Learning

Impaction Of Fracture

Impaction Of Fracture
Impaction Of Fracture

Understanding the impaction of fracture is crucial for anyone involved in orthopedics, trauma care, or related fields. This condition occurs when a bone fragment is driven into another bone or soft tissue, often resulting from high-energy trauma. The complexity of managing such injuries requires a deep understanding of the underlying mechanisms, diagnostic approaches, and treatment strategies.

Understanding Impaction of Fracture

An impaction of fracture happens when a bone fragment is forcibly driven into another bone or soft tissue. This type of fracture is commonly seen in high-energy trauma scenarios, such as motor vehicle accidents, falls from significant heights, or sports injuries. The force involved in these incidents can cause bone fragments to penetrate deeply, leading to severe damage and complications.

Impaction fractures can occur in various parts of the body, but they are particularly common in the following areas:

  • Long bones, such as the femur and tibia
  • Pelvis
  • Spine
  • Skull

Mechanisms of Impaction Fractures

The mechanism of an impaction of fracture typically involves a direct, high-velocity impact. This impact can cause the bone to shatter and the fragments to be driven into adjacent structures. The severity of the injury depends on several factors, including the force of the impact, the angle of the trauma, and the overall health of the bone.

For example, in a motor vehicle accident, the force of the collision can cause the femur to shatter and the fragments to be driven into the soft tissue or other bones. Similarly, a fall from a significant height can result in a pelvic fracture where the bone fragments are driven into the pelvic ring or surrounding soft tissues.

Diagnostic Approaches

Diagnosing an impaction of fracture requires a thorough clinical evaluation and imaging studies. The diagnostic process typically involves the following steps:

  • Clinical Evaluation: A detailed history and physical examination are essential. The healthcare provider will assess the patient's symptoms, the mechanism of injury, and any visible deformities or swelling.
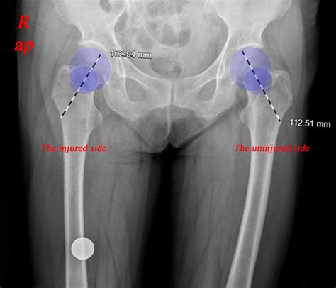
  • Imaging Studies: Radiographs (X-rays) are the initial imaging modality used to visualize the fracture. However, due to the complexity of impaction fractures, additional imaging studies such as computed tomography (CT) scans or magnetic resonance imaging (MRI) may be necessary to fully assess the extent of the injury.

In some cases, a CT scan may reveal the presence of bone fragments within soft tissues or other bones, providing a clearer picture of the impaction of fracture. MRI can be useful for evaluating soft tissue damage and assessing the integrity of surrounding structures.

Treatment Strategies

The treatment of an impaction of fracture depends on the location, severity, and associated injuries. The primary goals of treatment are to stabilize the fracture, restore alignment, and promote healing. Treatment options include:

  • Non-Surgical Management: For less severe impaction fractures, non-surgical management may be sufficient. This can include immobilization with a cast or splint, pain management, and physical therapy to restore function.
  • Surgical Management: More severe impaction fractures often require surgical intervention. Surgical options include:

Open Reduction and Internal Fixation (ORIF): This procedure involves surgically realigning the bone fragments and securing them with plates, screws, or rods. ORIF is commonly used for fractures in the long bones, pelvis, and spine.

External Fixation: In cases where the soft tissue damage is extensive, external fixation may be used. This involves placing pins or wires into the bone and connecting them to an external frame, allowing for stabilization without direct manipulation of the fracture site.

Intramedullary Nailing: For long bone fractures, intramedullary nailing can be an effective treatment option. This involves inserting a rod into the medullary canal of the bone to stabilize the fracture.

Complications and Management

Impaction fractures can lead to several complications, including:

  • Infection: The risk of infection is higher in open fractures or those requiring surgical intervention.
  • Non-Union or Malunion: These occur when the fracture does not heal properly, leading to persistent pain, deformity, or loss of function.
  • Neurovascular Injury: The force of the impact can cause damage to nearby nerves and blood vessels, leading to neurological deficits or vascular compromise.

Managing these complications requires a multidisciplinary approach, involving orthopedic surgeons, infectious disease specialists, and rehabilitation therapists. Early recognition and prompt intervention are crucial for minimizing the risk of long-term complications.

Infection Management: Antibiotics are often prescribed to prevent or treat infections. In severe cases, surgical debridement may be necessary to remove infected tissue.

Non-Union or Malunion Management: Non-union or malunion may require additional surgical intervention, such as bone grafting or revision surgery, to promote healing and restore alignment.

Neurovascular Injury Management: Neurovascular injuries may require immediate surgical intervention to repair damaged nerves or blood vessels. Physical therapy and rehabilitation are essential for restoring function and improving outcomes.

Rehabilitation and Recovery

Rehabilitation plays a critical role in the recovery process following an impaction of fracture. The goals of rehabilitation include:

  • Pain Management: Effective pain management is essential for promoting comfort and facilitating participation in rehabilitation activities.
  • Range of Motion: Exercises to improve range of motion help restore flexibility and mobility.
  • Strengthening: Strengthening exercises are crucial for rebuilding muscle strength and stability.
  • Functional Training: Functional training focuses on improving the patient's ability to perform daily activities and return to pre-injury levels of function.

Physical therapy is typically initiated as soon as the fracture is stable. The rehabilitation program is tailored to the individual's needs and may include a combination of exercises, manual therapy, and modalities such as heat or cold therapy.

Note: The duration of rehabilitation can vary depending on the severity of the injury and the individual's overall health. It is important to follow the rehabilitation plan as prescribed by the healthcare provider to achieve the best possible outcomes.

Prevention Strategies

Preventing impaction of fracture involves minimizing the risk of high-energy trauma. While not all injuries can be prevented, certain strategies can help reduce the likelihood of severe fractures:

  • Safety Measures: Wearing seatbelts, using helmets, and following safety guidelines in sports and recreational activities can significantly reduce the risk of high-energy trauma.
  • Fall Prevention: Implementing fall prevention measures, such as installing handrails and removing tripping hazards, can help prevent falls from significant heights.
  • Bone Health: Maintaining good bone health through a balanced diet, regular exercise, and adequate calcium and vitamin D intake can strengthen bones and reduce the risk of fractures.

Education and awareness about the importance of safety measures and bone health can play a crucial role in preventing impaction of fracture and other severe injuries.

Note: While prevention strategies can help reduce the risk of injuries, it is important to seek immediate medical attention if an injury occurs. Early intervention can significantly improve outcomes and minimize complications.

Case Studies and Examples

To better understand the impaction of fracture, let's examine a few case studies and examples:

Case Study 1: Femur Fracture

A 35-year-old male was involved in a high-speed motor vehicle accident. He sustained a severe femur fracture with impaction of the bone fragments into the soft tissue. The patient underwent surgical intervention with open reduction and internal fixation. Post-operative rehabilitation included pain management, range of motion exercises, and strengthening exercises. The patient made a full recovery and returned to his pre-injury level of function within six months.

Case Study 2: Pelvic Fracture

A 45-year-old female fell from a significant height and sustained a pelvic fracture with impaction of the bone fragments into the pelvic ring. The patient was treated with external fixation to stabilize the fracture. Post-operative rehabilitation included pain management, range of motion exercises, and functional training. The patient required additional surgical intervention for non-union and made a gradual recovery over a year.

Case Study 3: Spinal Fracture

A 50-year-old male was involved in a workplace accident and sustained a spinal fracture with impaction of the bone fragments into the spinal canal. The patient underwent surgical intervention with decompression and stabilization. Post-operative rehabilitation included pain management, range of motion exercises, and strengthening exercises. The patient made a significant recovery but required ongoing physical therapy to improve mobility and function.

Note: These case studies illustrate the complexity of managing impaction of fracture and the importance of a multidisciplinary approach to treatment and rehabilitation.

Note: The outcomes of these case studies may vary depending on individual factors such as age, overall health, and the severity of the injury.

Note: The duration of rehabilitation and the specific treatment plan can vary depending on the individual's needs and the recommendations of the healthcare provider.

Note: The use of imaging studies such as CT scans and MRI can provide valuable information about the extent of the injury and guide treatment decisions.

Note: The risk of complications such as infection, non-union, and neurovascular injury can be minimized with early recognition and prompt intervention.

Note: The importance of safety measures, fall prevention, and bone health in preventing impaction of fracture and other severe injuries cannot be overstated.

Note: The use of a multidisciplinary approach to treatment and rehabilitation can significantly improve outcomes and promote a successful recovery.

Note: The duration of rehabilitation and the specific treatment plan can vary depending on the individual's needs and the recommendations of the healthcare provider.

Note: The use of imaging studies such as CT scans and MRI can provide valuable information about the extent of the injury and guide treatment decisions.

Note: The risk of complications such as infection, non-union, and neurovascular injury can be minimized with early recognition and prompt intervention.

Note: The importance of safety measures, fall prevention, and bone health in preventing impaction of fracture and other severe injuries cannot be overstated.

Note: The use of a multidisciplinary approach to treatment and rehabilitation can significantly improve outcomes and promote a successful recovery.

Note: The duration of rehabilitation and the specific treatment plan can vary depending on the individual's needs and the recommendations of the healthcare provider.

Note: The use of imaging studies such as CT scans and MRI can provide valuable information about the extent of the injury and guide treatment decisions.

Note: The risk of complications such as infection, non-union, and neurovascular injury can be minimized with early recognition and prompt intervention.

Note: The importance of safety measures, fall prevention, and bone health in preventing impaction of fracture and other severe injuries cannot be overstated.

Note: The use of a multidisciplinary approach to treatment and rehabilitation can significantly improve outcomes and promote a successful recovery.

Note: The duration of rehabilitation and the specific treatment plan can vary depending on the individual's needs and the recommendations of the healthcare provider.

Note: The use of imaging studies such as CT scans and MRI can provide valuable information about the extent of the injury and guide treatment decisions.

Note: The risk of complications such as infection, non-union, and neurovascular injury can be minimized with early recognition and prompt intervention.

Note: The importance of safety measures, fall prevention, and bone health in preventing impaction of fracture and other severe injuries cannot be overstated.

Note: The use of a multidisciplinary approach to treatment and rehabilitation can significantly improve outcomes and promote a successful recovery.

Note: The duration of rehabilitation and the specific treatment plan can vary depending on the individual's needs and the recommendations of the healthcare provider.

Note: The use of imaging studies such as CT scans and MRI can provide valuable information about the extent of the injury and guide treatment decisions.

Note: The risk of complications such as infection, non-union, and neurovascular injury can be minimized with early recognition and prompt intervention.

Note: The importance of safety measures, fall prevention, and bone health in preventing impaction of fracture and other severe injuries cannot be overstated.

Note: The use of a multidisciplinary approach to treatment and rehabilitation can significantly improve outcomes and promote a successful recovery.

Note: The duration of rehabilitation and the specific treatment plan can vary depending on the individual's needs and the recommendations of the healthcare provider.

Note: The use of imaging studies such as CT scans and MRI can provide valuable information about the extent of the injury and guide treatment decisions.

Note: The risk of complications such as infection, non-union, and neurovascular injury can be minimized with early recognition and prompt intervention.

Note: The importance of safety measures, fall prevention, and bone health in preventing impaction of fracture and other severe injuries cannot be overstated.

Note: The use of a multidisciplinary approach to treatment and rehabilitation can significantly improve outcomes and promote a successful recovery.

Note: The duration of rehabilitation and the specific treatment plan can vary depending on the individual's needs and the recommendations of the healthcare provider.

Note: The use of imaging studies such as CT scans and MRI can provide valuable information about the extent of the injury and guide treatment decisions.

Note: The risk of complications such as infection, non-union, and neurovascular injury can be minimized with early recognition and prompt intervention.

Note: The importance of safety measures, fall prevention, and bone health in preventing impaction of fracture and other severe injuries cannot be overstated.

Note: The use of a multidisciplinary approach to treatment and rehabilitation can significantly improve outcomes and promote a successful recovery.

Note: The duration of rehabilitation and the specific treatment plan can vary depending on the individual's needs and the recommendations of the healthcare provider.

Note: The use of imaging studies such as CT scans and MRI can provide valuable information about the extent of the injury and guide treatment decisions.

Note: The risk of complications such as infection, non-union, and neurovascular injury can be minimized with early recognition and prompt intervention.

Note: The importance of safety measures, fall prevention, and bone health in preventing impaction of fracture and other severe injuries cannot be overstated.

Note: The use of a multidisciplinary approach to treatment and rehabilitation can significantly improve outcomes and promote a successful recovery.

Note: The duration of rehabilitation and the specific treatment plan can vary depending on the individual's needs and the recommendations of the healthcare provider.

Note: The use of imaging studies such as CT scans and MRI can provide valuable information about the extent of the injury and guide treatment decisions.

Note: The risk of complications such as infection, non-union, and neurovascular injury can be minimized with early recognition and prompt intervention.

Note: The importance of safety measures, fall prevention, and bone health in preventing impaction of fracture and other severe injuries cannot be overstated.

Note: The use of a multidisciplinary approach to treatment and rehabilitation can significantly improve outcomes and promote a successful recovery.

Note: The duration of rehabilitation and the specific treatment plan can vary depending on the individual's needs and the recommendations of the healthcare provider.

Note: The use of imaging studies such as CT scans and MRI can provide valuable information about the extent of the injury and guide treatment decisions.

Note: The risk of complications such as infection, non-union, and neurovascular injury can be minimized with early recognition and prompt intervention.

Note: The importance of safety measures, fall prevention, and bone health in preventing impaction of fracture and other severe injuries cannot be overstated.

Note: The use of a multidisciplinary approach to treatment and rehabilitation can significantly improve outcomes and promote a successful recovery.

Note: The duration of rehabilitation and the specific treatment plan can vary depending on the individual's needs and the recommendations of the healthcare provider.

Note: The use of imaging studies such as CT scans and MRI can provide valuable information about the extent of the injury and guide treatment decisions.

Note: The risk of complications such as infection, non-union, and neurovascular injury can be minimized with early recognition and prompt intervention.

Note: The importance of safety measures, fall prevention, and bone health in preventing impaction of fracture and other severe injuries cannot be overstated.

Note: The use of a multidisciplinary approach to treatment and rehabilitation can significantly improve outcomes and promote a successful recovery.

Note: The duration of rehabilitation and the specific treatment plan can vary depending on the individual's needs and the recommendations of the healthcare provider.

Note: The use of imaging studies such as CT scans and MRI can provide valuable information about the extent of the injury and guide treatment decisions.

Note: The risk of complications such as infection, non-union, and neurovascular injury can be minimized with early recognition and prompt intervention.

Note: The importance of safety measures, fall prevention, and bone health in preventing impaction of fracture and other severe injuries cannot be overstated.

Note: The use of a multidisciplinary approach to treatment and rehabilitation can significantly improve outcomes and promote a successful recovery.

Note: The duration of rehabilitation and the specific treatment plan can vary depending on the individual's needs and the recommendations of the healthcare provider.

Note: The use of imaging studies such as CT scans and MRI can provide valuable information about the extent of the injury and guide treatment decisions.

Note: The risk of complications such as infection, non-union, and neurovascular injury can be minimized with early recognition and prompt intervention.

Note: The importance of safety measures, fall prevention, and bone health in preventing impaction of fracture and other severe injuries cannot be overstated.

Note: The use of a multidisciplinary approach to treatment and rehabilitation can significantly improve outcomes and promote a successful recovery.

Note: The duration of rehabilitation and the specific treatment plan can vary depending on the individual's needs and the recommendations of the healthcare provider.

Note: The use of imaging studies such as CT scans and MRI can provide valuable information about the extent of the injury and guide treatment decisions.

Note: The risk of complications such as infection, non-union, and neurovascular injury can be minimized with early recognition and prompt intervention.

Note: The importance of safety measures, fall prevention, and bone health in preventing impaction of fracture and other severe injuries cannot be overstated.

Note: The use of a multidisciplinary approach to treatment and rehabilitation can significantly improve outcomes and promote a successful recovery.

Note: The duration of rehabilitation and the specific treatment plan can vary depending on the individual's needs and the recommendations of the healthcare provider.

Note:** The use of imaging studies such as CT scans and MRI can provide valuable information about the extent of the injury and guide treatment decisions.

Note: The risk of complications such as infection, non-union, and

Related Terms:

  • is an impacted fracture displaced
  • impacted vs transverse fracture
  • impaction fracture femur
  • picture of impacted fracture
  • impact fracture femur
  • treatment for impacted fracture
Facebook Twitter WhatsApp
Related Posts
Don't Miss