Learning

Intussusception Radiology Usg

Intussusception Radiology Usg
Intussusception Radiology Usg

Intussusception is a serious medical condition that occurs when one segment of the intestine slides into another, much like the parts of a telescope. This condition can lead to bowel obstruction, ischemia, and even necrosis if not promptly diagnosed and treated. Radiology, particularly ultrasound (USG), plays a crucial role in the diagnosis of intussusception. This blog post will delve into the significance of Intussusception Radiology USG, the diagnostic process, and the importance of early detection.

Understanding Intussusception

Intussusception typically affects children, particularly those between 3 months and 3 years old, but it can also occur in adults. The condition is often idiopathic in children, meaning the cause is unknown. In adults, it is more commonly associated with underlying pathologies such as tumors, polyps, or inflammatory bowel disease.

The Role of Radiology in Diagnosing Intussusception

Radiology is indispensable in the diagnosis of intussusception. Various imaging modalities, including ultrasound, X-ray, and computed tomography (CT), are used to identify the condition. Among these, Intussusception Radiology USG is often the first-line imaging modality due to its non-invasive nature, lack of radiation exposure, and high diagnostic accuracy.

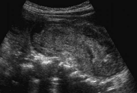
Ultrasound (USG) in Intussusception Diagnosis

Ultrasound is a valuable tool for diagnosing intussusception, especially in pediatric patients. It provides real-time imaging and can detect the characteristic “target” or “doughnut” sign, which indicates the presence of intussusception. The ultrasound probe is placed on the abdomen, and the radiologist looks for the following signs:

  • Target Sign: A hypoechoic outer ring surrounding a hyperechoic inner ring, resembling a target.
  • Doughnut Sign: A similar appearance to the target sign but viewed in a transverse section.
  • Pseudo-Kidney Sign: An elongated, oval structure resembling a kidney, seen in longitudinal sections.

Steps Involved in Intussusception Radiology USG

The process of diagnosing intussusception using ultrasound involves several steps:

  • Patient Preparation: The patient is positioned comfortably, usually lying supine. In pediatric cases, the child may need to be sedated to ensure cooperation.
  • Ultrasound Probe Placement: The radiologist applies ultrasound gel to the abdomen and places the probe to scan the area.
  • Image Acquisition: The radiologist moves the probe over the abdomen to capture images of the intestines. The focus is on identifying the characteristic signs of intussusception.
  • Image Interpretation: The radiologist analyzes the images to confirm the presence of intussusception. If the diagnosis is confirmed, further steps are taken to determine the appropriate treatment.

📌 Note: In some cases, additional imaging modalities such as X-ray or CT may be required to confirm the diagnosis or assess the extent of the condition.

Advantages of Ultrasound in Intussusception Diagnosis

Ultrasound offers several advantages in the diagnosis of intussusception:

  • Non-Invasive: Ultrasound does not require any invasive procedures, making it a safe option for pediatric patients.
  • No Radiation Exposure: Unlike X-ray and CT, ultrasound does not expose the patient to ionizing radiation, which is particularly important for children.
  • Real-Time Imaging: Ultrasound provides real-time images, allowing the radiologist to observe the movement of the intestines and identify the intussusception.
  • High Diagnostic Accuracy: Ultrasound has a high sensitivity and specificity for detecting intussusception, making it a reliable diagnostic tool.

Challenges and Limitations of Ultrasound

While ultrasound is a powerful diagnostic tool, it does have some limitations:

  • Operator Dependency: The quality of the ultrasound images depends on the skill and experience of the radiologist performing the scan.
  • Limited Visualization: Ultrasound may not provide clear images in patients with a large body habitus or excessive bowel gas.
  • False Negatives: In some cases, ultrasound may fail to detect intussusception, leading to false-negative results.

📌 Note: If ultrasound is inconclusive, additional imaging studies such as X-ray or CT may be necessary to confirm the diagnosis.

Treatment Options for Intussusception

Once intussusception is diagnosed, prompt treatment is essential to prevent complications. The treatment options include:

  • Non-Surgical Reduction: In many cases, intussusception can be reduced non-surgically using air or contrast enema. This procedure involves inserting a tube into the rectum and injecting air or contrast material to push the intussuscepted segment back into place.
  • Surgical Reduction: If non-surgical reduction is unsuccessful or if there are signs of bowel ischemia or perforation, surgical reduction is necessary. This involves laparotomy or laparoscopy to manually reduce the intussusception.

Importance of Early Detection

Early detection of intussusception is crucial for successful treatment and prevention of complications. Delayed diagnosis can lead to bowel ischemia, necrosis, and perforation, which can be life-threatening. Intussusception Radiology USG plays a vital role in early detection by providing a quick and accurate diagnosis, allowing for prompt intervention.

Case Studies and Examples

To illustrate the effectiveness of ultrasound in diagnosing intussusception, consider the following case studies:

Case Study Patient Age Symptoms Diagnostic Findings Treatment
Case 1 2 years Abdominal pain, vomiting, bloody stools Target sign on ultrasound Successful air enema reduction
Case 2 35 years Abdominal pain, nausea, constipation Pseudo-kidney sign on ultrasound Surgical reduction due to underlying tumor

Future Directions in Intussusception Diagnosis

Advances in medical technology continue to enhance the diagnosis and management of intussusception. Future directions in Intussusception Radiology USG include:

  • Advanced Ultrasound Techniques: The development of new ultrasound techniques, such as elastography and contrast-enhanced ultrasound, may improve the diagnostic accuracy of intussusception.
  • Artificial Intelligence: The integration of artificial intelligence (AI) in ultrasound imaging can assist radiologists in interpreting images more accurately and efficiently.
  • Multimodal Imaging: Combining ultrasound with other imaging modalities, such as MRI, may provide a more comprehensive assessment of intussusception and its underlying causes.

In conclusion, Intussusception Radiology USG is a critical component in the diagnosis and management of intussusception. Its non-invasive nature, lack of radiation exposure, and high diagnostic accuracy make it an invaluable tool for radiologists. Early detection through ultrasound allows for prompt intervention, reducing the risk of complications and improving patient outcomes. As medical technology continues to advance, the future of intussusception diagnosis holds promise for even more accurate and efficient diagnostic methods.

Related Terms:

  • intussusception parts
  • intussusception ultrasound
  • intussusception radiology ultrasound
  • ileocolic intussusception radiology
  • intussusception radiology ct
  • intussusception radiology x ray
Facebook Twitter WhatsApp
Related Posts
Don't Miss