Learning

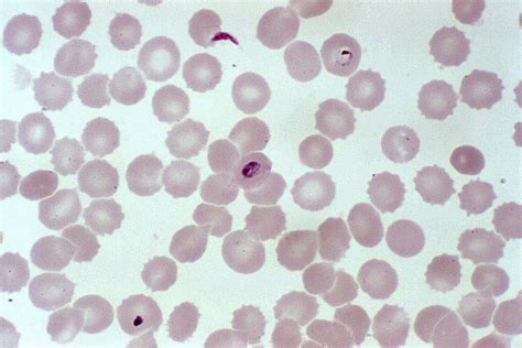
Malaria In Blood Smear

Malaria In Blood Smear
Malaria In Blood Smear

Malaria is a life-threatening disease caused by parasites that are transmitted to people through the bites of infected female Anopheles mosquitoes. It is a significant global health concern, particularly in tropical and subtropical regions. One of the critical methods for diagnosing malaria is through the examination of a malaria in blood smear. This diagnostic technique involves examining a drop of blood under a microscope to identify the presence of malaria parasites.

Understanding Malaria

Malaria is caused by Plasmodium parasites. The most common species that infect humans are:

  • Plasmodium falciparum
  • Plasmodium vivax
  • Plasmodium ovale
  • Plasmodium malariae
  • Plasmodium knowlesi

Each species has different characteristics and can cause varying levels of severity. Plasmodium falciparum is the most deadly, often leading to severe malaria and even death if not treated promptly.

The Importance of Early Diagnosis

Early diagnosis of malaria is crucial for effective treatment and prevention of complications. Symptoms of malaria can include fever, chills, and flu-like illness, which can be easily mistaken for other diseases. Therefore, a definitive diagnosis through a malaria in blood smear is essential.

Preparing a Blood Smear for Malaria Diagnosis

Preparing a blood smear involves several steps to ensure accurate results. Here is a detailed guide:

Materials Needed

  • Glass slides
  • Cover slips
  • Microscope
  • Lancet or needle for blood collection
  • Antiseptic wipes
  • Gentian violet or Giemsa stain
  • Buffer solution
  • Distilled water
  • Paper towels

Steps to Prepare a Blood Smear

1. Collect the Blood Sample: Clean the area where the blood will be drawn with an antiseptic wipe. Use a lancet or needle to prick the skin and collect a drop of blood.

2. Prepare the Slide: Place a clean glass slide on a flat surface. Using a pipette or a loop, place a small drop of blood near one end of the slide.

3. Spread the Blood: Place another slide at a 30-degree angle to the first slide and gently touch the drop of blood. Allow the blood to spread across the slide by pulling the second slide along the first. This creates a thin layer of blood.

4. Air Dry the Smear: Allow the blood smear to air dry completely. This usually takes about 10-15 minutes.

5. Fix the Smear: Once the smear is dry, fix it by immersing the slide in methanol for about 1-2 minutes. This step helps to preserve the blood cells and parasites.

6. Stain the Smear: Prepare the stain by mixing Gentian violet or Giemsa stain with a buffer solution according to the manufacturer's instructions. Immerse the fixed slide in the stain for about 20-30 minutes.

7. Wash the Smear: Rinse the slide with distilled water to remove excess stain. Allow it to air dry again.

8. Examine Under a Microscope: Place the stained slide under a microscope and examine it at 100x magnification. Look for the presence of malaria parasites within the red blood cells.

🔍 Note: Proper staining and fixation are crucial for accurate identification of malaria parasites. Ensure that the stain is evenly distributed and that the smear is not too thick or too thin.

Interpreting the Results of a Malaria in Blood Smear

Interpreting the results of a malaria in blood smear requires a trained eye and knowledge of the different stages of malaria parasites. Here are some key points to consider:

  • Parasite Density: The number of parasites per field of view can indicate the severity of the infection. Higher parasite density generally means a more severe infection.
  • Parasite Species: Identifying the species of Plasmodium is important for determining the appropriate treatment. For example, Plasmodium falciparum requires different treatment protocols compared to Plasmodium vivax.
  • Parasite Stages: Different stages of the parasite's life cycle can be observed, including rings, trophozoites, schizonts, and gametocytes. Each stage has distinct morphological features.

Here is a table summarizing the key features of different Plasmodium species:

Species Characteristic Features Common Symptoms
Plasmodium falciparum Rings, trophozoites, schizonts with multiple merozoites Severe malaria, cerebral malaria, anemia
Plasmodium vivax Rings, trophozoites, schizonts with fewer merozoites, amoeboid trophozoites Fever, chills, headache, relapsing malaria
Plasmodium ovale Rings, trophozoites, schizonts, oval-shaped infected red blood cells Fever, chills, headache, relapsing malaria
Plasmodium malariae Rings, trophozoites, schizonts with fewer merozoites, band-shaped trophozoites Fever, chills, headache, chronic malaria
Plasmodium knowlesi Rings, trophozoites, schizonts with multiple merozoites, similar to P. falciparum Severe malaria, fever, chills, headache

Challenges in Malaria Diagnosis

While the malaria in blood smear method is a gold standard for malaria diagnosis, it has several challenges:

  • Skill Requirement: Accurate diagnosis requires trained personnel who can identify the parasites under a microscope.
  • Time-Consuming: Preparing and examining a blood smear can be time-consuming, which may delay treatment.
  • Low Parasite Density: In some cases, the parasite density may be too low to detect, leading to false negatives.
  • Variability in Staining: Inconsistent staining can affect the accuracy of the diagnosis.

To overcome these challenges, rapid diagnostic tests (RDTs) and molecular methods such as polymerase chain reaction (PCR) are increasingly being used. These methods provide quicker results and can be more sensitive, especially in low parasite density cases.

Prevention and Control of Malaria

Preventing malaria involves a multi-faceted approach that includes:

  • Vector Control: Reducing the mosquito population through insecticide-treated nets, indoor residual spraying, and environmental management.
  • Chemoprophylaxis: Using antimalarial drugs to prevent infection in high-risk individuals.
  • Early Diagnosis and Treatment: Prompt diagnosis and treatment of malaria cases to prevent complications and transmission.
  • Education and Awareness: Educating communities about malaria prevention and control measures.

Effective prevention and control strategies are essential for reducing the global burden of malaria. Early diagnosis through a malaria in blood smear plays a critical role in this effort by enabling timely treatment and preventing further transmission.

Malaria remains a significant public health challenge, particularly in resource-limited settings. Early diagnosis through a malaria in blood smear is a cornerstone of malaria control efforts. By understanding the importance of this diagnostic method and the challenges associated with it, healthcare providers can improve the accuracy and timeliness of malaria diagnosis, leading to better patient outcomes and reduced transmission.

In conclusion, the examination of a malaria in blood smear is a vital tool in the fight against malaria. It provides a definitive diagnosis that guides treatment and helps in the control of the disease. While challenges exist, ongoing research and the development of new diagnostic methods continue to enhance our ability to detect and manage malaria effectively. By prioritizing early diagnosis and comprehensive prevention strategies, we can make significant strides in reducing the global burden of malaria.

Related Terms:

  • positive malaria thick smear
  • malaria parasite in peripheral smear
  • malaria smear thin and thick
  • peripheral blood smear for malaria
  • malaria parasite in thick smear
  • blood smear for malaria parasite
Facebook Twitter WhatsApp
Related Posts
Don't Miss