Learning

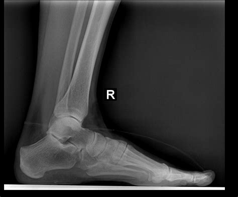
Lateral Foot X Ray

Lateral Foot X Ray
Lateral Foot X Ray

Understanding the importance of a Lateral Foot X Ray is crucial for anyone involved in podiatry, orthopedics, or radiology. This diagnostic tool provides valuable insights into the structure and condition of the foot, helping healthcare professionals make informed decisions about treatment and management. This post will delve into the significance of a lateral foot X ray, its procedure, interpretation, and common findings.

What is a Lateral Foot X Ray?

A Lateral Foot X Ray is a type of radiographic imaging that captures a side view of the foot. This view is essential for evaluating the alignment and integrity of the bones, joints, and soft tissues in the foot. Unlike an anteroposterior (AP) view, which provides a front-to-back image, a lateral view offers a different perspective that can reveal issues not visible in other projections.

Why is a Lateral Foot X Ray Important?

The lateral foot X ray is a vital diagnostic tool for several reasons:

  • Bone Alignment: It helps assess the alignment of the foot bones, which is crucial for diagnosing conditions like flatfoot or high arches.
  • Fracture Detection: It can detect fractures that may not be visible in other views, especially in the calcaneus (heel bone) and metatarsals.
  • Joint Assessment: It provides a clear view of the joints, helping to identify arthritis, dislocations, or other joint-related issues.
  • Soft Tissue Evaluation: While primarily used for bone evaluation, it can also show soft tissue abnormalities, such as swelling or foreign bodies.

The Procedure for a Lateral Foot X Ray

Obtaining a lateral foot X ray is a straightforward process that typically involves the following steps:

  • Patient Preparation: The patient is asked to remove any jewelry or metal objects from the foot area to avoid interference with the X-ray image.
  • Positioning: The patient stands or sits with the foot placed on a platform. The foot is positioned at a 90-degree angle to the X-ray beam to ensure a true lateral view.
  • Imaging: The radiographer takes the X-ray, and the image is captured on a digital detector or film.
  • Review: The radiologist reviews the image to ensure it is of diagnostic quality and interprets the findings.

📌 Note: Patients should inform the radiographer if they are pregnant or suspect they might be, as X-rays can pose risks to a developing fetus.

Interpreting a Lateral Foot X Ray

Interpreting a lateral foot X ray requires a trained eye and knowledge of foot anatomy. Here are some key points to consider:

  • Bone Density: Assess the density and clarity of the bones. Abnormalities in bone density can indicate conditions like osteoporosis or bone tumors.
  • Bone Alignment: Check the alignment of the bones, particularly the calcaneus, talus, and metatarsals. Misalignment can indicate fractures, dislocations, or deformities.
  • Joint Spaces: Evaluate the joint spaces for any narrowing or irregularities, which can suggest arthritis or other joint diseases.
  • Soft Tissue: Look for any abnormalities in the soft tissue, such as swelling, calcifications, or foreign bodies.

Common Findings in a Lateral Foot X Ray

A lateral foot X ray can reveal a variety of conditions and abnormalities. Some of the most common findings include:

  • Fractures: Fractures of the calcaneus, metatarsals, or other foot bones can be clearly seen in a lateral view.
  • Arthritis: Joint space narrowing, bone spurs, and other signs of arthritis can be identified.
  • Deformities: Conditions like flatfoot, high arches, or bunions can be evaluated.
  • Foreign Bodies: Objects embedded in the foot, such as glass or metal, can be detected.
  • Soft Tissue Abnormalities: Swelling, cysts, or other soft tissue issues can sometimes be seen.

Special Considerations for a Lateral Foot X Ray

There are several special considerations to keep in mind when performing or interpreting a lateral foot X ray:

  • Patient Comfort: Ensure the patient is comfortable and properly positioned to avoid movement, which can blur the image.
  • Image Quality: The quality of the image is crucial for accurate interpretation. Ensure the X-ray machine is properly calibrated and the exposure settings are correct.
  • Comparison Views: Sometimes, comparing the lateral view with other projections (e.g., AP view) can provide a more comprehensive assessment.
  • Clinical Correlation: Always correlate the X-ray findings with the patient’s clinical symptoms and history to make an accurate diagnosis.

Advanced Imaging Techniques

While a lateral foot X ray is a valuable diagnostic tool, there are times when more advanced imaging techniques may be necessary. These include:

  • CT Scan: Computed tomography (CT) scans provide detailed cross-sectional images of the foot, offering a more comprehensive view of bone structures and fractures.
  • MRI: Magnetic resonance imaging (MRI) is useful for evaluating soft tissue structures, such as ligaments, tendons, and muscles, as well as bone marrow abnormalities.
  • Ultrasound: Ultrasound imaging can be used to assess soft tissue injuries, such as tendon tears or cysts, in real-time.

Conclusion

A Lateral Foot X Ray is an essential diagnostic tool in podiatry and orthopedics, providing valuable insights into the structure and condition of the foot. By understanding the procedure, interpretation, and common findings, healthcare professionals can make informed decisions about treatment and management. Whether used alone or in conjunction with other imaging techniques, a lateral foot X ray plays a crucial role in diagnosing and managing foot-related conditions.

Related Terms:

  • right lateral foot x ray
  • lateral foot x ray treatment
  • ap foot
  • lateral foot xray annotated
  • lateral foot x ray position
  • lateral foot xray labelled
Facebook Twitter WhatsApp
Related Posts
Don't Miss