Learning

Lateral Patellar Subluxation

Lateral Patellar Subluxation
Lateral Patellar Subluxation

Lateral patellar subluxation is a condition that affects the kneecap, causing it to dislocate or move out of its normal position. This condition can be painful and debilitating, impacting an individual's ability to perform daily activities. Understanding the causes, symptoms, diagnosis, and treatment options for lateral patellar subluxation is crucial for effective management and recovery.

Understanding Lateral Patellar Subluxation

Lateral patellar subluxation occurs when the patella (kneecap) partially dislocates from its normal position in the groove of the femur (thighbone). This condition is often caused by a combination of factors, including:

  • Anatomical Abnormalities: Structural issues such as a shallow patellar groove, weak or tight muscles, or misaligned bones can contribute to lateral patellar subluxation.
  • Trauma: Injuries to the knee, such as a direct blow or a sudden twist, can cause the patella to dislocate.
  • Overuse: Repetitive activities that place stress on the knee, such as running or jumping, can lead to patellar subluxation.
  • Muscle Imbalances: Weakness in the quadriceps muscles or tightness in the hamstrings and IT band can affect the stability of the patella.

Symptoms of Lateral Patellar Subluxation

Recognizing the symptoms of lateral patellar subluxation is essential for early intervention and treatment. Common symptoms include:

  • Pain: Sharp or dull pain in the knee, often worsened by activities that involve bending or straightening the leg.
  • Swelling: Inflammation and swelling around the knee joint.
  • Instability: A feeling of the knee giving way or buckling, especially during physical activities.
  • Popping or Clicking: Audible or palpable sensations of the patella moving out of place.
  • Limited Range of Motion: Difficulty fully extending or flexing the knee.

Diagnosing Lateral Patellar Subluxation

Diagnosing lateral patellar subluxation involves a comprehensive evaluation by a healthcare professional. The diagnostic process typically includes:

  • Medical History: A detailed discussion of symptoms, previous injuries, and any relevant medical conditions.
  • Physical Examination: Assessment of the knee's range of motion, stability, and any signs of swelling or tenderness.
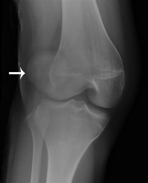
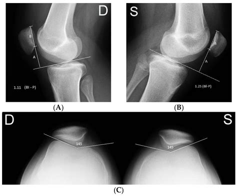
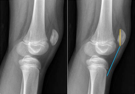
  • Imaging Tests: X-rays, MRI, or CT scans to visualize the patella and surrounding structures. These tests can help identify any anatomical abnormalities or soft tissue injuries.

In some cases, additional tests such as arthroscopy may be recommended to directly visualize the inside of the knee joint.

Treatment Options for Lateral Patellar Subluxation

Treatment for lateral patellar subluxation depends on the severity of the condition and the underlying causes. Common treatment options include:

Non-Surgical Treatments

Non-surgical treatments are often the first line of defense against lateral patellar subluxation. These may include:

  • Rest, Ice, Compression, and Elevation (RICE): Immediate measures to reduce pain and swelling.
  • Physical Therapy: Exercises to strengthen the quadriceps, hamstrings, and hip muscles, as well as improve flexibility and stability.
  • Bracing: Use of a patellar stabilizer or knee brace to keep the patella in place.
  • Medications: Over-the-counter pain relievers or anti-inflammatory drugs to manage pain and reduce inflammation.
  • Activity Modification: Avoiding activities that exacerbate symptoms and gradually returning to normal activities as tolerated.

Surgical Treatments

In cases where non-surgical treatments are ineffective, surgery may be recommended. Surgical options for lateral patellar subluxation include:

  • Arthroscopic Surgery: Minimally invasive procedures to repair or realign the patella and surrounding tissues.
  • Patellar Realignment: Surgical techniques to correct anatomical abnormalities, such as a shallow patellar groove or misaligned bones.
  • Lateral Release: A procedure to release tight lateral structures, allowing the patella to track more centrally.
  • Medial Patellofemoral Ligament (MPFL) Reconstruction: Repair or reconstruction of the MPFL to stabilize the patella.

📝 Note: Surgical treatment is typically considered only after conservative measures have failed and the condition significantly impacts daily activities.

Preventing Lateral Patellar Subluxation

Preventing lateral patellar subluxation involves maintaining knee health and addressing risk factors. Key preventive measures include:

  • Strengthening Exercises: Regularly performing exercises to strengthen the quadriceps, hamstrings, and hip muscles.
  • Flexibility Training: Incorporating stretching routines to improve flexibility and reduce muscle tightness.
  • Proper Warm-Up and Cool-Down: Preparing the body for physical activities and allowing adequate recovery time.
  • Appropriate Footwear: Wearing supportive shoes that provide good cushioning and stability.
  • Gradual Increase in Activity: Avoiding sudden increases in physical activity and allowing the body to adapt gradually.

Living with Lateral Patellar Subluxation

Living with lateral patellar subluxation requires a proactive approach to manage symptoms and prevent recurrence. Key strategies include:

  • Regular Physical Therapy: Continuing with a prescribed exercise program to maintain strength and flexibility.
  • Monitoring Symptoms: Being aware of any changes in symptoms and seeking medical attention if necessary.
  • Maintaining a Healthy Lifestyle: Engaging in regular physical activity, maintaining a healthy weight, and avoiding activities that exacerbate symptoms.
  • Using Assistive Devices: Utilizing braces or other supportive devices as recommended by a healthcare professional.

It is important to work closely with healthcare providers to develop a personalized management plan that addresses individual needs and goals.

Lateral patellar subluxation is a complex condition that requires a comprehensive approach to diagnosis, treatment, and prevention. By understanding the causes, symptoms, and available treatment options, individuals can effectively manage this condition and improve their quality of life. Early intervention and a proactive approach to knee health are crucial for successful outcomes and long-term recovery.

Related Terms:

  • lateral patellar subluxation mri
  • lateral patellar subluxation treatment
  • lateral patellar tilt
  • lateral patellar subluxation radiopaedia
  • medial patellar dislocation
  • lateral patellar subluxation radiology
Facebook Twitter WhatsApp
Related Posts
Don't Miss