Learning

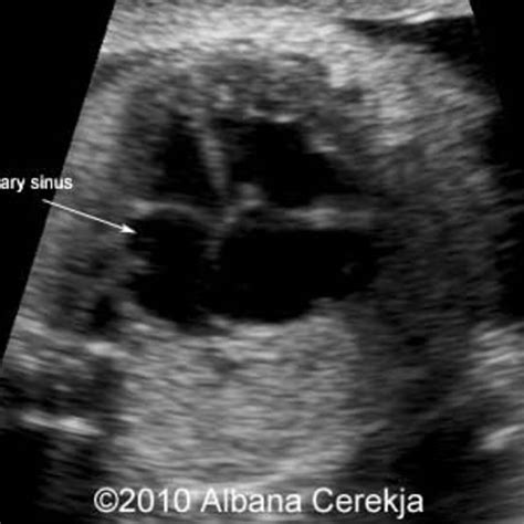
Left Superior Vena Cava

Left Superior Vena Cava
Left Superior Vena Cava

The human body is a marvel of complexity, with intricate systems and structures that work in harmony to maintain life. Among these structures is the Left Superior Vena Cava (LSVC), a rare anatomical variation that can have significant implications for medical procedures and diagnoses. This blog post delves into the details of the LSVC, its clinical significance, diagnostic methods, and management strategies.

Understanding the Left Superior Vena Cava

The Left Superior Vena Cava (LSVC) is an anomalous venous structure that drains blood from the upper body into the right atrium of the heart. Normally, the superior vena cava (SVC) is located on the right side of the body, draining blood from the head, neck, and upper extremities into the right atrium. However, in individuals with an LSVC, this venous return is partially or completely diverted through a vessel on the left side.

This anatomical variation is relatively rare, occurring in approximately 0.3% to 0.5% of the general population. It is often discovered incidentally during imaging studies or invasive procedures, such as cardiac catheterization or pacemaker implantation. The LSVC can be isolated or associated with other congenital heart defects, such as atrial septal defects or tetralogy of Fallot.

Clinical Significance of the Left Superior Vena Cava

The presence of an LSVC can have several clinical implications, particularly in the context of cardiac interventions and surgeries. Understanding the anatomy is crucial for planning and executing procedures safely and effectively. Some key points to consider include:

  • Pacemaker and Defibrillator Placement: The LSVC can complicate the placement of pacemaker or defibrillator leads, as the standard approach via the right subclavian vein may not be feasible. Alternative routes, such as the left subclavian or internal jugular veins, may need to be considered.
  • Cardiac Catheterization: During cardiac catheterization, the LSVC can affect the interpretation of hemodynamic data and the positioning of catheters. Awareness of this anomaly is essential to avoid complications and ensure accurate diagnostic information.
  • Cardiac Surgery: In patients undergoing cardiac surgery, the LSVC can influence the surgical approach and technique. Surgeons must be prepared to manage the anomalous venous return to ensure optimal outcomes.

Diagnostic Methods for Detecting the Left Superior Vena Cava

Detecting an LSVC typically involves imaging studies that provide detailed visualization of the cardiac and vascular structures. The most commonly used diagnostic methods include:

  • Echocardiography: Transthoracic or transesophageal echocardiography can sometimes identify an LSVC, particularly if it is associated with other congenital heart defects. However, its sensitivity for detecting isolated LSVC is limited.
  • Computed Tomography (CT) Angiography: CT angiography provides high-resolution images of the heart and great vessels, making it a valuable tool for diagnosing LSVC. It can accurately delineate the anatomy and identify any associated abnormalities.
  • Magnetic Resonance Imaging (MRI): Cardiac MRI offers detailed anatomical and functional information without the use of ionizing radiation. It is particularly useful for evaluating complex congenital heart defects and can provide comprehensive assessment of the LSVC.
  • Venography: During invasive procedures, venography can be performed to visualize the venous system and confirm the presence of an LSVC. This method involves injecting contrast dye into the veins and obtaining X-ray images.

Management Strategies for the Left Superior Vena Cava

Management of the LSVC depends on the clinical context and the presence of associated conditions. In many cases, no specific treatment is required, and the LSVC is managed conservatively. However, in certain situations, intervention may be necessary. Some key management strategies include:

  • Conservative Management: For asymptomatic individuals with an isolated LSVC, conservative management is typically sufficient. Regular follow-up and monitoring are recommended to detect any potential complications.
  • Interventional Procedures: In patients undergoing cardiac interventions, such as pacemaker implantation or cardiac catheterization, awareness of the LSVC is crucial. Alternative approaches and techniques may be employed to ensure safe and effective procedures.
  • Surgical Correction: In rare cases, surgical correction of the LSVC may be necessary, particularly if it is associated with significant hemodynamic abnormalities or other congenital heart defects. Surgical options include ligation of the LSVC or creation of a baffle to redirect blood flow.

📝 Note: The decision to intervene should be based on a thorough evaluation of the individual's clinical status, the presence of associated conditions, and the potential risks and benefits of the proposed treatment.

Case Studies and Clinical Examples

To illustrate the clinical significance and management of the LSVC, consider the following case studies:

Case Study 1: A 55-year-old patient presented for pacemaker implantation due to symptomatic bradycardia. Pre-procedural CT angiography revealed the presence of an LSVC. The procedure was successfully performed using a left subclavian vein approach, with the pacemaker lead positioned in the right ventricle via the LSVC.

Case Study 2: A 30-year-old patient with a history of congenital heart disease underwent cardiac MRI for evaluation of symptoms. The MRI demonstrated an LSVC draining into the coronary sinus, with no associated hemodynamic abnormalities. The patient was managed conservatively with regular follow-up.

Case Study 3: A 25-year-old patient with tetralogy of Fallot and an LSVC underwent surgical correction. The LSVC was ligated, and a baffle was created to redirect blood flow into the right atrium. The patient recovered well and was discharged with no complications.

Future Directions in the Management of the Left Superior Vena Cava

As medical technology and techniques continue to advance, the management of the LSVC is likely to evolve. Future directions may include:

  • Advanced Imaging Techniques: The development of more sophisticated imaging modalities, such as 4D flow MRI, may provide even greater insights into the anatomy and hemodynamics of the LSVC.
  • Minimally Invasive Procedures: Advances in minimally invasive techniques may offer new options for managing the LSVC, reducing the need for open surgery and improving patient outcomes.
  • Personalized Medicine: The integration of genetic and molecular data may enable more personalized approaches to the management of the LSVC, tailored to the individual's unique characteristics and needs.

In conclusion, the Left Superior Vena Cava (LSVC) is a rare but clinically significant anatomical variation that can impact cardiac interventions and diagnoses. Understanding the anatomy, diagnostic methods, and management strategies is essential for healthcare providers to ensure optimal patient care. Through continued research and advancements in medical technology, the management of the LSVC is likely to improve, offering better outcomes for patients with this condition.

Related Terms:

  • what is left sided svc
  • left superior vena cava syndrome
  • persistent left svc on echo
  • left superior vena cava echo
  • what is a left svc
  • left superior vena cava existence
Facebook Twitter WhatsApp
Related Posts
Don't Miss