Learning

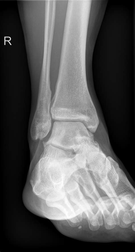
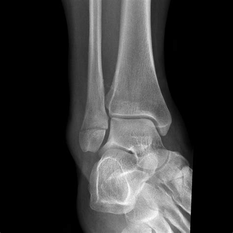
Lateral Malleolus Fracture

Lateral Malleolus Fracture
Lateral Malleolus Fracture

Injuries to the ankle can be debilitating, and one of the more serious conditions is a Lateral Malleolus Fracture. This type of fracture involves the outer part of the ankle, specifically the lateral malleolus, which is the bony prominence on the outer side of the ankle. Understanding the causes, symptoms, diagnosis, and treatment options for a Lateral Malleolus Fracture is crucial for anyone who has experienced an ankle injury or is at risk of one.

Understanding the Lateral Malleolus

The lateral malleolus is a bony protrusion at the distal end of the fibula, one of the two bones in the lower leg. It forms the outer part of the ankle joint and provides stability and support. The lateral malleolus works in conjunction with the medial malleolus (the inner part of the ankle) to create a stable platform for the ankle joint. When a fracture occurs in the lateral malleolus, it can significantly impact the ankle’s stability and function.

Causes of Lateral Malleolus Fracture

A Lateral Malleolus Fracture typically results from a traumatic event that places excessive force on the ankle. Common causes include:

  • Falls: Falling from a height or tripping and landing awkwardly can cause a fracture.
  • Sports Injuries: High-impact sports like basketball, soccer, and skiing often lead to ankle injuries.
  • Motor Vehicle Accidents: The force of a car crash can result in severe ankle fractures.
  • Twisting Injuries: Sudden twisting or rolling of the ankle can cause a fracture, especially in individuals with weak ankles or previous injuries.

Symptoms of Lateral Malleolus Fracture

Recognizing the symptoms of a Lateral Malleolus Fracture is essential for prompt treatment. Common symptoms include:

  • Pain: Severe pain in the outer part of the ankle, which may worsen with movement.
  • Swelling: Rapid swelling around the ankle joint.
  • Bruising: Discoloration around the ankle, often appearing within a few hours of the injury.
  • Deformity: Visible deformity or misalignment of the ankle.
  • Inability to Bear Weight: Difficulty or inability to put weight on the affected foot.

Diagnosing a Lateral Malleolus Fracture

Diagnosing a Lateral Malleolus Fracture involves a combination of physical examination and imaging tests. The diagnostic process typically includes:

  • Physical Examination: A healthcare provider will assess the ankle for swelling, tenderness, and deformity. They may also check the range of motion and stability of the joint.
  • Imaging Tests:
    • X-rays: Standard X-rays can reveal the presence and extent of the fracture. Multiple views may be taken to get a comprehensive picture.
    • CT Scans: For more detailed images, a CT scan may be ordered. This is particularly useful for complex fractures or when surgical intervention is being considered.
    • MRI: In some cases, an MRI may be used to assess soft tissue damage and the integrity of ligaments and tendons.

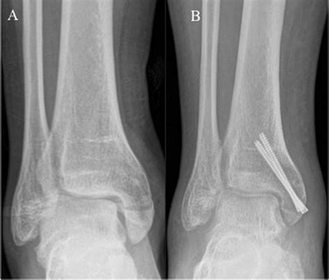
Treatment Options for Lateral Malleolus Fracture

The treatment for a Lateral Malleolus Fracture depends on the severity of the fracture, the patient’s overall health, and the specific circumstances of the injury. Treatment options can be broadly categorized into non-surgical and surgical approaches.

Non-Surgical Treatment

For less severe fractures, non-surgical treatment may be sufficient. This typically involves:

  • Rest, Ice, Compression, and Elevation (RICE): This method helps reduce pain and swelling. Rest the ankle, apply ice for 15-20 minutes several times a day, use compression bandages, and elevate the ankle above heart level.
  • Immobilization: A cast, boot, or brace may be used to immobilize the ankle and promote healing.
  • Pain Management: Over-the-counter pain relievers such as ibuprofen or acetaminophen can help manage pain and reduce inflammation.
  • Physical Therapy: Once the fracture has healed sufficiently, physical therapy can help restore range of motion, strength, and stability to the ankle.

Surgical Treatment

For more severe fractures, especially those involving displacement or multiple fragments, surgery may be necessary. Surgical options include:

  • Open Reduction and Internal Fixation (ORIF): This procedure involves realigning the bone fragments and securing them with plates, screws, or rods.
  • Arthroscopy: In some cases, minimally invasive arthroscopy may be used to repair the fracture and assess any associated damage to the joint.

Recovery and Rehabilitation

Recovery from a Lateral Malleolus Fracture can take several weeks to months, depending on the severity of the injury and the treatment approach. The rehabilitation process typically involves:

  • Initial Healing Phase: Focuses on pain management, reducing swelling, and protecting the fracture site.
  • Immobilization Phase: The ankle is immobilized to allow the bone to heal. This may involve wearing a cast, boot, or brace.
  • Rehabilitation Phase: Once the fracture has healed sufficiently, physical therapy begins to restore range of motion, strength, and stability. This may include exercises such as:
    • Range of Motion Exercises: Gentle movements to improve flexibility and reduce stiffness.
    • Strengthening Exercises: Exercises to build muscle strength around the ankle.
    • Balance and Proprioception Exercises: Activities to improve balance and joint position sense.

Complications of Lateral Malleolus Fracture

While most Lateral Malleolus Fractures heal without complications, there are potential risks to be aware of:

  • Non-Union or Malunion: The bone may not heal properly, leading to non-union (failure to heal) or malunion (healing in a misaligned position).
  • Arthritis: Long-term complications can include post-traumatic arthritis, which may develop due to damage to the joint surfaces.
  • Infection: There is a risk of infection, especially in cases requiring surgery.
  • Nerve or Blood Vessel Damage: Injury to nearby nerves or blood vessels can occur, leading to numbness, weakness, or poor circulation.

🔍 Note: Regular follow-ups with a healthcare provider are essential to monitor healing and address any potential complications early.

Preventing Lateral Malleolus Fracture

While not all Lateral Malleolus Fractures can be prevented, there are steps you can take to reduce the risk:

  • Wear Appropriate Footwear: Choose shoes that provide good support and stability, especially during physical activities.
  • Strengthen Ankle Muscles: Regular exercises to strengthen the muscles and ligaments around the ankle can improve stability.
  • Avoid High-Risk Activities: Be cautious during high-risk activities and use protective gear when necessary.
  • Maintain a Healthy Weight: Excess weight can put additional stress on the ankles, increasing the risk of injury.

When to Seek Medical Attention

If you experience a Lateral Malleolus Fracture or suspect you have one, it is crucial to seek medical attention promptly. Delaying treatment can lead to complications and prolonged recovery. Seek immediate medical care if you experience any of the following:

  • Severe Pain: Intense pain that does not improve with rest and ice.
  • Deformity: Visible deformity or misalignment of the ankle.
  • Inability to Bear Weight: Difficulty or inability to put weight on the affected foot.
  • Numbness or Tingling: Loss of sensation or tingling in the foot or toes.
  • Signs of Infection: Redness, warmth, or discharge from the injury site.

In the case of a Lateral Malleolus Fracture, prompt diagnosis and appropriate treatment are essential for a successful recovery. Understanding the causes, symptoms, and treatment options can help you make informed decisions about your care and improve your chances of a full recovery.

In summary, a Lateral Malleolus Fracture is a serious injury that requires prompt medical attention. By recognizing the symptoms, seeking appropriate treatment, and following a comprehensive rehabilitation plan, you can improve your chances of a successful recovery and return to your daily activities. Regular follow-ups with a healthcare provider are essential to monitor healing and address any potential complications early. Preventive measures, such as wearing appropriate footwear and strengthening ankle muscles, can also help reduce the risk of future injuries.

Related Terms:

  • fracture of lateral malleolus fibula
  • displaced lateral malleolar fracture
  • where is left lateral malleolus
  • displaced lateral malleolus fracture
  • lateral malleolus ankle fracture
  • lateral malleolus right fibula fracture
Facebook Twitter WhatsApp
Related Posts
Don't Miss