Learning

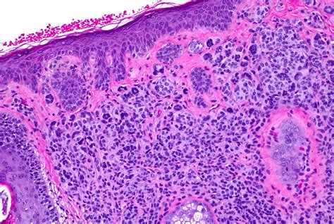
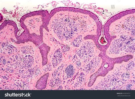
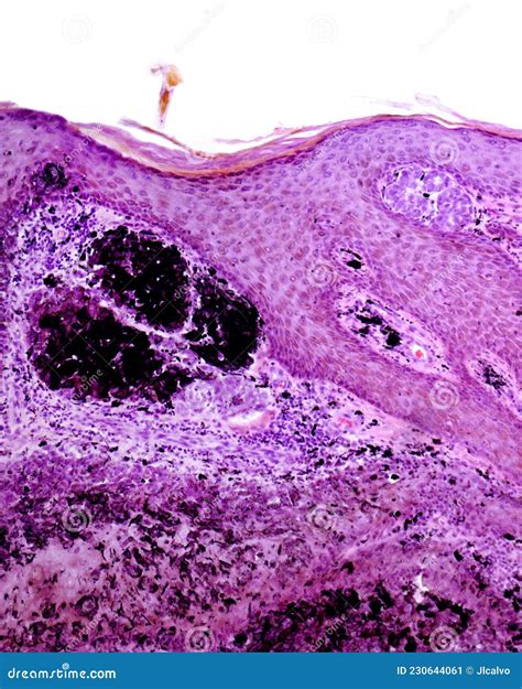
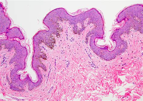
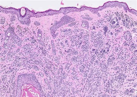
Intradermal Pigmented Nevus

Intradermal Pigmented Nevus
Intradermal Pigmented Nevus

Understanding skin conditions is crucial for maintaining overall health and well-being. One such condition that often goes unnoticed but requires attention is the Intradermal Pigmented Nevus. This condition, while generally benign, can sometimes cause concern due to its appearance and potential for changes over time. This blog post aims to provide a comprehensive overview of Intradermal Pigmented Nevus, including its causes, symptoms, diagnosis, and treatment options.

What is an Intradermal Pigmented Nevus?

An Intradermal Pigmented Nevus is a type of mole that develops within the dermis, the layer of skin beneath the epidermis. Unlike other types of moles, which can be raised or flat, intradermal nevi are typically raised and have a smooth, dome-shaped appearance. They are often flesh-colored or slightly darker and can appear anywhere on the body. These nevi are usually present at birth or develop during childhood and adolescence.

Causes of Intradermal Pigmented Nevus

The exact cause of Intradermal Pigmented Nevus is not fully understood, but it is believed to be related to genetic factors and exposure to sunlight. Here are some key points to consider:

  • Genetic Factors: There is evidence to suggest that a family history of moles or skin conditions can increase the likelihood of developing an intradermal nevus.
  • Sun Exposure: Prolonged exposure to the sun's UV rays can stimulate the growth of moles, including intradermal nevi.
  • Hormonal Changes: Hormonal fluctuations, particularly during puberty and pregnancy, can also contribute to the development of these moles.

Symptoms of Intradermal Pigmented Nevus

Identifying an Intradermal Pigmented Nevus involves recognizing its characteristic features. Here are some common symptoms:

  • Appearance: These moles are typically raised and have a smooth, dome-shaped surface. They can be flesh-colored, light brown, or dark brown.
  • Location: Intradermal nevi can appear anywhere on the body, but they are commonly found on the face, neck, and trunk.
  • Size: They can vary in size, ranging from a few millimeters to several centimeters in diameter.
  • Texture: The surface of the mole is usually smooth, but it can sometimes be hairy.

While these moles are generally harmless, it is essential to monitor them for any changes that could indicate a more serious condition, such as melanoma. Any changes in size, shape, color, or texture should be evaluated by a healthcare professional.

Diagnosis of Intradermal Pigmented Nevus

Diagnosing an Intradermal Pigmented Nevus typically involves a visual examination by a dermatologist. Here are the steps involved in the diagnostic process:

  • Visual Examination: The dermatologist will examine the mole visually, noting its size, shape, color, and texture.
  • Dermoscopy: This non-invasive technique uses a specialized microscope to examine the mole more closely. It can help differentiate between benign and malignant lesions.
  • Biopsy: In some cases, a biopsy may be performed to confirm the diagnosis. This involves removing a small sample of the mole for laboratory analysis.

It is important to note that while most intradermal nevi are benign, any suspicious changes should be promptly evaluated to rule out skin cancer.

🔍 Note: Regular skin checks by a dermatologist are recommended, especially for individuals with a family history of skin cancer or multiple moles.

Treatment Options for Intradermal Pigmented Nevus

Treatment for an Intradermal Pigmented Nevus is usually not necessary unless the mole is causing discomfort, cosmetic concerns, or there is a suspicion of malignancy. Here are the common treatment options:

  • Observation: If the mole is benign and not causing any issues, it may be left alone with regular monitoring.
  • Excision: Surgical removal of the mole is an option if it is causing discomfort or if there is a concern about its appearance. This procedure is typically performed under local anesthesia.
  • Shave Excision: This involves shaving off the mole at the skin's surface level. It is less invasive than excision but may leave a slight scar.
  • Laser Treatment: For cosmetic purposes, laser treatment can be used to remove the mole. This method is less invasive but may require multiple sessions.

It is essential to consult with a dermatologist to determine the best course of treatment based on individual needs and concerns.

Prevention and Management

While it is not always possible to prevent the development of an Intradermal Pigmented Nevus, there are steps you can take to manage and monitor these moles effectively:

  • Sun Protection: Use sunscreen with a high SPF, wear protective clothing, and avoid prolonged sun exposure to reduce the risk of new moles forming.
  • Regular Skin Checks: Schedule regular skin examinations with a dermatologist to monitor any changes in existing moles.
  • Self-Examination: Perform regular self-examinations to check for any new moles or changes in existing ones. Use a mirror to examine hard-to-see areas.

Early detection and regular monitoring are key to managing intradermal nevi and ensuring that any potential issues are addressed promptly.

When to Seek Medical Attention

While most Intradermal Pigmented Nevi are harmless, it is crucial to seek medical attention if you notice any of the following changes:

  • Changes in Size or Shape: Any sudden or gradual change in the size or shape of the mole.
  • Color Changes: Changes in color, such as darkening or the appearance of new colors within the mole.
  • Itching or Bleeding: Persistent itching, bleeding, or crusting of the mole.
  • Pain or Tenderness: Any pain or tenderness associated with the mole.

If you experience any of these symptoms, it is essential to consult a healthcare professional for a thorough evaluation.

Intradermal Pigmented Nevi are a common skin condition that, while generally benign, requires attention and monitoring. Understanding the causes, symptoms, diagnosis, and treatment options can help individuals manage these moles effectively and ensure their overall skin health. Regular skin checks and prompt evaluation of any changes are crucial steps in maintaining skin health and preventing potential complications.

Related Terms:

  • intradermal nevus with congenital features
  • intradermal naevus dermnet
  • what is an intradermal nevus
  • how to describe intradermal nevus
  • what is intradermal melanocytic nevus
  • intradermal nevus pictures
Facebook Twitter WhatsApp
Related Posts
Don't Miss