Learning

Metatarsus Varus Adductus

Metatarsus Varus Adductus
Metatarsus Varus Adductus

Metatarsus Varus Adductus, commonly known as intoeing or pigeon-toed gait, is a condition where the feet turn inward instead of pointing straight ahead. This condition can affect individuals of all ages, but it is particularly noticeable in children as they begin to walk. Understanding the causes, symptoms, and treatment options for Metatarsus Varus Adductus is crucial for parents and caregivers to ensure the best possible outcomes for their children.

Understanding Metatarsus Varus Adductus

Metatarsus Varus Adductus is characterized by the inward turning of the feet, which can cause an abnormal gait pattern. This condition is often noticed when a child starts walking, as the feet may appear to turn inward significantly. The condition can be mild, moderate, or severe, depending on the degree of inward turning.

Causes of Metatarsus Varus Adductus

Several factors can contribute to the development of Metatarsus Varus Adductus. Some of the most common causes include:

  • Genetic Factors: A family history of intoeing or pigeon-toed gait can increase the likelihood of a child developing Metatarsus Varus Adductus.
  • In Utero Positioning: The position of the fetus in the womb can sometimes lead to the feet turning inward. This is often temporary and resolves on its own as the child grows.
  • Muscular Imbalances: Differences in muscle strength and flexibility can cause the feet to turn inward. This is often seen in conditions like cerebral palsy or other neurological disorders.
  • Bone Structure: Abnormalities in the structure of the bones in the feet or legs can also contribute to Metatarsus Varus Adductus.

Symptoms of Metatarsus Varus Adductus

The primary symptom of Metatarsus Varus Adductus is the inward turning of the feet. Other symptoms may include:

  • Difficulty walking or running
  • Frequent tripping or falling
  • Pain or discomfort in the feet, ankles, or knees
  • Uneven wear on shoes

It is important to note that many children with Metatarsus Varus Adductus do not experience any pain or discomfort. However, if symptoms are present, it is essential to seek medical attention to rule out other potential causes.

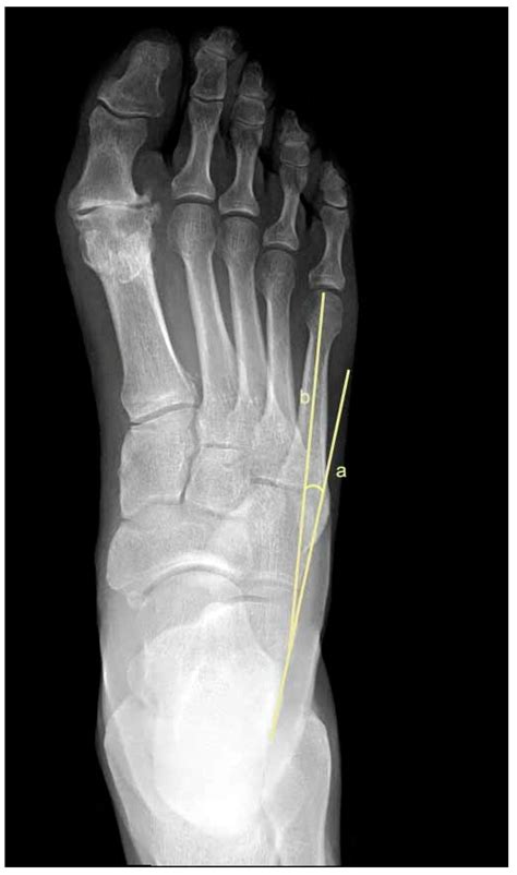
Diagnosing Metatarsus Varus Adductus

Diagnosing Metatarsus Varus Adductus typically involves a physical examination by a healthcare provider. The doctor will assess the child's gait, foot alignment, and range of motion. In some cases, imaging tests such as X-rays or MRI scans may be ordered to rule out other conditions or to assess the severity of the deformity.

During the physical examination, the doctor may perform the following:

  • Observation of the child's gait
  • Assessment of foot alignment
  • Range of motion tests
  • Palpation of the feet and ankles

If the doctor suspects that Metatarsus Varus Adductus is caused by an underlying condition, such as cerebral palsy or a neurological disorder, additional tests may be ordered to confirm the diagnosis.

Treatment Options for Metatarsus Varus Adductus

The treatment for Metatarsus Varus Adductus depends on the severity of the condition and the underlying cause. In many cases, the condition resolves on its own as the child grows. However, if the condition is causing pain or discomfort, or if it is affecting the child's ability to walk or run, treatment may be necessary.

Treatment options for Metatarsus Varus Adductus include:

  • Observation: For mild cases, the doctor may recommend simply observing the child's progress and waiting to see if the condition resolves on its own.
  • Physical Therapy: Exercises and stretches can help improve muscle strength and flexibility, which can correct the inward turning of the feet.
  • Orthotics: Custom-made shoe inserts or braces can help realign the feet and improve gait.
  • Surgical Intervention: In severe cases, surgery may be necessary to correct the bone structure and realign the feet.

It is important to work closely with a healthcare provider to determine the best treatment plan for your child. Regular follow-up appointments will help monitor progress and make any necessary adjustments to the treatment plan.

📝 Note: Early intervention is key to achieving the best possible outcomes for children with Metatarsus Varus Adductus. If you notice that your child's feet are turning inward, it is important to consult with a healthcare provider for a proper evaluation and treatment plan.

Preventing Metatarsus Varus Adductus

While Metatarsus Varus Adductus cannot always be prevented, there are steps that parents and caregivers can take to reduce the risk of the condition developing or worsening. Some preventive measures include:

  • Encouraging regular physical activity to promote muscle strength and flexibility
  • Ensuring proper footwear that provides adequate support and cushioning
  • Avoiding activities that put excessive stress on the feet and ankles
  • Regular check-ups with a healthcare provider to monitor foot development

By taking these preventive measures, parents and caregivers can help ensure that their children's feet develop properly and reduce the risk of Metatarsus Varus Adductus.

Living with Metatarsus Varus Adductus

Living with Metatarsus Varus Adductus can be challenging, but with the right treatment and support, children can lead active and fulfilling lives. It is important for parents and caregivers to stay informed about the condition and to work closely with healthcare providers to ensure the best possible outcomes.

Some tips for living with Metatarsus Varus Adductus include:

  • Encouraging regular physical activity to promote muscle strength and flexibility
  • Ensuring proper footwear that provides adequate support and cushioning
  • Avoiding activities that put excessive stress on the feet and ankles
  • Regular check-ups with a healthcare provider to monitor progress

By following these tips and working closely with healthcare providers, children with Metatarsus Varus Adductus can lead active and fulfilling lives.

It is also important to remember that Metatarsus Varus Adductus is a common condition, and many children outgrow it as they develop. With the right treatment and support, children can overcome the challenges of Metatarsus Varus Adductus and lead happy, healthy lives.

In some cases, children with Metatarsus Varus Adductus may benefit from additional support, such as occupational therapy or counseling. These services can help children develop the skills and confidence they need to navigate the challenges of living with a foot deformity.

Parents and caregivers should not hesitate to seek out these resources if they feel their child would benefit from additional support. With the right treatment and support, children with Metatarsus Varus Adductus can lead active and fulfilling lives.

It is also important to remember that Metatarsus Varus Adductus is a common condition, and many children outgrow it as they develop. With the right treatment and support, children can overcome the challenges of Metatarsus Varus Adductus and lead happy, healthy lives.

In some cases, children with Metatarsus Varus Adductus may benefit from additional support, such as occupational therapy or counseling. These services can help children develop the skills and confidence they need to navigate the challenges of living with a foot deformity.

Parents and caregivers should not hesitate to seek out these resources if they feel their child would benefit from additional support. With the right treatment and support, children with Metatarsus Varus Adductus can lead active and fulfilling lives.

It is also important to remember that Metatarsus Varus Adductus is a common condition, and many children outgrow it as they develop. With the right treatment and support, children can overcome the challenges of Metatarsus Varus Adductus and lead happy, healthy lives.

In some cases, children with Metatarsus Varus Adductus may benefit from additional support, such as occupational therapy or counseling. These services can help children develop the skills and confidence they need to navigate the challenges of living with a foot deformity.

Parents and caregivers should not hesitate to seek out these resources if they feel their child would benefit from additional support. With the right treatment and support, children with Metatarsus Varus Adductus can lead active and fulfilling lives.

It is also important to remember that Metatarsus Varus Adductus is a common condition, and many children outgrow it as they develop. With the right treatment and support, children can overcome the challenges of Metatarsus Varus Adductus and lead happy, healthy lives.

In some cases, children with Metatarsus Varus Adductus may benefit from additional support, such as occupational therapy or counseling. These services can help children develop the skills and confidence they need to navigate the challenges of living with a foot deformity.

Parents and caregivers should not hesitate to seek out these resources if they feel their child would benefit from additional support. With the right treatment and support, children with Metatarsus Varus Adductus can lead active and fulfilling lives.

It is also important to remember that Metatarsus Varus Adductus is a common condition, and many children outgrow it as they develop. With the right treatment and support, children can overcome the challenges of Metatarsus Varus Adductus and lead happy, healthy lives.

In some cases, children with Metatarsus Varus Adductus may benefit from additional support, such as occupational therapy or counseling. These services can help children develop the skills and confidence they need to navigate the challenges of living with a foot deformity.

Parents and caregivers should not hesitate to seek out these resources if they feel their child would benefit from additional support. With the right treatment and support, children with Metatarsus Varus Adductus can lead active and fulfilling lives.

It is also important to remember that Metatarsus Varus Adductus is a common condition, and many children outgrow it as they develop. With the right treatment and support, children can overcome the challenges of Metatarsus Varus Adductus and lead happy, healthy lives.

In some cases, children with Metatarsus Varus Adductus may benefit from additional support, such as occupational therapy or counseling. These services can help children develop the skills and confidence they need to navigate the challenges of living with a foot deformity.

Parents and caregivers should not hesitate to seek out these resources if they feel their child would benefit from additional support. With the right treatment and support, children with Metatarsus Varus Adductus can lead active and fulfilling lives.

It is also important to remember that Metatarsus Varus Adductus is a common condition, and many children outgrow it as they develop. With the right treatment and support, children can overcome the challenges of Metatarsus Varus Adductus and lead happy, healthy lives.

In some cases, children with Metatarsus Varus Adductus may benefit from additional support, such as occupational therapy or counseling. These services can help children develop the skills and confidence they need to navigate the challenges of living with a foot deformity.

Parents and caregivers should not hesitate to seek out these resources if they feel their child would benefit from additional support. With the right treatment and support, children with Metatarsus Varus Adductus can lead active and fulfilling lives.

It is also important to remember that Metatarsus Varus Adductus is a common condition, and many children outgrow it as they develop. With the right treatment and support, children can overcome the challenges of Metatarsus Varus Adductus and lead happy, healthy lives.

In some cases, children with Metatarsus Varus Adductus may benefit from additional support, such as occupational therapy or counseling. These services can help children develop the skills and confidence they need to navigate the challenges of living with a foot deformity.

Parents and caregivers should not hesitate to seek out these resources if they feel their child would benefit from additional support. With the right treatment and support, children with Metatarsus Varus Adductus can lead active and fulfilling lives.

It is also important to remember that Metatarsus Varus Adductus is a common condition, and many children outgrow it as they develop. With the right treatment and support, children can overcome the challenges of Metatarsus Varus Adductus and lead happy, healthy lives.

In some cases, children with Metatarsus Varus Adductus may benefit from additional support, such as occupational therapy or counseling. These services can help children develop the skills and confidence they need to navigate the challenges of living with a foot deformity.

Parents and caregivers should not hesitate to seek out these resources if they feel their child would benefit from additional support. With the right treatment and support, children with Metatarsus Varus Adductus can lead active and fulfilling lives.

It is also important to remember that Metatarsus Varus Adductus is a common condition, and many children outgrow it as they develop. With the right treatment and support, children can overcome the challenges of Metatarsus Varus Adductus and lead happy, healthy lives.

In some cases, children with Metatarsus Varus Adductus may benefit from additional support, such as occupational therapy or counseling. These services can help children develop the skills and confidence they need to navigate the challenges of living with a foot deformity.

Parents and caregivers should not hesitate to seek out these resources if they feel their child would benefit from additional support. With the right treatment and support, children with Metatarsus Varus Adductus can lead active and fulfilling lives.

It is also important to remember that Metatarsus Varus Adductus is a common condition, and many children outgrow it as they develop. With the right treatment and support, children can overcome the challenges of Metatarsus Varus Adductus and lead happy, healthy lives.

In some cases, children with Metatarsus Varus Adductus may benefit from additional support, such as occupational therapy or counseling. These services can help children develop the skills and confidence they need to navigate the challenges of living with a foot deformity.

Parents and caregivers should not hesitate to seek out these resources if they feel their child would benefit from additional support. With the right treatment and support, children with Metatarsus Varus Adductus can lead active and fulfilling lives.

It is also important to remember that Metatarsus Varus Adductus is a common condition, and many children outgrow it as they develop. With the right treatment and support, children can overcome the challenges of Metatarsus Varus Adductus and lead happy, healthy lives.

In some cases, children with Metatarsus Varus Adductus may benefit from additional support, such as occupational therapy or counseling. These services can help children develop the skills and confidence they need to navigate the challenges of living with a foot deformity.

Parents and caregivers should not hesitate to seek out these resources if they feel their child would benefit from additional support. With the right treatment and support, children with Metatarsus Varus Adductus can lead active and fulfilling lives.

It is also important to remember that Metatarsus Varus Adductus is a common condition, and many children outgrow it as they develop. With the right treatment and support, children can overcome the challenges of Metatarsus Varus Adductus and lead happy, healthy lives.

In some cases, children with Metatarsus Varus Adductus may benefit from additional support, such as occupational therapy or counseling. These services can help children develop the skills and confidence they need to navigate the challenges of living with a foot deformity.

Parents and caregivers should not hesitate to seek out these resources if they feel their child would benefit from additional support. With the right treatment and support, children with Metatarsus Varus Adductus can lead active and fulfilling lives.

It is also important to remember that Metatarsus Varus Adductus is a common condition, and many children outgrow it as they develop. With the right treatment and support, children can overcome the challenges of Metatarsus Varus Adductus and lead happy, healthy lives.

In some cases, children with Metatarsus Varus Adductus may benefit from additional support, such as occupational therapy or counseling. These services can help children develop the skills and confidence they need to navigate the challenges of living with a foot deformity.

Parents and caregivers should not hesitate to seek out these resources if they feel their child would benefit from additional support. With the right treatment and support, children with Metatarsus Varus Adductus can lead active and fulfilling lives.

It is also important to remember that Metatarsus Varus Adductus is a common condition, and many children outgrow it as they develop. With the right treatment and support, children can overcome the challenges of Metatarsus Varus Adductus and lead happy, healthy lives.

In some cases, children with Metatarsus Varus Adductus may benefit from additional support, such as occupational therapy or counseling. These services can help children develop the skills and confidence they need to navigate the challenges of living with a foot deformity.

Parents and caregivers should not hesitate to seek out these resources if they feel their child would benefit from additional support. With the right treatment and support, children with Metatarsus Varus Adductus can lead active and fulfilling lives.

It is also important to remember that Metatarsus Varus Adductus is a common condition, and many children outgrow it as they develop. With the right treatment and support, children can overcome the challenges of Metatarsus Varus Adductus and lead happy, healthy lives.

In some cases, children with Metatarsus Varus Adductus may benefit from additional support, such as occupational therapy or counseling. These services can help children develop the skills and confidence they need to navigate the challenges of living with a foot deformity.

Parents and caregivers should not hesitate to seek out these resources if they feel their child would benefit from additional support. With the right treatment and support, children with Metatarsus Varus Adductus can lead active and fulfilling lives.

It is also important to remember that Metatarsus Varus Adductus is a common condition, and many children outgrow it as they develop. With the right treatment and support, children can overcome the challenges of Metatarsus Varus Adductus and lead happy, healthy lives.

In some cases, children with Metatarsus Varus Adductus may benefit from additional support

Related Terms:

  • metatarsus adductus treatment in child
  • metatarsus adductus posna
  • congenital metatarsus adductus right foot
  • metatarsus adductus heel manipulation
  • metatarsus adductus manipulation
  • metatarsus adductus images
Facebook Twitter WhatsApp
Related Posts
Don't Miss