Learning

Man In Barrel Syndrome

Man In Barrel Syndrome
Man In Barrel Syndrome

In the realm of mental health, there are numerous conditions that can significantly impact an individual's well-being. One such condition that has gained attention in recent years is Man In Barrel Syndrome. This syndrome, also known as Man in the Barrel Syndrome, is a rare neurological disorder characterized by a unique set of symptoms that affect the body's motor functions. Understanding this condition is crucial for both healthcare professionals and individuals who may be affected by it.

Understanding Man In Barrel Syndrome

Man In Barrel Syndrome is a neurological disorder that primarily affects the motor functions of the body. Individuals with this syndrome experience a loss of motor control in their limbs, particularly in the arms and legs, while the trunk and core muscles remain relatively unaffected. This creates a stark contrast where the limbs appear paralyzed or severely weakened, while the core muscles maintain their strength. The condition is often compared to a "man in a barrel" because the affected individual appears to be trapped within their own body, with limited mobility in their extremities.

Symptoms of Man In Barrel Syndrome

The symptoms of Man In Barrel Syndrome can vary from person to person, but there are some common indicators that healthcare professionals look for when diagnosing this condition. These symptoms include:

  • Paralysis or Weakness in Limbs: The most prominent symptom is the loss of motor control in the arms and legs. This can range from mild weakness to complete paralysis.
  • Preserved Trunk Strength: Despite the weakness in the limbs, individuals with this syndrome often retain normal or near-normal strength in their trunk and core muscles.
  • Sensory Impairment: Some individuals may experience sensory impairment, such as numbness or tingling in the affected limbs.
  • Difficulty with Fine Motor Skills: Tasks that require fine motor skills, such as writing or buttoning a shirt, can become challenging or impossible.
  • Muscle Atrophy: Over time, the affected muscles may atrophy, leading to a noticeable decrease in muscle mass.

Causes of Man In Barrel Syndrome

The exact causes of Man In Barrel Syndrome are not fully understood, but researchers have identified several potential factors that may contribute to its development. These include:

  • Neurological Damage: Damage to the spinal cord or brain can disrupt the signals sent to the muscles, leading to paralysis or weakness.
  • Genetic Factors: In some cases, genetic mutations may play a role in the development of this syndrome.
  • Autoimmune Disorders: Conditions where the immune system attacks the body's own tissues can sometimes lead to neurological symptoms.
  • Infections: Certain infections, such as viral or bacterial infections, can affect the nervous system and cause symptoms similar to Man In Barrel Syndrome.
  • Traumatic Injuries: Severe injuries to the spinal cord or brain can result in motor function impairments.

Diagnosing Man In Barrel Syndrome

Diagnosing Man In Barrel Syndrome involves a comprehensive evaluation by a healthcare professional. The diagnostic process typically includes:

  • Medical History: A detailed medical history is taken to understand the onset and progression of symptoms.
  • Physical Examination: A thorough physical examination is conducted to assess muscle strength, reflexes, and sensory function.
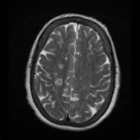
  • Imaging Tests: Imaging tests such as MRI or CT scans may be used to visualize the brain and spinal cord for any abnormalities.
  • Electromyography (EMG): This test measures the electrical activity of muscles and can help identify nerve damage.
  • Blood Tests: Blood tests may be ordered to rule out infections or autoimmune disorders.
  • Genetic Testing: In some cases, genetic testing may be recommended to identify any underlying genetic mutations.

📝 Note: Early and accurate diagnosis is crucial for effective management and treatment of Man In Barrel Syndrome.

Treatment Options for Man In Barrel Syndrome

While there is no cure for Man In Barrel Syndrome, various treatment options can help manage symptoms and improve quality of life. These include:

  • Physical Therapy: Regular physical therapy can help maintain muscle strength and flexibility, and improve mobility.
  • Occupational Therapy: Occupational therapy focuses on helping individuals perform daily activities despite their limitations.
  • Medications: Medications may be prescribed to manage pain, reduce muscle spasms, or treat underlying conditions.
  • Assistive Devices: Devices such as wheelchairs, braces, or orthotics can provide support and enhance mobility.
  • Surgery: In some cases, surgical interventions may be recommended to address specific issues, such as spinal cord compression.

Living with Man In Barrel Syndrome

Living with Man In Barrel Syndrome can be challenging, but with the right support and resources, individuals can lead fulfilling lives. Here are some strategies to help manage the condition:

  • Support Groups: Joining support groups can provide emotional support and practical advice from others who are going through similar experiences.
  • Education and Awareness: Educating family, friends, and the community about the condition can help reduce stigma and increase understanding.
  • Adaptive Techniques: Learning adaptive techniques for daily activities can make tasks easier and more manageable.
  • Mental Health Support: Seeking mental health support can help individuals cope with the emotional challenges of living with a chronic condition.

It is important to note that the impact of Man In Barrel Syndrome can vary widely among individuals. Some may experience mild symptoms that can be managed with minimal intervention, while others may face more severe challenges that require ongoing medical care and support.

Research and Future Directions

Research into Man In Barrel Syndrome is ongoing, with scientists and healthcare professionals working to better understand the condition and develop more effective treatments. Some areas of focus include:

  • Genetic Research: Identifying genetic mutations associated with the syndrome can help in developing targeted therapies.
  • Neuroimaging Studies: Advanced neuroimaging techniques can provide insights into the brain and spinal cord abnormalities that contribute to the condition.
  • Clinical Trials: Clinical trials are essential for testing new treatments and interventions, and for improving the quality of life for individuals with Man In Barrel Syndrome.

As research continues, there is hope that new therapies and interventions will be developed to better manage and potentially cure this condition.

Case Studies and Real-Life Examples

To better understand the impact of Man In Barrel Syndrome, it can be helpful to look at real-life examples and case studies. While each individual's experience is unique, these stories can provide valuable insights into the challenges and triumphs of living with this condition.

One notable case study involves a young woman named Sarah, who was diagnosed with Man In Barrel Syndrome at the age of 25. Sarah's symptoms included severe weakness in her arms and legs, making it difficult for her to perform daily tasks. Despite her challenges, Sarah remained determined to live a fulfilling life. She underwent extensive physical therapy and learned adaptive techniques to manage her condition. With the support of her family and friends, Sarah was able to complete her education and pursue a career in social work. Her story serves as an inspiration to others facing similar challenges, demonstrating that with the right support and determination, it is possible to overcome the obstacles posed by Man In Barrel Syndrome.

Another example is John, a 40-year-old man who was diagnosed with the syndrome after a traumatic injury. John's condition was more severe, and he required ongoing medical care and support. Despite his limitations, John found ways to stay active and engaged in his community. He participated in support groups and advocated for greater awareness of the condition. John's resilience and positive attitude helped him navigate the challenges of living with Man In Barrel Syndrome and inspired those around him.

Support and Resources

For individuals and families affected by Man In Barrel Syndrome, accessing the right support and resources is crucial. Here are some organizations and resources that can provide valuable information and assistance:

Organization Description
National Institute of Neurological Disorders and Stroke (NINDS) Provides information and resources on neurological disorders, including Man In Barrel Syndrome.
Muscular Dystrophy Association (MDA) Offers support and resources for individuals with muscle and nerve disorders, including Man In Barrel Syndrome.
Spinal Cord Injury Association Provides support and resources for individuals with spinal cord injuries, which can sometimes lead to symptoms similar to Man In Barrel Syndrome.

These organizations can provide a wealth of information, support, and resources to help individuals and families navigate the challenges of living with Man In Barrel Syndrome.

In addition to these organizations, online forums and social media groups can be valuable sources of support and information. Connecting with others who are going through similar experiences can provide a sense of community and shared understanding.

It is important to remember that while Man In Barrel Syndrome presents significant challenges, it is also a condition that can be managed with the right support and resources. By staying informed, seeking appropriate medical care, and connecting with supportive communities, individuals with this syndrome can lead fulfilling and meaningful lives.

In conclusion, Man In Barrel Syndrome is a complex and challenging condition that affects motor functions and can significantly impact an individual’s quality of life. Understanding the symptoms, causes, and treatment options is essential for effective management and support. With ongoing research and the development of new therapies, there is hope for improved outcomes and a better quality of life for those affected by this syndrome. By raising awareness and providing access to the right resources, we can help individuals with Man In Barrel Syndrome navigate their challenges and lead fulfilling lives.

Related Terms:

  • bilateral upper extremity weakness causes
  • male in a barrel syndrome
  • man in a barrel disease
  • guy in a barrel
  • person in a barrel syndrome
  • barrel disease
Facebook Twitter WhatsApp
Related Posts
Don't Miss