Learning

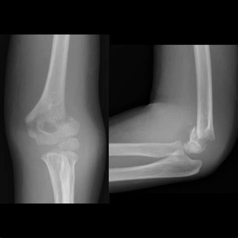
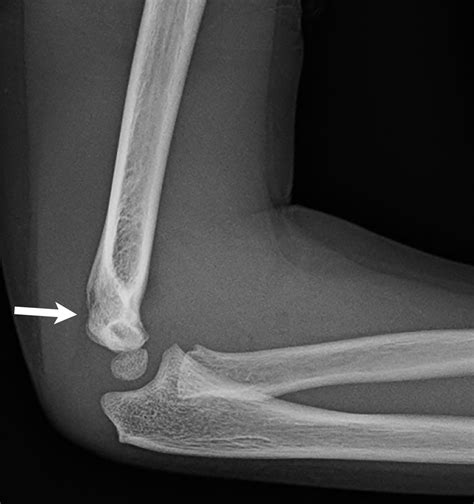
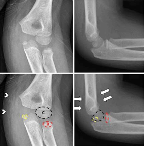
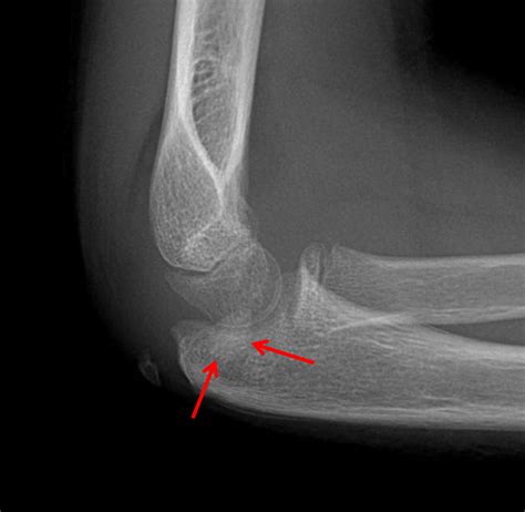
Medial Epicondyle Fracture

Medial Epicondyle Fracture
Medial Epicondyle Fracture

Elbow injuries can be debilitating, affecting daily activities and quality of life. One such injury is a Medial Epicondyle Fracture, which occurs when the bony prominence on the inner side of the elbow, known as the medial epicondyle, breaks. This type of fracture is relatively common, particularly among athletes and individuals involved in high-impact activities. Understanding the causes, symptoms, diagnosis, and treatment options for a Medial Epicondyle Fracture is crucial for effective management and recovery.

Understanding the Medial Epicondyle

The medial epicondyle is a bony protrusion on the inner side of the elbow. It serves as an attachment point for several important muscles and tendons, including those that control wrist flexion and forearm pronation. The medial epicondyle plays a critical role in the stability and function of the elbow joint. A fracture in this area can significantly impact the elbow’s range of motion and strength.

Causes of Medial Epicondyle Fracture

A Medial Epicondyle Fracture typically results from a direct blow to the elbow or a fall onto an outstretched hand. Common scenarios include:

  • Sports injuries, particularly in contact sports like football or hockey.
  • Falls from heights, such as during climbing or cycling.
  • Motor vehicle accidents where the elbow is forcefully impacted.

In younger individuals, the fracture often occurs at the growth plate, making it a common injury in children and adolescents.

Symptoms of Medial Epicondyle Fracture

The symptoms of a Medial Epicondyle Fracture can vary depending on the severity of the injury. Common symptoms include:

  • Severe pain on the inner side of the elbow.
  • Swelling and bruising around the elbow joint.
  • Difficulty moving the elbow or wrist.
  • Visible deformity or tenderness at the fracture site.
  • In some cases, numbness or tingling in the hand or fingers.

If you experience any of these symptoms after an injury, it is essential to seek medical attention promptly.

Diagnosing a Medial Epicondyle Fracture

Diagnosing a Medial Epicondyle Fracture involves a combination of physical examination and imaging tests. The diagnostic process typically includes:

  • Physical Examination: The healthcare provider will assess the elbow for swelling, tenderness, and range of motion. They may also check for any deformities or instability in the joint.
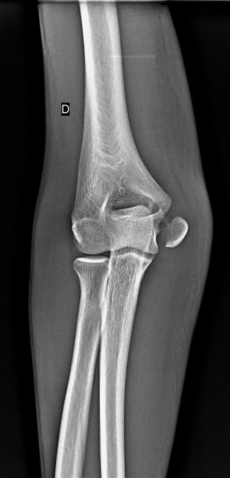
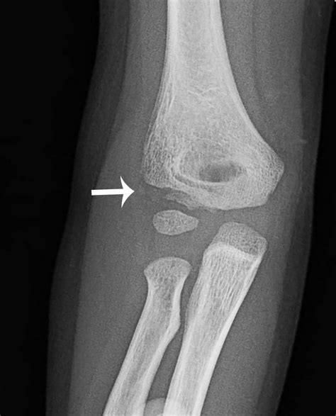
  • Imaging Tests: X-rays are the primary imaging tool used to diagnose a Medial Epicondyle Fracture. They can reveal the location and extent of the fracture. In some cases, additional imaging such as a CT scan or MRI may be required to provide a more detailed view of the injury.

Accurate diagnosis is crucial for determining the appropriate treatment plan.

Treatment Options for Medial Epicondyle Fracture

The treatment for a Medial Epicondyle Fracture depends on the severity of the fracture and the patient’s overall health. Treatment options can be categorized into non-surgical and surgical approaches.

Non-Surgical Treatment

For less severe fractures, non-surgical treatment may be sufficient. This typically involves:

  • Rest, Ice, Compression, and Elevation (RICE): This approach helps reduce pain and swelling. Resting the elbow, applying ice, using compression bandages, and elevating the arm can be beneficial.
  • Immobilization: A sling or brace may be used to immobilize the elbow and prevent further injury. This allows the fracture to heal properly.
  • Pain Management: Over-the-counter pain relievers such as ibuprofen or acetaminophen can help manage pain and inflammation.
  • Physical Therapy: Once the initial healing phase is complete, physical therapy can help restore range of motion and strength in the elbow.

Non-surgical treatment is often effective for minor fractures and can help avoid the risks associated with surgery.

Surgical Treatment

In cases of severe fractures or when non-surgical treatment is ineffective, surgery may be necessary. Surgical options include:

  • Open Reduction and Internal Fixation (ORIF): This procedure involves realigning the fractured bone and securing it with screws, plates, or wires. ORIF is often used for displaced or comminuted fractures.
  • Arthroscopy: In some cases, minimally invasive arthroscopic surgery may be performed to repair the fracture and assess any associated damage to the elbow joint.

Surgery is typically followed by a period of immobilization and physical therapy to ensure proper healing and restoration of function.

Recovery and Rehabilitation

The recovery process for a Medial Epicondyle Fracture can vary depending on the severity of the injury and the chosen treatment method. Key aspects of recovery include:

  • Immobilization: The elbow may need to be immobilized for several weeks to allow the fracture to heal. This is often done using a cast, splint, or brace.
  • Pain Management: Continued use of pain relievers and anti-inflammatory medications may be necessary during the initial stages of recovery.
  • Physical Therapy: Once the fracture has healed sufficiently, physical therapy is crucial for restoring range of motion, strength, and flexibility. Exercises may include:
Exercise Description
Range of Motion Exercises Gentle movements to improve flexibility and reduce stiffness.
Strengthening Exercises Resistance exercises to build muscle strength around the elbow.
Functional Exercises Activities that mimic daily tasks to improve overall function.

Physical therapy should be guided by a healthcare professional to ensure proper technique and progression.

📝 Note: It is important to follow the rehabilitation plan prescribed by your healthcare provider to avoid complications and ensure a full recovery.

Complications and Prevention

While most Medial Epicondyle Fractures heal without complications, there are potential risks to be aware of. Complications can include:

  • Non-Union or Malunion: The fracture may not heal properly, leading to persistent pain and instability.
  • Stiffness: Prolonged immobilization can result in stiffness and limited range of motion.
  • Nerve or Vessel Injury: Damage to nearby nerves or blood vessels can occur, leading to numbness, tingling, or reduced blood flow.

Preventing a Medial Epicondyle Fracture involves taking precautions to protect the elbow during high-impact activities. This can include:

  • Wearing protective gear, such as elbow pads, during sports or other activities.
  • Using proper technique and form to avoid falls and direct impacts.
  • Strengthening the muscles around the elbow through regular exercise and conditioning.

By taking these steps, individuals can reduce their risk of sustaining a Medial Epicondyle Fracture and other elbow injuries.

In summary, a Medial Epicondyle Fracture is a significant injury that requires prompt medical attention and appropriate treatment. Understanding the causes, symptoms, and treatment options is essential for effective management and recovery. Whether through non-surgical or surgical methods, proper care and rehabilitation can help individuals regain full function and return to their daily activities. Always consult with a healthcare provider for personalized advice and treatment plans.

Related Terms:

  • medial epicondyle avulsion fracture
  • medial epicondyle fracture orthobullets
  • medial epicondyle fracture icd 10
  • medial epicondyle fracture splint
  • medial epicondyle fracture adult
  • medial epicondyle fracture radiology
Facebook Twitter WhatsApp
Related Posts
Don't Miss