Learning

Is Soda Acid

Is Soda Acid
Is Soda Acid

Soda, a beloved beverage worldwide, is often enjoyed for its refreshing taste and bubbly texture. However, there is a common question that arises among health-conscious individuals: Is soda acid? This question is not just about the taste but also about the potential health implications of consuming acidic beverages. Understanding the acidity of soda is crucial for making informed decisions about our diet and overall health.

Understanding pH and Acidity

To determine if soda is acidic, we need to understand the concept of pH and acidity. pH is a measure of the hydrogen ion concentration in a solution. It ranges from 0 to 14, with 7 being neutral. Solutions with a pH below 7 are considered acidic, while those above 7 are basic or alkaline.

The pH of Soda

Most sodas have a pH level that falls between 2.5 and 4.5, making them highly acidic. This acidity comes from the carbonation process and the addition of various acids, such as phosphoric acid and citric acid, which are commonly used as flavorings and preservatives.

Types of Soda and Their Acidity

Different types of soda can have varying levels of acidity. Here are some common types and their approximate pH levels:

Type of Soda Approximate pH Level
Cola 2.5 - 3.0
Lemon-Lime Soda 3.0 - 3.5
Orange Soda 3.5 - 4.0
Ginger Ale 3.5 - 4.0
Root Beer 4.0 - 4.5

As you can see, the pH levels vary, but all fall within the acidic range.

Health Implications of Acidic Soda

Consuming acidic beverages like soda can have several health implications. The high acidity can lead to various issues, including:

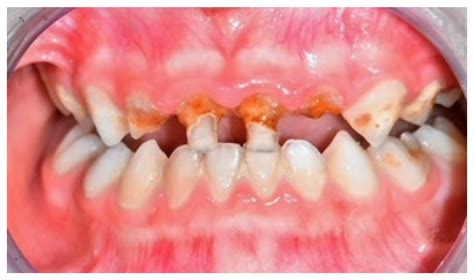
  • Tooth Erosion: The acid in soda can erode tooth enamel, leading to cavities and sensitivity.
  • Digestive Issues: Regular consumption of acidic beverages can disrupt the natural pH balance in the stomach, leading to digestive problems like acid reflux and heartburn.
  • Bone Health: Some studies suggest that the phosphoric acid in cola can interfere with calcium absorption, potentially leading to bone density loss over time.
  • Kidney Stones: The high acidity and sugar content in soda can increase the risk of kidney stones.

While occasional consumption of soda may not cause significant harm, frequent intake can exacerbate these issues.

Alternatives to Acidic Sodas

If you’re concerned about the acidity of soda, there are several healthier alternatives you can consider:

  • Sparkling Water: This is a great alternative as it provides the bubbly texture without the added acids and sugars.
  • Herbal Teas: Many herbal teas are naturally low in acidity and can be enjoyed hot or cold.
  • Fruit-Infused Water: Adding slices of fruit to water can enhance the flavor without adding acidity.
  • Coconut Water: This natural beverage is low in acidity and rich in electrolytes, making it a refreshing choice.

These alternatives can help you enjoy a refreshing drink without the potential health risks associated with acidic sodas.

📝 Note: While these alternatives are generally healthier, it's always a good idea to consult with a healthcare provider for personalized advice, especially if you have specific health concerns.

Conclusion

In summary, soda is indeed acidic, with pH levels typically ranging from 2.5 to 4.5. This acidity can have various health implications, including tooth erosion, digestive issues, and potential impacts on bone health and kidney function. While enjoying soda occasionally may not be harmful, frequent consumption should be approached with caution. Opting for healthier alternatives like sparkling water, herbal teas, fruit-infused water, or coconut water can help mitigate the risks associated with acidic beverages. Making informed choices about what we drink is an essential step towards maintaining overall health and well-being.

Related Terms:

  • does soda have acid
  • what makes soda acidic
  • is soda acid or base
  • is soda acidic or basic
  • acid in soda drinks
  • is soda acid or alkaline
Facebook Twitter WhatsApp
Related Posts
Don't Miss