Learning

Liver Abscess Icd 10

Liver Abscess Icd 10
Liver Abscess Icd 10

Liver abscesses are a serious medical condition that requires prompt diagnosis and treatment. Understanding the intricacies of this condition, including its ICD-10 coding, is crucial for healthcare professionals. This post delves into the details of liver abscesses, their diagnosis, treatment, and the importance of accurate Liver Abscess Icd 10 coding in medical practice.

Understanding Liver Abscesses

A liver abscess is a collection of pus that forms in the liver, often due to an infection. This condition can be life-threatening if not treated promptly. Liver abscesses can be classified into two main types: pyogenic (bacterial) and amebic (parasitic). Each type has distinct causes and treatment approaches.

Pyogenic liver abscesses are typically caused by bacterial infections, often originating from other parts of the body, such as the biliary tract, gastrointestinal tract, or through bloodstream infections. Amebic liver abscesses, on the other hand, are caused by the parasite Entamoeba histolytica, which is commonly found in areas with poor sanitation.

Symptoms and Diagnosis

The symptoms of a liver abscess can vary but often include:

  • Fever and chills
  • Abdominal pain, often in the upper right side
  • Nausea and vomiting
  • Weight loss
  • Jaundice (yellowing of the skin and eyes)

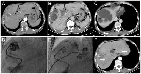
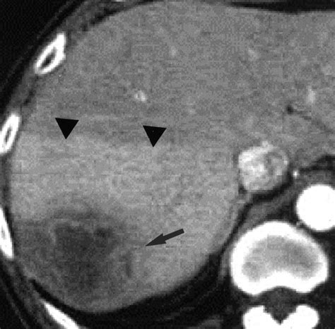
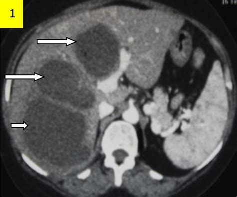
Diagnosing a liver abscess involves a combination of medical history, physical examination, and diagnostic tests. Imaging studies such as ultrasound, CT scans, and MRI are commonly used to visualize the abscess. Blood tests can help identify the underlying infection, and sometimes, a sample of the abscess fluid may be taken for culture and sensitivity testing.

Treatment Options

The treatment of liver abscesses depends on the type and severity of the infection. For pyogenic abscesses, antibiotics are the primary treatment. The choice of antibiotic depends on the suspected or identified bacterial cause. In some cases, drainage of the abscess may be necessary, either through percutaneous drainage or surgical intervention.

Amebic liver abscesses are typically treated with antiparasitic medications, such as metronidazole. In severe cases, drainage may also be required. Follow-up care is essential to ensure complete resolution of the abscess and to prevent recurrence.

Importance of Accurate ICD-10 Coding

Accurate coding of liver abscesses using the Liver Abscess Icd 10 system is crucial for several reasons. ICD-10 codes provide a standardized way to document and report diagnoses, which is essential for:

  • Ensuring proper reimbursement for medical services
  • Tracking public health trends and outbreaks
  • Facilitating research and clinical studies
  • Improving patient care through accurate documentation

The ICD-10 code for liver abscesses can vary depending on the type and specific details of the condition. For example, pyogenic liver abscesses may be coded under K75.0, while amebic liver abscesses may fall under different codes depending on the specific parasite involved.

πŸ“ Note: Always refer to the latest ICD-10 coding guidelines and updates to ensure accurate coding.

Coding Examples

Here are some examples of ICD-10 codes related to liver abscesses:

Type of Liver Abscess ICD-10 Code
Pyogenic liver abscess K75.0
Amebic liver abscess A06.3
Liver abscess, unspecified K75.9

It is important to note that the specific code used may depend on additional factors, such as the presence of complications or the need for surgical intervention. Healthcare providers should consult the latest ICD-10 coding manuals for the most accurate and up-to-date information.

Prevention and Management

Preventing liver abscesses involves addressing the underlying causes of infection. For pyogenic abscesses, this may include:

  • Prompt treatment of infections in other parts of the body
  • Maintaining good hygiene and sanitation practices
  • Avoiding risky behaviors that can lead to infections

For amebic liver abscesses, prevention focuses on:

  • Avoiding contaminated food and water
  • Practicing good hygiene, especially in areas with poor sanitation
  • Seeking prompt medical attention for symptoms of infection

Management of liver abscesses involves close monitoring and follow-up care. Patients may need repeated imaging studies to ensure the abscess is resolving and to detect any complications early. Long-term follow-up is also important to prevent recurrence and to address any underlying health issues that may have contributed to the development of the abscess.

πŸ“ Note: Patients with liver abscesses should follow their healthcare provider's instructions for follow-up care and monitoring.

Complications and Prognosis

Liver abscesses can lead to several complications if not treated promptly and effectively. These complications may include:

  • Sepsis (a severe infection that spreads throughout the body)
  • Liver failure
  • Perforation of the abscess, leading to peritonitis (inflammation of the lining of the abdominal cavity)
  • Spread of the infection to other organs

The prognosis for liver abscesses generally depends on the type and severity of the infection, as well as the timeliness of treatment. With prompt and appropriate medical intervention, many patients can recover fully. However, delayed treatment or severe infections can lead to serious complications and even death.

Regular follow-up and monitoring are essential to ensure complete resolution of the abscess and to prevent recurrence. Patients should adhere to their treatment plans and attend all scheduled follow-up appointments.

πŸ“ Note: Early detection and treatment of liver abscesses significantly improve the prognosis and reduce the risk of complications.

Final Thoughts

Liver abscesses are a serious medical condition that requires prompt diagnosis and treatment. Understanding the types, symptoms, and treatment options for liver abscesses is crucial for healthcare professionals. Accurate coding using the Liver Abscess Icd 10 system is essential for proper documentation, reimbursement, and public health tracking. Prevention and management strategies, along with close follow-up care, can help improve outcomes and prevent complications. By staying informed and vigilant, healthcare providers can effectively manage liver abscesses and improve patient outcomes.

Related Terms:

  • liver inflammation icd 10
  • history liver abscess icd 10
  • presacral abscess icd 10 code
  • splenic abscess icd 10
  • recurrent liver abscess icd 10
  • suspected liver abscess icd 10
Facebook Twitter WhatsApp
Related Posts
Don't Miss