Learning

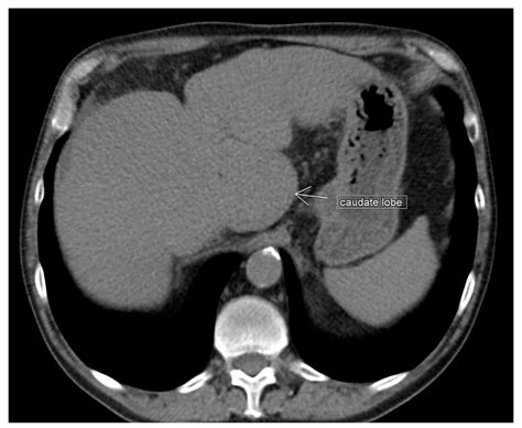
Liver Caudate Lobe

Liver Caudate Lobe
Liver Caudate Lobe

The liver is a vital organ in the human body, responsible for numerous essential functions, including detoxification, protein synthesis, and the production of biochemicals necessary for digestion. One of the lesser-known but equally important parts of the liver is the Liver Caudate Lobe. This lobe plays a crucial role in the overall health and functionality of the liver. Understanding the Liver Caudate Lobe and its significance can provide valuable insights into liver health and related medical conditions.

The Anatomy of the Liver Caudate Lobe

The liver is divided into several lobes, each with distinct functions and anatomical features. The Liver Caudate Lobe is one of these lobes, located in the posterior and superior aspect of the liver. It is situated between the inferior vena cava and the ligamentum venosum. The Liver Caudate Lobe is unique because it receives blood supply from both the hepatic artery and the portal vein, making it a critical component of the liver's vascular system.

The Liver Caudate Lobe is further divided into two segments: the caudate process and the paracaval portion. The caudate process extends to the left and is in close proximity to the ligamentum venosum, while the paracaval portion is adjacent to the inferior vena cava. This anatomical positioning allows the Liver Caudate Lobe to play a significant role in the liver's overall function.

The Function of the Liver Caudate Lobe

The Liver Caudate Lobe performs several essential functions that contribute to the liver's overall health. One of its primary roles is to filter toxins and waste products from the blood. The lobe's strategic location and vascular supply enable it to efficiently remove harmful substances, ensuring that the blood circulating through the body is clean and free of toxins.

Additionally, the Liver Caudate Lobe is involved in the production of bile, a crucial substance for digestion. Bile is produced by hepatocytes (liver cells) and stored in the gallbladder. It aids in the breakdown of fats and the absorption of fat-soluble vitamins. The Liver Caudate Lobe contributes to this process by producing and secreting bile into the biliary system.

The Liver Caudate Lobe also plays a role in the synthesis of proteins, including albumin and clotting factors. These proteins are essential for maintaining the body's fluid balance and ensuring proper blood clotting. The lobe's ability to produce these proteins is vital for overall health and well-being.

Medical Conditions Associated with the Liver Caudate Lobe

Several medical conditions can affect the Liver Caudate Lobe, leading to various health issues. One of the most common conditions is liver cirrhosis, a progressive disease characterized by the replacement of healthy liver tissue with scar tissue. Cirrhosis can significantly impair the function of the Liver Caudate Lobe, leading to complications such as portal hypertension and liver failure.

Another condition that can affect the Liver Caudate Lobe is hepatocellular carcinoma (HCC), a type of liver cancer. HCC often originates in the Liver Caudate Lobe due to its unique vascular supply and anatomical position. Early detection and treatment of HCC are crucial for improving patient outcomes and survival rates.

Budd-Chiari syndrome is another medical condition that can impact the Liver Caudate Lobe. This syndrome is characterized by the obstruction of the hepatic veins, leading to impaired blood flow and liver dysfunction. The Liver Caudate Lobe is particularly vulnerable to this condition due to its proximity to the inferior vena cava.

Diagnosis and Treatment of Liver Caudate Lobe Disorders

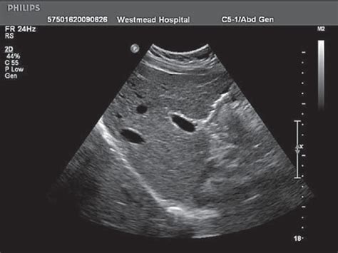
Diagnosing disorders of the Liver Caudate Lobe involves a combination of imaging techniques and laboratory tests. Imaging studies such as ultrasound, computed tomography (CT), and magnetic resonance imaging (MRI) can provide detailed visualizations of the liver and its lobes. These imaging techniques can help identify abnormalities, such as tumors or cysts, in the Liver Caudate Lobe.

Laboratory tests, including liver function tests and blood tests, can also provide valuable information about the health of the Liver Caudate Lobe. Elevated levels of liver enzymes, such as alanine aminotransferase (ALT) and aspartate aminotransferase (AST), may indicate liver damage or disease. Blood tests can also detect the presence of specific markers associated with liver cancer or other conditions.

Treatment options for disorders of the Liver Caudate Lobe depend on the underlying condition and its severity. For example, liver cirrhosis may require lifestyle changes, such as avoiding alcohol and maintaining a healthy diet, as well as medications to manage symptoms and complications. In severe cases, a liver transplant may be necessary to restore liver function.

For hepatocellular carcinoma, treatment options may include surgery, chemotherapy, radiation therapy, or targeted therapies. Early detection and intervention are crucial for improving patient outcomes and survival rates. Budd-Chiari syndrome may require anticoagulation therapy, thrombolysis, or surgical intervention to restore blood flow and alleviate symptoms.

Preventive Measures for Liver Caudate Lobe Health

Maintaining the health of the Liver Caudate Lobe involves adopting a healthy lifestyle and taking preventive measures to reduce the risk of liver disease. Some key preventive measures include:

  • Avoiding Alcohol: Excessive alcohol consumption can lead to liver damage and cirrhosis. Limiting alcohol intake or avoiding it altogether can help protect the Liver Caudate Lobe and overall liver health.
  • Maintaining a Healthy Diet: A balanced diet rich in fruits, vegetables, whole grains, and lean proteins can support liver function and reduce the risk of liver disease.
  • Regular Exercise: Regular physical activity can help maintain a healthy weight and reduce the risk of conditions such as non-alcoholic fatty liver disease (NAFLD).
  • Vaccinations: Getting vaccinated against hepatitis A and B can protect against viral infections that can lead to liver damage and disease.
  • Avoiding Toxins: Limiting exposure to environmental toxins, such as pesticides and chemicals, can help protect the Liver Caudate Lobe and overall liver health.

By adopting these preventive measures, individuals can significantly reduce the risk of liver disease and maintain the health of the Liver Caudate Lobe. Regular check-ups and screenings can also help detect any potential issues early, allowing for timely intervention and treatment.

📝 Note: Always consult with a healthcare provider for personalized advice and recommendations regarding liver health and preventive measures.

Research and Future Directions

Ongoing research is crucial for advancing our understanding of the Liver Caudate Lobe and its role in liver health. Scientists and medical professionals are continually exploring new diagnostic techniques, treatment options, and preventive strategies to improve outcomes for patients with liver diseases. Some areas of active research include:

  • Advanced Imaging Techniques: Developing more sophisticated imaging technologies to detect abnormalities in the Liver Caudate Lobe at an early stage.
  • Biomarkers: Identifying specific biomarkers that can indicate the presence of liver disease or cancer, allowing for earlier diagnosis and intervention.
  • Targeted Therapies: Exploring new targeted therapies that can specifically address disorders of the Liver Caudate Lobe, such as hepatocellular carcinoma.
  • Regenerative Medicine: Investigating the potential of regenerative medicine, including stem cell therapy, to repair damaged liver tissue and restore function.

These research efforts hold promise for improving the diagnosis, treatment, and prevention of liver diseases, ultimately enhancing the health and well-being of individuals with conditions affecting the Liver Caudate Lobe.

Researchers are also focusing on understanding the genetic and environmental factors that contribute to liver diseases. By identifying these factors, scientists can develop more personalized and effective treatment strategies. Additionally, advancements in genetic testing and counseling can help individuals assess their risk of developing liver diseases and take proactive measures to protect their liver health.

Collaboration between researchers, healthcare providers, and patients is essential for driving progress in liver health research. By working together, we can accelerate the development of new treatments and preventive measures, ultimately improving outcomes for individuals with liver diseases.

In conclusion, the Liver Caudate Lobe is a critical component of the liver, playing a vital role in detoxification, bile production, and protein synthesis. Understanding the anatomy, function, and medical conditions associated with the Liver Caudate Lobe is essential for maintaining liver health and addressing related medical issues. By adopting preventive measures, seeking timely diagnosis and treatment, and supporting ongoing research, individuals can protect the health of the Liver Caudate Lobe and overall liver function. Early detection and intervention are key to improving patient outcomes and quality of life.

Related Terms:

  • caudate lobe and quadrate
  • caudate vs quadrate lobe
  • caudate lobe of liver fish
  • lobes of liver diagram
  • caudate process of the liver
  • arterial supply to caudate lobe
Facebook Twitter WhatsApp
Related Posts
Don't Miss