Learning

Implant Supported Prosthesis

Implant Supported Prosthesis
Implant Supported Prosthesis

Implant Supported Prosthesis have revolutionized the field of dentistry, offering a durable and aesthetically pleasing solution for individuals with missing teeth. This innovative dental procedure involves the placement of titanium implants into the jawbone, which then support a prosthetic tooth or a set of teeth. The result is a stable, natural-looking smile that can significantly improve both oral function and self-confidence.

Understanding Implant Supported Prosthesis

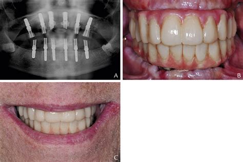
An Implant Supported Prosthesis is a type of dental restoration that uses dental implants to support a prosthetic tooth or a set of teeth. Unlike traditional dentures, which rely on suction or adhesives to stay in place, implant-supported prostheses are anchored directly into the jawbone. This provides a much more secure and comfortable fit, allowing patients to eat, speak, and smile with confidence.

There are several types of implant-supported prostheses, including:

  • Single-tooth implants: These are used to replace a single missing tooth.
  • Implant-supported bridges: These are used to replace multiple missing teeth in a row.
  • Implant-supported dentures: These are used to replace all of the teeth in the upper or lower jaw.

The Benefits of Implant Supported Prosthesis

Implant Supported Prosthesis offer numerous benefits over traditional dentures and bridges. Some of the key advantages include:

  • Improved Stability: Implant-supported prostheses are anchored directly into the jawbone, providing a stable and secure fit.
  • Enhanced Comfort: Unlike traditional dentures, implant-supported prostheses do not slip or move around in the mouth, making them much more comfortable to wear.
  • Better Oral Function: Implant-supported prostheses allow patients to eat and speak with ease, improving overall oral function.
  • Natural Appearance: Implant-supported prostheses are designed to look and feel like natural teeth, enhancing the patient's smile and self-confidence.
  • Bone Preservation: Dental implants stimulate the jawbone, helping to prevent bone loss and maintain facial structure.
  • Longevity: With proper care, implant-supported prostheses can last for many years, making them a cost-effective solution in the long run.

The Implant Supported Prosthesis Procedure

The process of getting an Implant Supported Prosthesis typically involves several steps, including:

Initial Consultation

During the initial consultation, the dentist will evaluate the patient's oral health and determine if they are a good candidate for implant-supported prostheses. This may involve taking X-rays, CT scans, or other diagnostic tests to assess the condition of the jawbone and surrounding tissues.

Implant Placement

Once the patient is deemed a suitable candidate, the dentist will surgically place the titanium implants into the jawbone. This procedure is typically performed under local anesthesia, and the implants are allowed to heal and integrate with the bone over a period of several months.

Abutment Placement

After the implants have fully integrated with the bone, the dentist will place an abutment on top of each implant. The abutment serves as a connector between the implant and the prosthetic tooth or teeth.

Prosthesis Fabrication

The dentist will take impressions of the patient's mouth to create a custom-fitted prosthesis. The prosthesis is then fabricated in a dental laboratory and fitted to the abutments.

Final Placement

Once the prosthesis is ready, the dentist will attach it to the abutments and make any necessary adjustments to ensure a comfortable and secure fit.

πŸ“ Note: The entire process of getting an Implant Supported Prosthesis can take several months, depending on the individual's healing time and the complexity of the case.

Caring for Implant Supported Prosthesis

Proper care and maintenance are essential for the longevity of implant-supported prostheses. Here are some tips for caring for your implant-supported prosthesis:

  • Oral Hygiene: Brush and floss your teeth regularly to remove plaque and bacteria. Use a soft-bristled toothbrush and non-abrasive toothpaste to avoid damaging the prosthesis.
  • Regular Check-ups: Schedule regular dental check-ups to monitor the condition of your implants and prosthesis. Your dentist can provide professional cleanings and address any issues that may arise.
  • Avoid Hard Foods: Be cautious when eating hard or sticky foods, as they can damage the prosthesis or dislodge it from the implants.
  • Avoid Smoking: Smoking can impair healing and increase the risk of implant failure. It is best to avoid smoking altogether or at least refrain from smoking during the healing process.

Cost Considerations

The cost of Implant Supported Prosthesis can vary depending on several factors, including the number of implants required, the type of prosthesis, and the complexity of the procedure. While implant-supported prostheses can be more expensive than traditional dentures or bridges, they offer numerous long-term benefits that make them a worthwhile investment.

Here is a breakdown of the typical costs associated with implant-supported prostheses:

Procedure Cost Range
Single-tooth implant $3,000 - $4,500
Implant-supported bridge $5,000 - $15,000
Implant-supported dentures $20,000 - $45,000

It is important to note that these cost ranges are approximate and can vary based on individual needs and geographic location. Many dental practices offer financing options to help make implant-supported prostheses more affordable.

πŸ’‘ Note: Some dental insurance plans may cover a portion of the cost of implant-supported prostheses. It is advisable to check with your insurance provider to determine your coverage.

Implant Supported Prosthesis vs. Traditional Dentures

When comparing implant-supported prostheses to traditional dentures, there are several key differences to consider:

Feature Implant Supported Prosthesis Traditional Dentures
Stability Highly stable and secure Can slip or move around
Comfort Very comfortable Can be uncomfortable
Oral Function Enhanced eating and speaking May affect eating and speaking
Appearance Natural-looking May look artificial
Bone Preservation Helps prevent bone loss Does not prevent bone loss
Longevity Can last many years May need to be replaced periodically

While traditional dentures may be a more affordable option initially, implant-supported prostheses offer superior stability, comfort, and longevity, making them a more cost-effective solution in the long run.

Implant Supported Prosthesis Success Rates

Implant Supported Prosthesis have a high success rate, with studies showing that over 95% of implants remain functional after 10 years. The success of the procedure depends on several factors, including the patient's overall health, oral hygiene, and the skill of the dentist performing the procedure.

To maximize the success of your implant-supported prosthesis, it is important to:

  • Follow your dentist's post-operative instructions carefully.
  • Maintain good oral hygiene.
  • Attend regular dental check-ups.
  • Avoid smoking and excessive alcohol consumption.

By taking these steps, you can help ensure the longevity and success of your implant-supported prosthesis.

πŸ“ˆ Note: The success rate of implant-supported prostheses can vary based on individual factors. It is important to discuss your specific situation with your dentist to determine the best course of treatment.

Implant Supported Prosthesis for Different Age Groups

Implant Supported Prosthesis are suitable for patients of all ages, from young adults to seniors. However, there are some considerations to keep in mind for different age groups:

Young Adults

For young adults, implant-supported prostheses can be a great solution for replacing missing teeth due to injury or congenital conditions. The jawbone is still developing in young adults, so it is important to wait until the bone has fully matured before placing implants.

Middle-Aged Adults

Middle-aged adults are often good candidates for implant-supported prostheses, as their jawbone has fully developed and they may have experienced tooth loss due to decay or injury. Implant-supported prostheses can help restore oral function and improve self-confidence.

Seniors

Seniors can also benefit from implant-supported prostheses, although there may be additional considerations due to age-related health conditions. It is important to discuss any medical conditions or medications with your dentist to ensure that implant-supported prostheses are a safe and effective option.

Regardless of age, implant-supported prostheses can significantly improve the quality of life for individuals with missing teeth, allowing them to eat, speak, and smile with confidence.

πŸ‘΄ Note: Seniors may require additional pre-operative evaluations to ensure they are good candidates for implant-supported prostheses. It is important to discuss any health concerns with your dentist.

Implant Supported Prosthesis and Bone Grafting

In some cases, patients may not have enough bone density to support dental implants. This can be due to bone loss from tooth extraction, periodontal disease, or other factors. In such situations, bone grafting may be necessary to build up the jawbone and provide a stable foundation for the implants.

Bone grafting involves taking bone from another part of the body or using synthetic bone material to augment the jawbone. The grafted bone is allowed to heal and integrate with the existing bone over several months before the implants are placed.

While bone grafting adds an additional step to the implant-supported prosthesis procedure, it can significantly improve the success rate and longevity of the implants.

🦴 Note: Bone grafting is a common procedure and is typically performed under local anesthesia. Your dentist will discuss the specifics of the procedure and the expected healing time.

Implant Supported Prosthesis and All-on-4

The All-on-4 technique is a popular method for placing implant-supported prostheses, particularly for patients who need to replace all of their teeth in the upper or lower jaw. This technique involves placing four implants at strategic angles to maximize stability and support for the prosthesis.

The All-on-4 technique offers several advantages, including:

  • Reduced Treatment Time: The All-on-4 technique can often be completed in a single day, allowing patients to leave the dental office with a fully functional set of teeth.
  • Minimally Invasive: The technique requires fewer implants and less bone grafting, making it a less invasive option.
  • Immediate Function: Patients can begin using their new teeth immediately, improving oral function and quality of life.

The All-on-4 technique is particularly beneficial for patients who have experienced significant bone loss and may not be good candidates for traditional implant-supported prostheses.

🦷 Note: The All-on-4 technique is not suitable for all patients. Your dentist will evaluate your individual needs and determine if this technique is the best option for you.

Implant Supported Prosthesis have transformed the way we approach tooth replacement, offering a durable, natural-looking, and functional solution for individuals with missing teeth. By understanding the benefits, procedure, and care requirements of implant-supported prostheses, patients can make informed decisions about their oral health and enjoy the many advantages of this innovative dental treatment.

Related Terms:

  • dentures supported by implants
  • full arch implant supported prosthesis
  • dental implants vs permanent dentures
  • implant supported fixed prosthesis
  • full mouth implant prosthesis
  • removable implant supported dentures
Facebook Twitter WhatsApp
Related Posts
Don't Miss