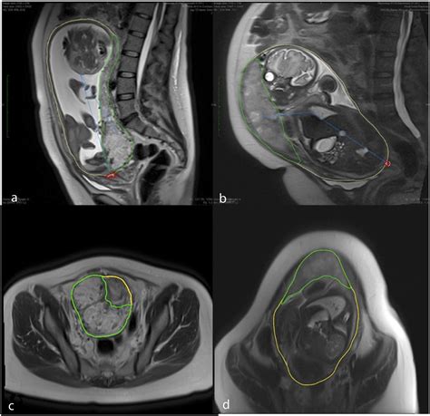
  • Suspected Fetal Anomalies: MRI can provide detailed images of the fetus, helping to detect and diagnose congenital anomalies that may not be visible on ultrasound.
  • Placental Abnormalities: MRI can help identify placental abnormalities, such as placenta previa or placental abruption, which can pose risks to both the mother and the fetus.
  • Maternal Conditions: MRI can be used to diagnose and monitor maternal conditions that may affect pregnancy, such as pelvic pain, back pain, or neurological symptoms.

In these cases, the benefits of MRI may outweigh the potential risks, and the procedure should be carefully considered in consultation with a healthcare provider.

📌 Note: Always inform your healthcare provider if you are pregnant or suspect you may be pregnant before undergoing an MRI. This information is crucial for ensuring your safety and the safety of your developing fetus.

In conclusion, the use of MRI during pregnancy is a complex issue that requires careful consideration of the benefits and risks. While MRI is generally considered safe during the second and third trimesters, it should be avoided during the first trimester unless absolutely necessary. The use of gadolinium-based contrast agents is MRI contraindicated in pregnancy unless the benefits clearly outweigh the risks. Alternatives to MRI, such as ultrasound, may be considered in some cases. It is essential to consult with a healthcare provider for personalized advice and to ensure the safety of both the mother and the fetus.

Related Terms:

  • mri scan safe during pregnancy
  • mri on pregnant woman
  • is gadolinium safe in pregnancy
  • ct scan during early pregnancy
  • mri in first trimester
  • mri during first trimester
Facebook Twitter WhatsApp
Related Posts
Don't Miss