Learning

Lumbosacral Transitional Segment

Lumbosacral Transitional Segment
Lumbosacral Transitional Segment

Understanding the lumbosacral transitional segment is crucial for healthcare professionals, particularly those involved in spinal health and orthopedics. This segment is a critical area where the lumbar spine transitions into the sacrum, and its unique anatomy and biomechanics can significantly impact spinal health and mobility. This post delves into the anatomy, common issues, diagnostic methods, and treatment options related to the lumbosacral transitional segment, providing a comprehensive overview for both medical professionals and patients.

Anatomy of the Lumbosacral Transitional Segment

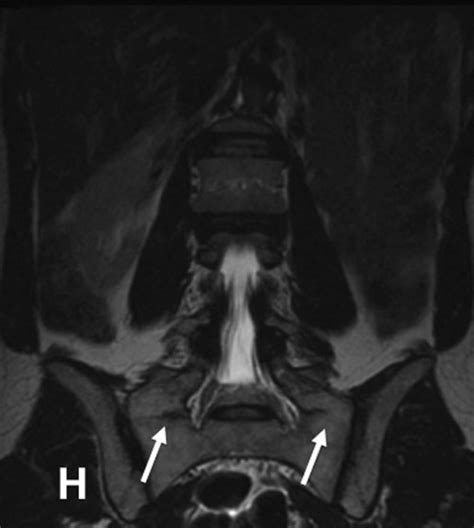
The lumbosacral transitional segment is the region where the lumbar spine meets the sacrum. This area is characterized by a complex interplay of bones, muscles, and ligaments that facilitate movement and provide stability. The lumbar spine typically consists of five vertebrae (L1-L5), while the sacrum is a triangular bone at the base of the spine that fuses with the coccyx to form the posterior part of the pelvis.

The lumbosacral junction is a critical area for load transfer and movement. The last lumbar vertebra (L5) and the first sacral vertebra (S1) are particularly important in this region. The L5-S1 disc is a common site for degenerative changes and herniations due to the significant mechanical stress it endures. Understanding the anatomy of this segment is essential for diagnosing and treating conditions that affect spinal health.

Common Issues Associated with the Lumbosacral Transitional Segment

The lumbosacral transitional segment is prone to various issues due to its complex anatomy and the mechanical stresses it experiences. Some of the most common problems include:

  • Degenerative Disc Disease: This condition occurs when the intervertebral discs between the vertebrae degenerate, leading to pain, stiffness, and reduced mobility. The L5-S1 disc is particularly susceptible to degeneration due to the high loads it bears.
  • Herniated Discs: A herniated disc occurs when the inner gel-like substance of the disc protrudes through a tear in the outer layer, often causing pain, numbness, and weakness in the lower back and legs. Herniations at the L5-S1 level can be particularly debilitating.
  • Spondylolisthesis: This condition involves the forward slippage of one vertebra over another, often occurring at the L5-S1 level. It can cause significant pain and neurological symptoms, including sciatica.
  • Spinal Stenosis: Spinal stenosis is the narrowing of the spinal canal, which can compress the spinal cord and nerves. This condition is common in the lumbosacral region and can lead to pain, numbness, and weakness in the legs.
  • Facet Joint Arthritis: The facet joints in the spine can develop arthritis, leading to pain and stiffness. This condition is common in the lumbosacral region and can be exacerbated by degenerative changes in the discs and vertebrae.

Diagnostic Methods for Lumbosacral Issues

Accurate diagnosis of conditions affecting the lumbosacral transitional segment is essential for effective treatment. Several diagnostic methods are commonly used to evaluate this region:

  • Physical Examination: A thorough physical examination can help identify areas of pain, muscle weakness, and reduced range of motion. The healthcare provider may perform specific tests to assess nerve function and spinal stability.
  • Imaging Studies: Imaging techniques such as X-rays, MRI, and CT scans are crucial for visualizing the anatomy of the lumbosacral region. These studies can reveal degenerative changes, herniated discs, spinal stenosis, and other abnormalities.
  • Electromyography (EMG): EMG is a diagnostic procedure that measures the electrical activity of muscles and nerves. It can help identify nerve compression or damage, which is common in lumbosacral conditions.
  • Discography: This invasive procedure involves injecting a contrast dye into the intervertebral discs and taking X-rays to assess disc integrity. It is often used to confirm the source of pain in patients with chronic back pain.

Treatment Options for Lumbosacral Conditions

Treatment for conditions affecting the lumbosacral transitional segment can range from conservative measures to surgical interventions, depending on the severity of the condition and the patient's symptoms. Some common treatment options include:

  • Physical Therapy: Physical therapy is often the first line of treatment for lumbosacral conditions. It involves exercises and manual therapies designed to improve strength, flexibility, and range of motion. Physical therapists may also use modalities such as heat, ice, and electrical stimulation to manage pain and inflammation.
  • Medications: Over-the-counter and prescription medications can help manage pain and inflammation. Nonsteroidal anti-inflammatory drugs (NSAIDs), muscle relaxants, and pain relievers are commonly prescribed for lumbosacral conditions.
  • Injections: Epidural steroid injections and facet joint injections can provide temporary relief from pain and inflammation. These injections are often used in conjunction with other treatments, such as physical therapy and medications.
  • Surgical Interventions: In severe cases, surgery may be necessary to address structural issues in the lumbosacral region. Common surgical procedures include discectomy, laminectomy, spinal fusion, and artificial disc replacement. These procedures aim to relieve pressure on nerves, stabilize the spine, and restore function.

📝 Note: Surgical interventions are typically considered only after conservative treatments have failed to provide adequate relief. The decision to undergo surgery should be made in consultation with a healthcare provider, considering the risks and benefits.

Preventive Measures for Lumbosacral Health

Maintaining the health of the lumbosacral transitional segment is essential for overall spinal health and mobility. Several preventive measures can help reduce the risk of developing lumbosacral conditions:

  • Regular Exercise: Engaging in regular physical activity, particularly exercises that strengthen the core and back muscles, can help support the spine and reduce the risk of injury. Low-impact activities such as swimming, cycling, and yoga are beneficial for spinal health.
  • Proper Lifting Techniques: Using proper lifting techniques can help prevent strain and injury to the lumbosacral region. This includes bending at the knees, keeping the back straight, and lifting with the legs rather than the back.
  • Maintaining a Healthy Weight: Excess weight can place additional stress on the spine, increasing the risk of degenerative changes and injury. Maintaining a healthy weight through a balanced diet and regular exercise can help support spinal health.
  • Ergonomic Workstations: Ensuring that workstations are ergonomically designed can help reduce strain on the spine. This includes using chairs with proper lumbar support, positioning computer monitors at eye level, and taking regular breaks to stretch and move.

Lumbosacral Transitional Segment and Sports Injuries

The lumbosacral transitional segment is particularly vulnerable to injuries in athletes and individuals who engage in high-impact activities. Sports such as football, weightlifting, and gymnastics can place significant stress on this region, leading to conditions such as spondylolysis and spondylolisthesis. Understanding the biomechanics of the lumbosacral region is essential for preventing and managing sports-related injuries.

Spondylolysis is a condition characterized by a defect or fracture in the pars interarticularis, a small bone in the vertebrae. This condition is common in athletes who engage in repetitive hyperextension of the spine, such as gymnasts and football linemen. Spondylolisthesis, the forward slippage of one vertebra over another, can occur as a result of spondylolysis or other degenerative changes in the spine.

Preventing sports-related injuries to the lumbosacral region involves a combination of proper training, conditioning, and equipment. Athletes should focus on strengthening the core and back muscles, using proper lifting techniques, and wearing appropriate protective gear. Regular check-ups and screenings can also help identify potential issues early, allowing for timely intervention and treatment.

Lumbosacral Transitional Segment and Aging

As individuals age, the lumbosacral transitional segment undergoes natural degenerative changes that can lead to pain and mobility issues. Conditions such as osteoarthritis, degenerative disc disease, and spinal stenosis are more common in older adults. Understanding the aging process and its impact on the lumbosacral region is essential for maintaining spinal health and quality of life.

Osteoarthritis is a degenerative joint disease that affects the facet joints in the spine. This condition can lead to pain, stiffness, and reduced range of motion. Degenerative disc disease involves the gradual breakdown of the intervertebral discs, leading to pain and instability. Spinal stenosis, the narrowing of the spinal canal, can compress the spinal cord and nerves, causing pain, numbness, and weakness in the legs.

Managing age-related changes in the lumbosacral region involves a combination of lifestyle modifications, medications, and, in some cases, surgical interventions. Regular exercise, maintaining a healthy weight, and using proper lifting techniques can help support spinal health. Medications such as NSAIDs and pain relievers can manage symptoms, while physical therapy and injections can provide temporary relief. In severe cases, surgical procedures such as spinal fusion and laminectomy may be necessary to address structural issues and restore function.

Lumbosacral Transitional Segment and Pregnancy

Pregnancy places unique demands on the lumbosacral transitional segment, as the growing uterus and shifting center of gravity can lead to increased stress and strain on the spine. Understanding the impact of pregnancy on the lumbosacral region is essential for managing discomfort and preventing injuries.

During pregnancy, the hormone relaxin is released, which loosens the ligaments and joints in the pelvis and spine to prepare for childbirth. This increased flexibility can lead to instability and pain in the lumbosacral region. Additionally, the growing uterus can place pressure on the nerves and blood vessels in the pelvis, leading to discomfort and swelling.

Managing lumbosacral discomfort during pregnancy involves a combination of lifestyle modifications, exercises, and supportive devices. Wearing a maternity support belt can help distribute the weight of the uterus and reduce strain on the spine. Engaging in gentle exercises, such as prenatal yoga and swimming, can help strengthen the core and back muscles, improving stability and reducing pain. Using proper lifting techniques and taking frequent breaks to rest and stretch can also help manage discomfort.

📝 Note: Always consult with a healthcare provider before starting any new exercise or treatment program during pregnancy. They can provide personalized recommendations based on individual needs and health status.

The lumbosacral transitional segment is particularly vulnerable to injuries in individuals who engage in physically demanding jobs. Occupations such as construction, nursing, and manual labor can place significant stress on this region, leading to conditions such as herniated discs, spinal stenosis, and facet joint arthritis. Understanding the biomechanics of the lumbosacral region is essential for preventing and managing work-related injuries.

Preventing work-related injuries to the lumbosacral region involves a combination of proper training, ergonomic workstations, and regular breaks. Employers should provide training on proper lifting techniques, using mechanical aids, and maintaining proper posture. Ergonomic workstations, such as adjustable chairs and desks, can help reduce strain on the spine. Regular breaks to stretch and move can also help prevent fatigue and injury.

Managing work-related injuries to the lumbosacral region involves a combination of medications, physical therapy, and, in some cases, surgical interventions. Medications such as NSAIDs and pain relievers can manage symptoms, while physical therapy and injections can provide temporary relief. In severe cases, surgical procedures such as discectomy and spinal fusion may be necessary to address structural issues and restore function.

Lumbosacral Transitional Segment and Posture

Proper posture is essential for maintaining the health of the lumbosacral transitional segment. Poor posture can place additional stress on the spine, leading to pain, stiffness, and reduced mobility. Understanding the impact of posture on the lumbosacral region is crucial for preventing and managing spinal health issues.

Maintaining proper posture involves a combination of awareness, strength, and flexibility. Standing and sitting with the back straight, shoulders relaxed, and chin tucked can help distribute weight evenly and reduce strain on the spine. Engaging in regular exercises, such as yoga and Pilates, can help strengthen the core and back muscles, improving posture and stability. Using ergonomic chairs and desks can also help support proper posture and reduce strain on the spine.

Managing posture-related issues in the lumbosacral region involves a combination of lifestyle modifications, exercises, and, in some cases, supportive devices. Wearing a posture corrector can help train the body to maintain proper alignment. Engaging in regular exercises, such as stretching and strengthening, can help improve flexibility and strength. Using proper lifting techniques and taking frequent breaks to stretch and move can also help manage discomfort and prevent injuries.

Lumbosacral Transitional Segment and Nutrition

Nutrition plays a crucial role in maintaining the health of the lumbosacral transitional segment. A balanced diet rich in essential nutrients can support bone health, reduce inflammation, and promote overall spinal health. Understanding the impact of nutrition on the lumbosacral region is essential for preventing and managing spinal health issues.

A balanced diet should include a variety of nutrient-dense foods, such as fruits, vegetables, lean proteins, and whole grains. Foods rich in calcium and vitamin D, such as dairy products and leafy greens, can support bone health. Omega-3 fatty acids, found in fatty fish and nuts, can help reduce inflammation and support joint health. Staying hydrated is also essential for maintaining the health of the intervertebral discs, which are composed primarily of water.

Managing nutrition-related issues in the lumbosacral region involves a combination of dietary modifications and, in some cases, supplements. Consulting with a healthcare provider or registered dietitian can help identify specific nutritional needs and develop a personalized plan. Supplements, such as glucosamine and chondroitin, can help support joint health and reduce inflammation. However, it is essential to consult with a healthcare provider before starting any new supplement regimen.

Lumbosacral Transitional Segment and Lifestyle

Lifestyle factors play a significant role in maintaining the health of the lumbosacral transitional segment. Engaging in regular physical activity, maintaining a healthy weight, and avoiding smoking can support spinal health and reduce the risk of injuries. Understanding the impact of lifestyle on the lumbosacral region is crucial for preventing and managing spinal health issues.

Regular physical activity, particularly exercises that strengthen the core and back muscles, can help support the spine and reduce the risk of injury. Low-impact activities such as swimming, cycling, and yoga are beneficial for spinal health. Maintaining a healthy weight through a balanced diet and regular exercise can help reduce stress on the spine and prevent degenerative changes. Avoiding smoking is also essential, as it can impair blood flow and nutrient delivery to the spine, leading to degenerative changes and increased risk of injury.

Managing lifestyle-related issues in the lumbosacral region involves a combination of behavioral modifications and, in some cases, professional support. Engaging in regular physical activity, maintaining a healthy weight, and avoiding smoking can help support spinal health. Consulting with a healthcare provider or lifestyle coach can help identify specific needs and develop a personalized plan. Support groups and community resources can also provide encouragement and motivation for making positive lifestyle changes.

Lumbosacral Transitional Segment and Ergonomics

Ergonomics plays a crucial role in maintaining the health of the lumbosacral transitional segment. Proper ergonomic design can help reduce strain on the spine, improve posture, and prevent injuries. Understanding the impact of ergonomics on the lumbosacral region is essential for creating a safe and healthy work environment.

Ergonomic workstations should be designed to support proper posture and reduce strain on the spine. This includes using adjustable chairs and desks, positioning computer monitors at eye level, and taking regular breaks to stretch and move. Employers should provide training on proper lifting techniques, using mechanical aids, and maintaining proper posture. Ergonomic tools and equipment, such as lifting belts and back supports, can also help reduce strain on the spine.

Managing ergonomic-related issues in the lumbosacral region involves a combination of workplace modifications and, in some cases, professional support. Consulting with an ergonomics specialist can help identify specific needs and develop a personalized plan. Employers should provide training and resources to support ergonomic practices and create a safe and healthy work environment. Regular check-ups and screenings can also help identify potential issues early, allowing for timely intervention and treatment.

Lumbosacral Transitional Segment and Technology

Advances in technology have significantly improved the diagnosis and treatment of conditions affecting the lumbosacral transitional segment. Imaging techniques, such as MRI and CT scans, provide detailed visualizations of the spine, allowing for accurate diagnosis and treatment planning. Surgical techniques, such as minimally invasive procedures, offer less invasive options for addressing structural issues in the spine.

Imaging techniques, such as MRI and CT scans, provide detailed visualizations of the spine, allowing for accurate diagnosis and treatment planning. These techniques can reveal degenerative changes, herniated discs, spinal stenosis, and other abnormalities. Surgical techniques, such as minimally invasive procedures, offer less invasive options for addressing structural issues in the spine. These procedures can reduce recovery time, minimize scarring, and improve outcomes.

Managing technology-related issues in the lumbosacral region involves a combination of advanced diagnostic and treatment options and, in some cases, professional support. Consulting with a healthcare provider can help identify specific needs and develop a personalized plan. Advanced imaging techniques and surgical procedures can provide accurate diagnosis and effective treatment. Regular check-ups and screenings can also help identify potential issues early, allowing for timely intervention and treatment.

Lumbosacral Transitional Segment and Rehabilitation

Rehabilitation plays a crucial role in the recovery and management of conditions affecting the lumbosacral transitional segment. A comprehensive rehabilitation program can help improve strength, flexibility, and mobility, reducing the risk of future injuries and promoting overall spinal health. Understanding the impact of rehabilitation on the lumbosacral region is essential for developing an effective treatment plan.

A comprehensive rehabilitation program should include a combination of exercises, manual therapies, and modalities. Exercises should focus on strengthening the core and back muscles, improving flexibility, and enhancing range of motion. Manual therapies, such as massage and joint mobilization, can help reduce pain and improve mobility. Modalities, such as heat, ice, and electrical stimulation, can help manage pain and inflammation.

Managing rehabilitation-related issues in the lumbosacral region involves a combination of personalized treatment plans and, in some cases, professional support. Consulting with a physical therapist can help identify specific needs and develop a personalized plan. A comprehensive rehabilitation program can improve strength, flexibility, and mobility, reducing the risk of future injuries and promoting overall spinal health. Regular check-ups and screenings can also help identify potential issues early, allowing for timely intervention and treatment.

Lumbosacral Transitional Segment and Pain Management

Related Terms:

  • transitional anatomy with lumbarized s1
  • transitional lumbosacral anatomy with lumbarization
  • transitional anatomy at lumbosacral junction
  • what is transitional lumbosacral vertebra
  • transitional segment lumbosacral junction
  • transitional thoracolumbar and lumbosacral anatomy
Facebook Twitter WhatsApp
Related Posts
Don't Miss