Learning

Inferior Sagittal Sinus

Inferior Sagittal Sinus
Inferior Sagittal Sinus

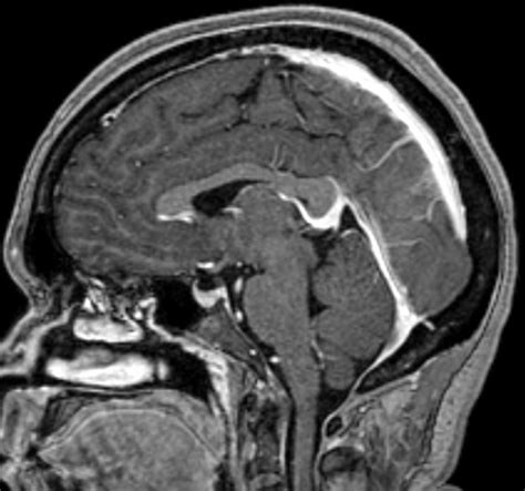
The Inferior Sagittal Sinus is a critical component of the venous drainage system in the brain, playing a pivotal role in maintaining cerebral health. This sinus is a venous channel that runs along the inferior border of the falx cerebri, a fold of dura mater that separates the two cerebral hemispheres. Understanding the anatomy, function, and clinical significance of the Inferior Sagittal Sinus is essential for medical professionals, particularly those involved in neurosurgery and neurology.

Anatomy of the Inferior Sagittal Sinus

The Inferior Sagittal Sinus is a small, midline venous structure that collects blood from the medial surfaces of the cerebral hemispheres. It begins at the crista galli, a bony projection at the front of the cranial cavity, and runs posteriorly along the inferior border of the falx cerebri. The sinus terminates by draining into the straight sinus, which is formed by the confluence of the Inferior Sagittal Sinus and the great cerebral vein of Galen.

The Inferior Sagittal Sinus receives blood from several tributaries, including:

  • Medial striate veins
  • Anterior cerebral veins
  • Superior cerebral veins

These tributaries drain blood from the medial aspects of the frontal, parietal, and occipital lobes, ensuring efficient venous return from these regions.

Function of the Inferior Sagittal Sinus

The primary function of the Inferior Sagittal Sinus is to facilitate the drainage of deoxygenated blood from the brain. This venous drainage is crucial for maintaining cerebral homeostasis and preventing the accumulation of metabolic waste products. The sinus acts as a conduit, channeling blood from the medial surfaces of the cerebral hemispheres into the straight sinus and ultimately into the venous sinuses of the dura mater.

Efficient venous drainage is essential for several reasons:

  • Preventing intracranial hypertension
  • Maintaining cerebral blood flow
  • Removing metabolic waste products

Any disruption in the function of the Inferior Sagittal Sinus can lead to serious neurological complications, including venous infarction and intracranial hemorrhage.

Clinical Significance of the Inferior Sagittal Sinus

The Inferior Sagittal Sinus is clinically significant for several reasons. Its location and function make it a critical structure in neurosurgical procedures and diagnostic imaging. Understanding its anatomy and potential pathologies is essential for accurate diagnosis and effective treatment.

Neurosurgical Considerations

During neurosurgical procedures, particularly those involving the falx cerebri or the medial aspects of the cerebral hemispheres, the Inferior Sagittal Sinus must be carefully considered. Injury to this sinus can result in significant bleeding and complications. Surgeons must be aware of its location and take precautions to avoid damage during procedures such as:

  • Craniotomies
  • Resection of brain tumors
  • Repair of aneurysms

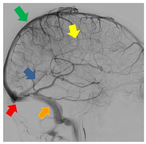
Preoperative imaging, including magnetic resonance venography (MRV) and computed tomography venography (CTV), can help identify the Inferior Sagittal Sinus and plan the surgical approach accordingly.

Diagnostic Imaging

Diagnostic imaging plays a crucial role in evaluating the Inferior Sagittal Sinus. Techniques such as MRV and CTV provide detailed visualization of the venous sinuses, allowing for the detection of abnormalities and pathologies. Common pathologies that can affect the Inferior Sagittal Sinus include:

  • Thrombosis
  • Aneurysms
  • Fistulas

Thrombosis of the Inferior Sagittal Sinus can lead to venous infarction and intracranial hypertension, requiring prompt diagnosis and treatment. Aneurysms and fistulas can also cause significant complications, including hemorrhage and neurological deficits.

Pathologies and Complications

Several pathologies can affect the Inferior Sagittal Sinus, leading to various neurological complications. Understanding these pathologies is essential for accurate diagnosis and effective management.

Thrombosis: Thrombosis of the Inferior Sagittal Sinus can occur due to various factors, including hypercoagulable states, trauma, and infection. Symptoms may include headache, seizures, and focal neurological deficits. Treatment typically involves anticoagulation therapy and supportive care.

Aneurysms: Aneurysms of the Inferior Sagittal Sinus are rare but can cause significant complications, including subarachnoid hemorrhage and intracranial hemorrhage. Treatment options include endovascular coiling, surgical clipping, and flow diversion.

Fistulas: Fistulas involving the Inferior Sagittal Sinus can result from trauma or congenital malformations. These abnormal connections between arteries and veins can lead to high-flow shunts, causing venous hypertension and neurological deficits. Treatment may involve endovascular embolization or surgical ligation.

Diagnostic and Treatment Approaches

Diagnosing and treating pathologies of the Inferior Sagittal Sinus requires a multidisciplinary approach involving neurologists, neurosurgeons, and interventional radiologists. The diagnostic and treatment approaches are tailored to the specific pathology and the patient's clinical condition.

Diagnostic Approaches

Diagnostic imaging is the cornerstone of evaluating the Inferior Sagittal Sinus. The following imaging modalities are commonly used:

  • Magnetic Resonance Venography (MRV): Provides detailed visualization of the venous sinuses without the use of ionizing radiation. It is particularly useful for detecting thrombosis and other venous abnormalities.
  • Computed Tomography Venography (CTV): Offers high-resolution images of the venous sinuses and is useful for detecting acute thrombosis and other pathologies.
  • Digital Subtraction Angiography (DSA): Provides real-time visualization of the venous sinuses and is often used for interventional procedures.

In addition to imaging, clinical evaluation and laboratory tests may be necessary to assess the patient's overall condition and identify any underlying causes of the pathology.

Treatment Approaches

The treatment of pathologies affecting the Inferior Sagittal Sinus depends on the specific condition and its severity. Common treatment approaches include:

  • Anticoagulation Therapy: Used for the treatment of venous thrombosis to prevent further clot formation and promote clot resolution.
  • Endovascular Procedures: Including coiling, embolization, and flow diversion, used to treat aneurysms and fistulas.
  • Surgical Interventions: Such as clipping and ligation, used to treat aneurysms and fistulas that are not amenable to endovascular treatment.

Supportive care, including pain management and rehabilitation, is also an essential component of the treatment plan.

Case Studies and Clinical Examples

To illustrate the clinical significance of the Inferior Sagittal Sinus, consider the following case studies:

Case Study 1: Thrombosis of the Inferior Sagittal Sinus

A 45-year-old patient presented with a sudden onset of severe headache, nausea, and vomiting. Imaging studies revealed thrombosis of the Inferior Sagittal Sinus. The patient was started on anticoagulation therapy and supportive care. Follow-up imaging showed resolution of the thrombosis, and the patient's symptoms improved significantly.

Case Study 2: Aneurysm of the Inferior Sagittal Sinus

A 50-year-old patient presented with a subarachnoid hemorrhage. Imaging studies revealed an aneurysm of the Inferior Sagittal Sinus. The patient underwent endovascular coiling of the aneurysm, and follow-up imaging showed successful occlusion of the aneurysm. The patient made a full recovery with no neurological deficits.

Case Study 3: Fistula Involving the Inferior Sagittal Sinus

A 35-year-old patient presented with progressive neurological deficits and venous hypertension. Imaging studies revealed a fistula involving the Inferior Sagittal Sinus. The patient underwent endovascular embolization of the fistula, and follow-up imaging showed successful occlusion. The patient's symptoms improved, and they were discharged with no neurological deficits.

📝 Note: These case studies highlight the importance of accurate diagnosis and timely intervention in managing pathologies of the Inferior Sagittal Sinus.

Future Directions in Research and Management

Research on the Inferior Sagittal Sinus is ongoing, with a focus on improving diagnostic techniques, treatment modalities, and understanding the underlying mechanisms of pathologies. Future directions in research and management include:

  • Advanced Imaging Techniques: Developing more sensitive and specific imaging modalities to detect early stages of pathologies and monitor treatment response.
  • Novel Therapeutic Approaches: Exploring new treatment options, such as targeted therapies and minimally invasive procedures, to improve outcomes and reduce complications.
  • Multidisciplinary Collaboration: Enhancing collaboration among neurologists, neurosurgeons, interventional radiologists, and other healthcare professionals to provide comprehensive care for patients with pathologies of the Inferior Sagittal Sinus.

By advancing our knowledge and improving management strategies, we can better address the challenges posed by pathologies of the Inferior Sagittal Sinus and enhance patient outcomes.

In conclusion, the Inferior Sagittal Sinus plays a crucial role in the venous drainage of the brain, and its proper function is essential for maintaining cerebral health. Understanding its anatomy, function, and clinical significance is vital for medical professionals involved in the diagnosis and treatment of neurological conditions. Through continued research and multidisciplinary collaboration, we can improve our ability to manage pathologies of the Inferior Sagittal Sinus and enhance patient care.

Related Terms:

  • inferior sagittal sinus ct
  • transverse sinus
  • inferior sagittal sinus radiology
  • inferior sagittal sinus anatomy
  • inferior sagittal sinus mrv
  • sigmoid sinus
Facebook Twitter WhatsApp
Related Posts
Don't Miss