Learning

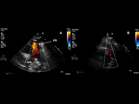
Mild Pulmonic Regurgitation

Mild Pulmonic Regurgitation
Mild Pulmonic Regurgitation

Understanding the nuances of heart health is crucial for maintaining overall well-being. One condition that often goes unnoticed but is important to recognize is mild pulmonic regurgitation. This condition affects the pulmonary valve, which controls blood flow from the heart to the lungs. Mild pulmonic regurgitation occurs when the pulmonary valve does not close properly, allowing a small amount of blood to leak back into the heart. While it may seem benign, understanding its causes, symptoms, and management is essential for those affected.

What is Mild Pulmonic Regurgitation?

Mild pulmonic regurgitation is a condition where the pulmonary valve, located between the right ventricle and the pulmonary artery, does not close tightly. This results in a small amount of blood flowing backward into the right ventricle during each heartbeat. The condition is often classified as mild because the volume of blood leaking back is minimal and typically does not cause significant symptoms or complications.

Causes of Mild Pulmonic Regurgitation

Several factors can contribute to the development of mild pulmonic regurgitation. Some of the most common causes include:

  • Congenital Heart Defects: Some individuals are born with abnormalities in the pulmonary valve that can lead to regurgitation.
  • Infective Endocarditis: Infections of the heart's inner lining can damage the pulmonary valve, leading to regurgitation.
  • Rheumatic Fever: This condition can cause inflammation and damage to the heart valves, including the pulmonary valve.
  • Trauma: Injury to the chest can sometimes damage the pulmonary valve, resulting in regurgitation.
  • Aging: As people age, the heart valves can become stiff and less flexible, leading to regurgitation.

Symptoms of Mild Pulmonic Regurgitation

In many cases, mild pulmonic regurgitation does not cause any noticeable symptoms. However, some individuals may experience:

  • Shortness of breath, especially during physical activity
  • Fatigue
  • Swelling in the legs or abdomen
  • Chest pain
  • Irregular heartbeat

It is important to note that these symptoms can also be associated with other heart conditions, so a thorough evaluation by a healthcare provider is necessary for an accurate diagnosis.

Diagnosis of Mild Pulmonic Regurgitation

Diagnosing mild pulmonic regurgitation involves a combination of medical history, physical examination, and diagnostic tests. The most common diagnostic tools include:

  • Echocardiogram: This ultrasound test provides detailed images of the heart and can detect the presence and severity of regurgitation.
  • Electrocardiogram (ECG): This test records the electrical activity of the heart and can help identify any abnormalities in heart rhythm.
  • Chest X-ray: This imaging test can show the size and shape of the heart and lungs, providing clues about the presence of regurgitation.
  • Cardiac Magnetic Resonance Imaging (MRI): This advanced imaging technique can provide detailed images of the heart and its valves, helping to assess the severity of regurgitation.

Management and Treatment of Mild Pulmonic Regurgitation

The management of mild pulmonic regurgitation typically involves monitoring the condition and addressing any underlying causes. In many cases, no specific treatment is required, but regular follow-ups with a healthcare provider are essential. For individuals with symptoms or more severe regurgitation, treatment options may include:

  • Medications: Drugs such as diuretics can help reduce fluid retention and manage symptoms.
  • Lifestyle Changes: Maintaining a healthy lifestyle, including regular exercise, a balanced diet, and avoiding smoking, can help improve overall heart health.
  • Surgery: In rare cases, surgical intervention may be necessary to repair or replace the pulmonary valve. This is typically reserved for individuals with severe regurgitation or those who experience significant symptoms.

Living with Mild Pulmonic Regurgitation

Living with mild pulmonic regurgitation can be manageable with the right approach. Here are some tips for individuals with this condition:

  • Regularly monitor your heart health with a healthcare provider.
  • Follow a heart-healthy diet and engage in regular physical activity.
  • Avoid smoking and limit alcohol consumption.
  • Manage stress through relaxation techniques and support systems.
  • Stay informed about your condition and any new developments in treatment options.

It is important to remember that mild pulmonic regurgitation is a manageable condition, and with proper care, individuals can lead active and fulfilling lives.

When to Seek Medical Attention

While mild pulmonic regurgitation may not cause immediate symptoms, it is essential to seek medical attention if you experience any of the following:

  • Shortness of breath that worsens over time
  • Chest pain or discomfort
  • Swelling in the legs, ankles, or abdomen
  • Fatigue or weakness
  • Irregular heartbeat

These symptoms can indicate a worsening of the condition or the development of complications, so prompt medical evaluation is crucial.

📝 Note: Always consult with a healthcare provider for personalized advice and treatment options.

Mild pulmonic regurgitation is a condition that, while often asymptomatic, requires careful monitoring and management. By understanding the causes, symptoms, and treatment options, individuals can take proactive steps to maintain their heart health and overall well-being. Regular check-ups, a healthy lifestyle, and prompt medical attention when needed are key to managing this condition effectively.

Related Terms:

  • pulmonary regurgitation causes
  • is mild pulmonic regurgitation normal
  • mild mitral valve regurgitation
  • mild pulmonic regurgitation meaning
  • trace mitral regurgitation
  • mild pulmonic insufficiency
Facebook Twitter WhatsApp
Related Posts
Don't Miss