Learning

Inferior Vena Cava Dilatation

Inferior Vena Cava Dilatation
Inferior Vena Cava Dilatation

Inferior Vena Cava Dilatation (IVCD) is a medical condition characterized by the abnormal enlargement of the inferior vena cava, the large vein that carries deoxygenated blood from the lower half of the body back to the heart. This condition can have significant implications for cardiovascular health and overall well-being. Understanding the causes, symptoms, diagnosis, and treatment options for Inferior Vena Cava Dilatation is crucial for effective management and improved patient outcomes.

Understanding Inferior Vena Cava Dilatation

Inferior Vena Cava Dilatation occurs when the inferior vena cava, which runs from the lower extremities and abdomen to the heart, becomes dilated or enlarged. This enlargement can be caused by various factors, including increased pressure within the vein, blood clots, or underlying cardiovascular diseases. The inferior vena cava plays a critical role in the circulatory system, and any disruption in its function can lead to serious health complications.

Causes of Inferior Vena Cava Dilatation

Several factors can contribute to Inferior Vena Cava Dilatation. Some of the most common causes include:

  • Heart Failure: When the heart is unable to pump blood efficiently, it can lead to increased pressure in the veins, including the inferior vena cava.
  • Blood Clots: A blood clot in the inferior vena cava can obstruct blood flow, causing the vein to dilate.
  • Liver Disease: Conditions such as cirrhosis can increase pressure in the portal vein, leading to Inferior Vena Cava Dilatation.
  • Venous Insufficiency: Weakness or damage to the veins can cause blood to pool, leading to dilation.
  • Trauma or Injury: Physical trauma to the abdomen or lower extremities can damage the inferior vena cava, causing it to dilate.

Symptoms of Inferior Vena Cava Dilatation

The symptoms of Inferior Vena Cava Dilatation can vary depending on the underlying cause and the severity of the condition. Some common symptoms include:

  • Swelling in the Legs: Fluid retention in the lower extremities is a common symptom.
  • Shortness of Breath: Difficulty breathing, especially during physical activity, can occur due to reduced cardiac output.
  • Fatigue: Persistent tiredness and weakness can be indicative of Inferior Vena Cava Dilatation.
  • Abdominal Pain: Discomfort or pain in the abdomen can result from increased pressure in the veins.
  • Varicose Veins: Enlarged and twisted veins in the legs can be a sign of venous insufficiency.

Diagnosing Inferior Vena Cava Dilatation

Diagnosing Inferior Vena Cava Dilatation involves a combination of medical history, physical examination, and diagnostic tests. Some of the key diagnostic methods include:

  • Ultrasound: An ultrasound of the abdomen can visualize the inferior vena cava and detect any dilation or abnormalities.
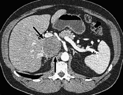
  • CT Scan: A computed tomography (CT) scan provides detailed images of the veins and can help identify the cause of dilation.
  • MRI: Magnetic resonance imaging (MRI) offers high-resolution images of the vascular system and can be used to assess the inferior vena cava.
  • Venography: This procedure involves injecting a contrast dye into the veins to visualize blood flow and detect any obstructions or dilation.

Treatment Options for Inferior Vena Cava Dilatation

The treatment for Inferior Vena Cava Dilatation depends on the underlying cause and the severity of the condition. Some common treatment options include:

  • Medications: Drugs such as diuretics can help reduce fluid retention, while anticoagulants can prevent blood clots.
  • Lifestyle Changes: Maintaining a healthy weight, exercising regularly, and avoiding prolonged standing or sitting can improve venous health.
  • Compression Therapy: Wearing compression stockings can help reduce swelling and improve blood flow in the legs.
  • Surgical Interventions: In severe cases, surgical procedures such as stent placement or vein bypass may be necessary to restore normal blood flow.

Preventing Inferior Vena Cava Dilatation

While not all cases of Inferior Vena Cava Dilatation can be prevented, there are several steps individuals can take to reduce their risk:

  • Regular Exercise: Engaging in regular physical activity can improve cardiovascular health and promote better blood circulation.
  • Healthy Diet: Consuming a balanced diet rich in fruits, vegetables, and whole grains can help maintain overall health.
  • Avoiding Prolonged Sitting or Standing: Taking frequent breaks to move around can prevent blood from pooling in the legs.
  • Managing Underlying Conditions: Effectively managing conditions such as heart disease, liver disease, and diabetes can reduce the risk of Inferior Vena Cava Dilatation.

Complications of Inferior Vena Cava Dilatation

If left untreated, Inferior Vena Cava Dilatation can lead to several complications, including:

  • Deep Vein Thrombosis (DVT): Blood clots in the deep veins can cause pain, swelling, and potentially life-threatening complications such as pulmonary embolism.
  • Pulmonary Embolism: A blood clot that travels to the lungs can block blood flow and cause severe breathing difficulties.
  • Chronic Venous Insufficiency: Prolonged dilation of the veins can lead to chronic swelling, skin changes, and ulcers.
  • Heart Failure: Increased pressure in the veins can exacerbate heart failure and lead to further cardiovascular complications.

📌 Note: Early detection and treatment of Inferior Vena Cava Dilatation are crucial for preventing these complications and improving patient outcomes.

Living with Inferior Vena Cava Dilatation

Living with Inferior Vena Cava Dilatation requires ongoing management and lifestyle adjustments. Patients should work closely with their healthcare providers to develop a personalized treatment plan. Regular follow-up appointments, adherence to medication regimens, and lifestyle modifications can help manage symptoms and prevent complications.

Support from family and friends can also play a significant role in coping with the condition. Joining support groups or seeking counseling can provide emotional support and practical advice for managing daily challenges.

In some cases, patients may need to make adjustments to their work or daily activities to accommodate their condition. This may include taking frequent breaks, using compression stockings, or modifying physical activities to reduce strain on the veins.

Education about Inferior Vena Cava Dilatation and its management is essential for patients and their caregivers. Understanding the condition, its symptoms, and treatment options can empower individuals to take an active role in their healthcare and improve their quality of life.

Inferior Vena Cava Dilatation is a complex condition that requires comprehensive management and ongoing care. By understanding the causes, symptoms, diagnosis, and treatment options, individuals can take proactive steps to manage their condition and improve their overall health. Regular medical check-ups, adherence to treatment plans, and lifestyle modifications are key to effectively managing Inferior Vena Cava Dilatation and preventing complications.

Inferior Vena Cava Dilatation is a significant medical condition that affects the cardiovascular system. By recognizing the symptoms, seeking timely diagnosis, and following appropriate treatment plans, individuals can manage this condition effectively. Ongoing research and advancements in medical technology continue to improve our understanding and treatment of Inferior Vena Cava Dilatation, offering hope for better patient outcomes in the future.

Related Terms:

  • inferior vena cava dilated meaning
  • inferior vena cava dilated causes
  • dilated inferior vena cava prognosis
  • dilated ivc with 50% collapse
  • inferior vena cava is dilated
  • inferior vena cava collapse
Facebook Twitter WhatsApp
Related Posts
Don't Miss