Learning

May Thurner Icd 10

May Thurner Icd 10
May Thurner Icd 10

May-Thurner syndrome (MTS) is a vascular condition that affects the iliac veins, leading to compression and potential obstruction. This syndrome is named after the physicians who first described it, Robert May and John Thurner. Understanding the intricacies of May-Thurner syndrome, including its diagnosis and treatment, is crucial for healthcare professionals and patients alike. This condition is often coded using the ICD-10 classification system, specifically under the code May Thurner Icd 10 I82.811, which helps in standardizing medical records and ensuring accurate billing and treatment protocols.

Understanding May-Thurner Syndrome

May-Thurner syndrome occurs when the right common iliac artery compresses the left common iliac vein, leading to reduced blood flow and potential thrombosis. This compression can cause a variety of symptoms, including leg swelling, pain, and discomfort. The condition is more prevalent in women and often goes undiagnosed due to its nonspecific symptoms.

Symptoms and Diagnosis

Recognizing the symptoms of May-Thurner syndrome is the first step in diagnosis. Common symptoms include:

  • Leg swelling, particularly in the left leg
  • Pain or discomfort in the affected leg
  • Varicose veins
  • Skin discoloration or ulcers
  • Deep vein thrombosis (DVT)

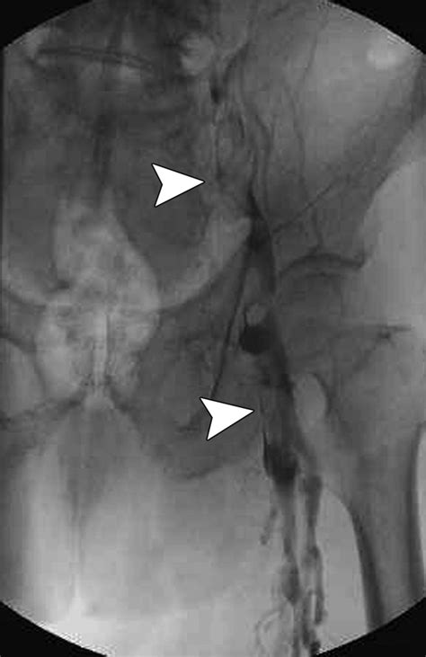
Diagnosing May-Thurner syndrome involves a combination of clinical evaluation and imaging tests. The most common diagnostic tools include:

  • Doppler ultrasound: To assess blood flow and detect any blockages.
  • Venography: A more invasive test that involves injecting a contrast dye into the veins to visualize blood flow.
  • CT scan or MRI: To provide detailed images of the veins and surrounding structures.

Treatment Options

Treatment for May-Thurner syndrome aims to relieve symptoms and prevent complications such as pulmonary embolism. The choice of treatment depends on the severity of the condition and the patient's overall health. Common treatment options include:

Medications

Medications are often the first line of treatment, especially for mild cases. Commonly prescribed medications include:

  • Anticoagulants: To prevent blood clots from forming or growing.
  • Compression stockings: To improve blood flow and reduce swelling.

Endovascular Procedures

For more severe cases, endovascular procedures may be necessary. These minimally invasive procedures aim to restore blood flow and relieve compression. Common endovascular procedures include:

  • Angioplasty: A procedure where a balloon is inserted into the vein to widen it and relieve compression.
  • Stent placement: A small mesh tube is placed in the vein to keep it open and prevent further compression.

Surgical Interventions

In rare cases, surgical intervention may be required. Surgical options include:

  • Venous bypass: Creating a new pathway for blood flow to bypass the compressed vein.
  • Venous reconstruction: Repairing or reconstructing the damaged vein.

May Thurner Icd 10 Coding

Accurate coding is essential for proper documentation and billing in healthcare. The ICD-10 code for May-Thurner syndrome is I82.811. This code helps healthcare providers and insurance companies understand the specific condition being treated, ensuring appropriate care and reimbursement. Proper coding also aids in epidemiological studies and research on the prevalence and treatment outcomes of May-Thurner syndrome.

Prevention and Management

While May-Thurner syndrome cannot always be prevented, certain lifestyle changes and management strategies can help reduce the risk of complications. Key prevention and management strategies include:

  • Regular exercise: To improve blood circulation and overall cardiovascular health.
  • Maintaining a healthy weight: To reduce pressure on the veins.
  • Avoiding prolonged sitting or standing: To prevent blood pooling in the legs.
  • Wearing compression stockings: To improve blood flow and reduce swelling.

Regular follow-ups with healthcare providers are crucial for monitoring the condition and adjusting treatment as needed. Patients should be aware of the signs of complications, such as sudden chest pain or shortness of breath, which may indicate a pulmonary embolism.

📝 Note: Early detection and treatment of May-Thurner syndrome can significantly improve outcomes and reduce the risk of serious complications.

Living with May-Thurner Syndrome

Living with May-Thurner syndrome requires ongoing management and lifestyle adjustments. Patients should work closely with their healthcare providers to develop a personalized treatment plan. Support groups and educational resources can also provide valuable information and emotional support.

It is essential to stay informed about the latest research and treatment options for May-Thurner syndrome. Advances in medical technology and endovascular procedures continue to improve outcomes for patients with this condition.

Regular exercise, a healthy diet, and avoiding prolonged periods of inactivity can help manage symptoms and improve overall well-being. Patients should also be vigilant about monitoring their symptoms and seeking medical attention if they experience any changes or worsening of their condition.

In summary, May-Thurner syndrome is a complex vascular condition that requires accurate diagnosis, appropriate treatment, and ongoing management. Understanding the symptoms, diagnostic tools, and treatment options is crucial for healthcare providers and patients alike. The ICD-10 code I82.811 plays a vital role in standardizing medical records and ensuring accurate billing and treatment protocols. With proper care and management, patients with May-Thurner syndrome can lead active and fulfilling lives.

Related Terms:

  • how to diagnose may thurner
  • may thurner syndrome icd code
  • may thurner syndrome cpt code
  • may thurner syndrome icd 10
  • may thurman syndrome icd 10
  • may thurner syndrome diagnostic criteria
Facebook Twitter WhatsApp
Related Posts
Don't Miss